
Vor etwa 100 Millionen Jahren ermöglichte ein bemerkenswerter evolutionärer Wandel den plazentalen Säugetieren, sich divers zu entwickeln und viele kalte Regionen unseres Planeten zu erobern.
Ein internationales Forschungsteam wies kürzlich nach, dass Beuteltiere, eine nicht voll entwickelte Form des braunen Fettes besitzen. Sie entdeckten, dass das zentrale wärmeproduzierende Protein namens UCP1 erst nach der Divergenz von plazentalen Säugetieren und Beuteltieren aktiv wurde. Beide Gruppen haben sich vor etwa 120-180 Millionen Jahren aufgespalten. Diese Erkenntnis ist entscheidend für das Verständnis der Rolle des braunen Fettes in der Evolution der Säugetiere, des Wärmehaushaltes und des Stoffwechsels. „Unsere Studie ist ein wichtiger Beitrag zum Verständnis der Entstehung und Regulierung von braunem Fett“, sagt Susanne Keipert, Co-Erstautorin der Studie. „Die energieverbrauchende Funktion des braunen Fettes steht im Mittelpunkt der medizinischen Forschung, da braunes Fett das Potenzial hat, Adipositas, Diabetes und kardiometabolische Erkrankungen zu verbessern, die alle ein pandemisches Ausmaß erreicht haben und zu den größten Bedrohungen für unser Gesundheitssystem gehören.“
Besseres Verständnis für Stoffwechselerkrankungen
Diese Arbeit ist der jüngste Meilenstein des Jastroch-Labors an der Universität Stockholm, das Pionierarbeit bei der Erforschung der Evolution der Wärmeproduktion bei Säugetieren geleistet und diese evolutionären Erkenntnisse in das Verständnis menschlicher Stoffwechselkrankheiten integriert hat. Das Museum für Naturkunde Berlin arbeitet seit mehreren Jahren mit dem Jastroch-Labor zusammen, um diesen Aspekt der Säugetierevolution zu erforschen.
Mithilfe von Bioinformatik-Tools für UCP1-Sequenzinformationen von vielen Tieren, rekonstruierten die Forschenden das ursprüngliche UCP1-Stammplazentalia, wie es vor etwa 110 Millionen Jahren bestanden haben könnte. Sie fanden heraus, dass dieses alte Protein Wärme produzieren konnte, was auf das Vorhandensein von wärmeproduzierendem braunem Fett beim Vorfahren der Plazentasäugetiere hindeutet. Diese Innovation ermöglichte es den plazentalen Säugetieren wahrscheinlich, in den neuen kalten Umgebungen zu leben. Bei Beuteltieren hingegen produziert UCP1 trotz vieler Gemeinsamkeiten mit den plazentalen Säugetieren nach diesen neuen Erkenntnissen keine Wärme.
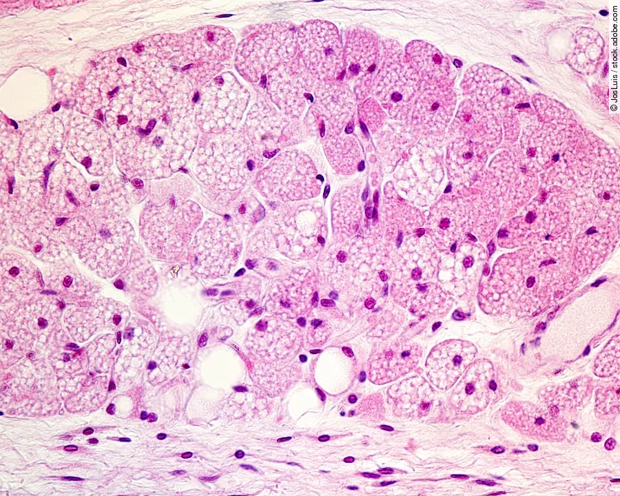
Was ist eigentlich braunes Fett?
Braunes Fett ist ein einzigartiges Heizungsorgan bei plazentalen Säugetieren, das durch ein Protein namens Uncoupling Protein 1 (UCP1) Wärme produziert. Das UCP1-Protein verwandelt die Mitochondrien, in kleine Heizeinheiten, welche Fett und Zucker direkt in Wärme umwandeln.
Das braune Fett ermöglicht es neugeborenen plazentalen Säugetieren, einschließlich menschlicher Säuglinge, den Kältestress nach dem Verlassen des warmen Mutterleibs zu überleben. Es hilft, die Körpertemperatur in der Kälte aufrechtzuerhalten, da die unreifen Muskeln nicht ausreichend zittern können. Später im Leben kann das braune Fett vor metabolischen Komplikationen schützen, indem es überschüssiges Fett und Zucker verbrennt. Das Verständnis der Funktionsweise des braunen Fettes ist entscheidend für die Entwicklung therapeutischer Maßnahmen bei Stoffwechselstörungen.
Quelle (nach Angaben von):
(JD)


