
Sie laufen bei Wind und Wetter im Freien herum und wälzen sich auch gerne mal im Gras. Hunde sind offenbar robuste Tiere. Doch der Schein trügt, denn die Vierbeiner haben eine überdurchschnittliche Veranlagung für Hauterkrankungen. Die atopische Dermatitis, eine Form der Neurodermitis, trifft etwa 10 bis 15% der Hunde. Die Haut wird trocken und schuppig, die Tiere beginnen sich zu kratzen, häufig treten auch Entzündungen auf. Zwar gibt es Cremes und Salben gegen die Dermatitis, doch der Behandlungserfolg ist ungewiss. Die Therapeutika bleiben unter Umständen wirkungslos und können im schlimmsten Fall die Symptome noch verschlechtern.
Genau dieses Problem sind Dr. Anke Burger-Kentischer, Abteilungsleiterin Zell- und Gewebetechnologien, und ihr Team am Fraunhofer-Institut für Grenzflächen- und Bioverfahrenstechnik IGB angegangen. Im Projekt WowWowSkin haben sie erstmals im Labor eine In-vitro-Hundevollhaut entwickelt und damit die Grundlage für die Entwicklung und Testung von medizinischen Therapeutika und Pflegeprodukten für Hunde in In-vitro-Modellen gelegt. »Wir wollten ein reproduzierbares Hundehaut-Äquivalent etablieren, das spezifische Tests von therapeutischen Produkten für Hunde ermöglicht. Das gibt es bisher noch nicht«, erklärt Dr. Burger-Kentischer.
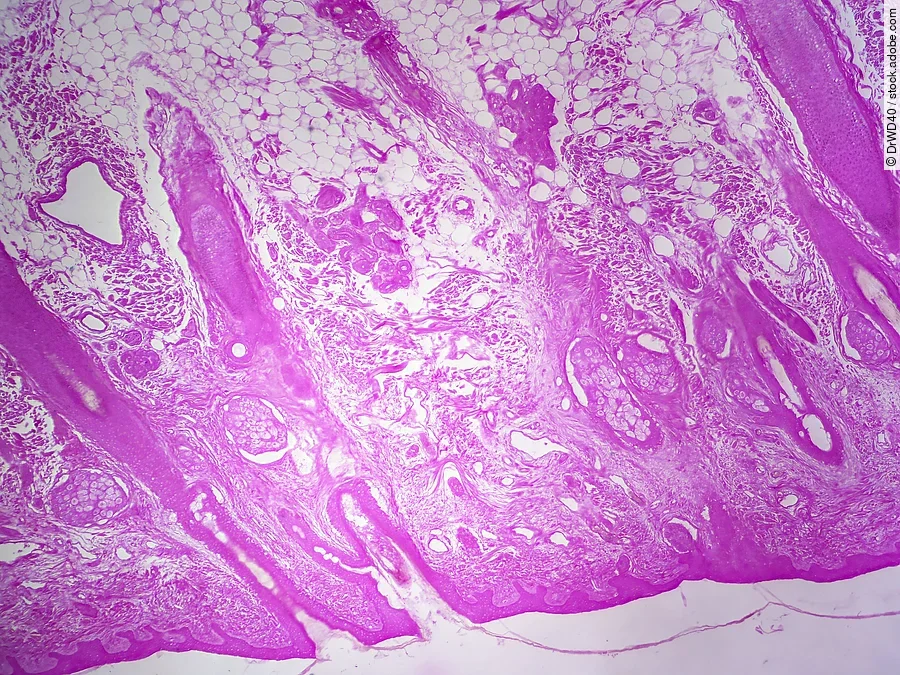
Das Vollhaut-Äquivalent aus dem Labor ist mit echter Hundehaut nahezu identisch. Damit lassen sich aussagekräftige und präzise Tests von medizinischen Wirkstoffen durchführen. Ebenso lässt sich die Verträglichkeit marktüblicher Pflegeprodukte wie Shampoos oder Seifen damit testen. Auch sie können im Zweifelsfall der Hundehaut schaden, da die oberste Schutzschicht der Haut, die Epidermis, bei Hunden deutlich dünner als bei Menschen ist und auch kaum verhornt.
Der Weg zur Labor-Hundehaut
Den 1. Schritt hat das Forschenden-Team mit einem Stück originaler Hundehaut gemacht. Entscheidend für den Aufbau des Vollhaut-Äquivalents sind die obersten 2 Schichten: Erst die verhornte Schutzschicht, die Epidermis mit den Keratinozyten, welche die Hornschicht der Haut ausbilden, und darunter die Dermis mit den Fibroblasten, spezifischen Zellen des Bindegewebes. »Nach der mechanischen Trennung der Schichten haben wir die Zellen durch spezielle Enzyme aus dem Gewebeverband gelöst, immortalisiert und dann in Kultivierungsschalen mit einem Nährmedium vermehrt. Anschließend haben wir die so erhaltenen immortalen Keratinozyten der Epidermis und die immortalen Fibroblasten der Dermis wieder zu einem Vollhaut-Äquivalent zusammengeführt«, erklärt Dr. Burger-Kentischer.
»Die Suche nach der richtigen Zusammensetzung der Enzyme und Medien benötigte eine ganze Reihe von Versuchen« sagt Dr. Burger-Kentischer. Doch am Ende ist sie perfekt gelungen. Das Vollhaut-Äquivalent aus dem Labor ist unter dem Mikroskop kaum von echter Hundehaut zu unterscheiden.
Für den Test von medizinischen Therapeutika, etwa zur Behandlung von Dermatitis, können die Fraunhofer-Forschenden das Vollhaut-Äquivalent mit pathogenen Keimen besiedeln und damit ein Krankheitsmodell generieren. »Wir können auf den Hautäquivalenten entzündliche Prozesse nachstellen, indem wir sie mit Bakterien verkeimen. Wenn man Wirkstoffe oder Substanzen aufbringt, zeigt sich schnell, ob das Medikament wirkt und die Anzahl der Keime zurückgeht, ob es wirkungslos bleibt oder ob es das Krankheitsbild sogar verschlimmert«, weiß Dr. Burger-Kentischer.
Die Originalhautproben werden von Tierarztpraxen geliefert, die beispielsweise bei medizinisch notwendigen Operationen Haut wegschneiden. Es wird kein Gewebe extra für das Projekt entfernt, sondern nur Hautgewebe zur Verfügung gestellt, das im Rahmen einer Operation ohnehin entfernt werden muss.
Tierversuche ade!
Für die In-vitro-Testung von Fellpflegeprodukten eignet sich das Vollhaut-Äquivalent ebenso, da hiermit festgestellt werden kann, ob Shampoos oder Seifen die Haut belasten oder gar schädigen. Für die Hersteller von veterinärmedizinischen Therapeutika oder Pflegeprodukten ist damit der Weg frei, ihre Produkte präzise auf Wirksamkeit und Verträglichkeit zu testen.
Bei Kosmetika, die neu auf den Markt kommen, gilt seit 2013 ein EU-Verbot für Tierversuche. Entsprechend groß ist das Interesse an der Ersatzmethode. Erste Hersteller von veterinärmedizinischen Produkten und Pflegeprodukten haben bereits Interesse an dem Vollhaut-Äquivalent angemeldet.
Im nächsten Schritt will das Fraunhofer-Team weitere Vollhaut-Äquivalente differenziert nach Hunderassen aufbauen. Zudem sollen weitere Hautmodelle für Pferde und Katzen entwickelt werden.
Quelle (nach Angaben von):
Hundehaut aus dem Labor ermöglicht Tests medizinischer Therapeutika (fraunhofer.de). 05.02.2024
(JD)


