Inhalt

Im Bereich der Kleintierchirurgie entfallen ca. 25% aller Frakturen auf das Becken. Diese entstehen vorwiegend durch Autounfälle. Katzen sind hierbei deutlich überrepräsentiert. Beckenfrakturpatienten sind meist polytraumatisiert. Alle Patienten sollten auf Lungentraumata (Pneumothorax und/oder Lungenkontusion), ebenso wie auf Einblutungen in die Bauchhöhle und Verletzungen des Urogenitaltrakts wie Harnblasenrupturen, Rupturen der Urethra oder der Ureteren untersucht werden. Die Integrität der Bauchdecke und des Zwerchfells ist zusätzlich zu überprüfen. Weiterhin liegen bei ungefähr einem Viertel der Traumapatienten Verletzungen der Wirbelsäule vor. Eine Traumatisierung neurologischer Strukturen ist ebenfalls häufig gegeben. Oftmals finden sich Nervenschäden im Zusammenhang mit nach dorsal dislozierten Iliumfrakturen, seltener bei Frakturen des Azetabulums oder Ischiums. Weiterhin kann ein hoher Schwanzabriss – eine sog. sacrococcygeale Luxation – zusätzlich die nervale Versorgung von Harnblase und Rektum beeinträchtigen und ist prognostisch zu berücksichtigen.
Wichtig!
Die Rekonvaleszenz von Nervenschäden kann Wochen bis Monate dauern und die physiotherapeutische Unterstützung ist dabei sehr hilfreich.
Schritt 1 – Anamnese, klinische und bildgebende Diagnostik
Die diagnostische Aufarbeitung der Patienten beinhaltet neben der gründlichen Anamnese eine erste klinisch allgemeine, orthopädische und neurologische Einschätzung. Soweit der Zustand des Patienten es zulässt, werden Gangbild und neurologische Funktionen evaluiert. Bei Patienten im Schock ist eine zweite Einschätzung nach erfolgreicher Schockbehandlung erforderlich, da der Zustand des Patienten beim ersten Eindruck häufig dramatischer erscheint als er ist. Der Patient sollte vorsichtig aufgestellt werden. Motorik von Gliedmaßen und Schwanz, Analtonus, Haltungs- und Stellreaktionen und die Fähigkeit zur Lastaufnahme werden überprüft. Diese Tests sind für die Prognose von großer Bedeutung. Wichtig ist das Vorhandensein von Spontanmotorik. Defizite der Propriozeption können auch der Schmerzhaftigkeit geschuldet sein!
Bildgebung
Neben Röntgenaufnahmen des Beckens in 2 Ebenen sind Röntgenbilder des Thorax unerlässlich. Aufgrund der Dolenz sind gestreckte ventrodorsale Röntgenaufnahmen der Hüfte häufig auch nach Opiatgabe kaum durchzuführen. Für eine erste Einschätzung kann eine leicht aufgehockte Aufnahme in Frosch-Position sehr hilfreich sein und wird von den Patienten bei sanfter Manipulation oftmals gut toleriert.

Abbildung 1 - Röntgenaufnahme des Beckens in Frosch-Position.
a Aufgehockte Lagerung für eine initiale ventrodorsale Beckenaufnahme in Frosch-Position.
b Keine perfekt gerade Röntgenaufnahme, aber für den Patienten wach auszuhalten und sehr gut geeignet, um eine erste Übersicht über das Ausmaß der Verletzungen zu gewinnen. Eine sauber gelagerte, gestreckte Aufnahme erfolgt dann in Narkose vor der Frakturversorgung.
Bei komplexen Frakturen des Azetabulums oder des Sakrums ist eine Computertomografie zur besseren Operationsplanung hilfreich. Finden sich klinisch und röntgenologisch Hinweise auf abdominale Traumata, ist eine Ultraschalluntersuchung indiziert. Ein kompletter Blutstatus und eine Serumchemie werden bei Vorstellung des Patienten angefertigt.
Zielorientierte Auswertung der Bildgebung
Die bildgebende Diagnostik sollte folgende Fragen beantworten:
- Welche Anteile des Beckenrings sind betroffen? Fast immer bestehen Frakturen an 3 Stellen.
- Bestehen Hinweise auf Pneumo-oder Liquidothorax bzw. eine Lungenkontusion?
- Ist das Zwerchfell intakt?
- Sind Rippenfrakturen vorhanden?
- Bestehen Frakturen oder Luxationen der Wirbelsäule bzw. des Schwanzes?
- Ist die Silhouette der Bauchdecke vollständig nachvollziehbar?
- Besteht ein guter abdominaler Kontrast, falls nicht, kann sonografisch freie Flüssigkeit nachvollzogen werden?
- Ist die Kontur der Harnblase abgrenzbar?
Schritt 2 – Erstversorgung
In erster Linie muss der Patient stabilisiert werden. Insbesondere Katzen neigen in Schocksituationen zur Hypothermie und sollten vorsichtig aufgewärmt werden. Kristalloide Infusionslösungen sind zur Stabilisierung des Kreislaufs indiziert. Wichtig ist, nach initialer Stabilisierung den Hämatokrit zu reevaluieren. Meist zeigt sich hier ein relevanter Abfall und es gilt zu differenzieren, ob der Patient hierdurch transfusionspflichtig wird.
Aufgrund der hochgradigen Schmerzhaftigkeit dieses Frakturmusters benötigen die Patienten eine umfangreiche Schmerztherapie. Hierfür bieten sich in erster Linie Opiate an, insbesondere die individuell sehr gut anpassbare Dauertropfinfusion mit Fentanyl.
Alternativ stehen Methadon oder Buprenorphin als Opiate zur Verfügung. Steht eine notfallmäßige chirurgische Intervention an, so empfiehlt es sich, die Patienten primär analgetisch mit reinen µ-Rezeptor-Agonisten – also Methadon oder Fentanyl – zu versorgen, da insbesondere Buprenorphin die Rezeptoren für potentere Opiate blockiert, was das Narkosemanagement erschweren kann.
Dieser Inhalt unterliegt den Bestimmungen gemäß Heilmittelwerbegesetz (HWG) und darf nur berechtigten Personen zugänglich gemacht werden. Bitte loggen Sie sich ein, um diesen Inhalt zu sehen.

Abbildung 2: Kontrastmitteldarstellung der Urethra bei einer Katze mit multiplen Beckenfrakturen
Die beidseitige Diastase des Iliosakralgelenks wurde bereits mit 2 Zugschrauben versorgt. Es zeigt sich ein weit kaudal gelegenes Leck der Urethra mit Dislokation des Kontrastmittels in das Perineum.
Schritt 3 – Chirurgisches vs. konservatives Frakturmanagement
Erst nach adäquater Stabilisierung der Vitalparameter kann es in Richtung OP gehen. Je nach Frakturmuster und Schwere der Traumatisierung kann es empfehlenswert sein, Patienten mit Beckenfrakturen für 48 Stunden zu stabilisieren, bevor die chirurgische Intervention beginnt. Ausnahmen stellen Patienten dar, die sich trotz adäquater Analgesie hochgradig schmerzhaft zeigen oder relevante neurologische Defizite aufweisen. Weiterhin sollten gelenkassoziierte Frakturen im Bereich des Azetabulums zeitnah versorgt werden. Vorrang hat jedoch stets die Stabilisierung der Herz-Kreislauf-Situation.
Allgemeine Überlegungen vor der Therapieentscheidung
Das knöcherne Becken ähnelt einer Kiste mit innenliegenden Querstreben. Fast immer bricht das Becken an 3 Stellen, wobei sich das Frakturmuster meist ähnelt. In 40% der Fälle liegen bilaterale Frakturen/Dislokationen vor, meist sind Ilium, Azetabulum oder das Iliosakralgelenk im Verletzungsmuster enthalten. Ziel einer chirurgischen Versorgung ist die Wiederherstellung der gewichttragenden Anteile des Beckens. Die Lastübertragung erfolgt von den Hintergliedmaßen über das Hüftgelenk auf das Ilium, von dort weiter über das Iliosakralgelenk auf die Wirbelsäule.
Info
Wenn die gewichttragenden Anteile des Beckens nicht frakturiert sind, kann eine konservative Behandlung in Angriff genommen werden, wie in folgender Abbildung zu sehen.
| Lokalisation | Pro chirurgische Behandlung | Pro konservative Behandlung |
|---|---|---|
| Ilium | stets versorgungswürdig, da lasttragender Anteil des Beckens | |
| Iliosakralgelenk | bei deutlichem Versatz im Gelenk, deutlicher Einschränkung der Lastaufnahme, Dolenz und/oder Einengung des Beckenkanals | mild dislozierte, vorwiegend einseitige Iliosakralgelenkluxation bei guter Funktionalität und beherrschbarer Schmerzhaftigkeit |
| Azetabulum | stets versorgungswürdig | sehr weit kaudal lokalisierte Acetabulumfrakturen können gegebenenfalls bei finanziell limitierten Besitzern konservativ behandelt werden |
| Ischium | bei extremer Dislokation und nicht beherrschbarer Dolenz | fast immer konservativ |
| Pubis | bei Verlust der Integrität der Bauchdecke ventrale Stabilisierung | fast immer konservativ |

Abbildung 3
Die Lastübertragung in der Bewegung erfolgt von den Hinterbeinen über das Hüftgelenk auf die Darmbeinsäule. Von hier wird die Kraft über das Iliosakralgelenk auf die Wirbelsäule übertragen. Alle Frakturen/Luxationen, die sich im Bereich dieser Linie befinden, bedürfen einer chirurgischen Stabilisierung. Am Beispiel dieses Patienten ist somit die Iliosakralgelenkluxation rechts versorgungsbedürftig. Die Ischiumfraktur befindet sich nicht im lasttragenden Anteil des Beckens und kann konservativ behandelt werden. Die Einengung des Beckenkanals wird allein durch die Reposition des Iliosakralgelenks korrigiert.
Das Ziel der chirurgischen Stabilisierung ist die Wiederherstellung des physiologischen Beckenrings und die Sicherstellung einer frühzeitigen Lastaufnahme.
Komplikation: Einengung des Beckenkanals
Insbesondere bei Katzen stellt eine Einengung des Beckenkanals infolge des Traumas ein relevantes Problem dar. Wird der Beckenkanal um mehr als 50% eingeengt, kommt es in der Folge meist zu Obstipationen und bei inadäquater Behandlung zur Entwicklung eines sekundären Megacolons.

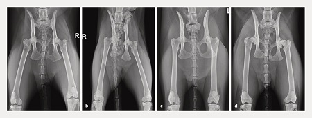
Abbildung 5: Vier Ausprägungen von Luxationen des Iliosakralgelenks (Diastasen).
a Rechtsseitige Diastase mit einem sehr milden Versatz des Iliums gegenüber dem Os sacrum um weniger als 30%. Der Beckenring ist unbeeinträchtigt. Hier sollte die Operationsentscheidung anhand der klinischen Symptomatik getroffen werden. Ist die Schmerzhaftigkeit gut behandelbar und kann der Patient sowohl Last aufnehmen als auch Harn absetzen, ist eine konservative Versorgung zu erwägen.
b Eine rechtsseitige Iliosakralgelenkluxation in Kombination mit einer Fraktur des Scham- und Sitzbeins rechts. Hier kam es zu einer Dislokation des rechten Hemipelvis nach medial. Der Beckenkanal ist eingeengt. Die Indikation zur chirurgischen Versorgung ist damit gegeben. Durch die korrekte Ausrichtung des Iliosakralgelenks mittels Zugschraube kann der Beckenring bereits rekonstruiert werden. Eine Versorgung von Ischium und Pubis ist nicht erforderlich.
c Beidseitige Iliosakralgelenkdiastase. Eine chirurgische Versorgung ist indiziert, weil diese Patienten sonst nur sehr schwer „auf die Beine“ kommen.
d Mittel- bis hochgradig dislozierte Iliosakralgelenkdiastase rechts mit Beteiligung der Beckensymphyse. Durch den starken Versatz des rechten Hemipelvis ist eine Zugschraubenosteosynthese indiziert. Nebenbefundlich bestehen hochgradige Coxarthrosen.
Das Prinzip der Stabilisierung ist das Einbringen einer Zugschraube, die mindestens 60% der Breite des Sakrums überspannt. Grundsätzlich sollte die Schraube so groß wie möglich gewählt werden. Die Lage der Schraube ist stets ventral des Spinalkanals, was intra- und postoperativ genau überprüft wird.

Abbildung 6: Korrekte Lage der Zugschraube im kranialen Anteil des Wirbelkörpers des Os sacrum bei Versorgung einer Iliosakralgelenkluxation
Wichtig für eine sichere Einschätzung ist es, die Schraube „auf Punkt“ zu röntgen, also den Patienten ggf. so zu kippen, dass nur der Schraubenkopf, nicht aber das Gewinde zu sehen ist.
Röntgenologisch ist die Iliosakralgelenkdiastase von einer Fraktur des Sakrumflügels zu unterscheiden. Zwar ist die chirurgische Versorgung mittels Zugschraube identisch, jedoch ist die anatomische Orientierung bei der Fraktur deutlich erschwert. Die Patienten sind oftmals schmerzhafter und zeigen ausgeprägtere Defizite.
Frakturen des Ischium und Pubis
Meist sind Frakturen des Sitz- und Schambeins mit anderen Frakturen des Beckens wie Azetabulum- oder Iliumfrakturen bzw. mit Iliosakralgelenkluxationen assoziiert. Ischium- und Pubisfrakturen werden nur in absoluten Ausnahmefällen chirurgisch versorgt. Dies ist der Fall, wenn eine stark ausgeprägte Dislokation und Dolenz vorliegen oder wenn z. B. bei Schambeinfrakturen zusätzlich eine ventrale Hernia abdominalis besteht, die einer Rekonstruktion bedarf. In diesem Fall erfolgt der Zugang von ventral und die Beckensymphyse wird mit Cerclagedrähten rekonstruiert. Das reicht in der Regel aus, weil auf das Schambein keine größere mechanische Kraft im Bewegungsablauf einwirkt.
Mindestens 4 Tage postoperativ sollten die Patienten mit einem Opiat analgetisch abgedeckt werden. Dieses kann mit einem nichtsteroidalen Antiphlogistikum (NSAID) im Sinne einer multimodalen Schmerztherapie kombiniert werden. Das NSAID wird für die Dauer von mindestens 1 Woche postop. verabreicht, und dann je nach klinischem Zustand des Patienten abgesetzt oder weiterhin verabreicht.
Schritt 4 – Rekonvaleszenz
Grundsätzlich gilt: je gravierender die initialen Defizite, desto langwieriger die Erholungsphase. Nach abgeschlossener Wundheilung erfolgt standardmäßig eine erste röntgenologische Verlaufskontrolle 6 Wochen post op. Die Normalisierung der Blutparameter ist zu überprüfen.
Die Patienten profitieren stets von physiotherapeutischer Unterstützung. Hunde werden mehrmals täglich für kurze Spaziergänge an der Leine ausgeführt, Springen und Toben sind zu vermeiden. Katzen können mit kleinen Hindernisparcours und Futter zur Bewegung motiviert werden und sollten sich mehrmals täglich auf rutschfestem, ebenerdigem Untergrund frei bewegen dürfen.
Bei regelgerechtem Heilungsverlauf darf die Belastung nach 6 Wochen vorsichtig gesteigert werden. Geduld und ein optimiertes Fütterungs-, Haltungs- und Bewegungsmanagement tragen zu einer günstigen Prognose bei.
Fazit
Die Prognose von Beckenfrakturen ist bei einer adäquaten Versorgung gut. Wichtig ist jedoch, dass die verschiedenen Frakturtypen korrekt beurteilt und entsprechend konservativ oder chirurgisch versorgt werden. Bei Patienten, bei denen die gewichttragenden Anteile des Beckens nicht frakturiert sind, kann eine konservative Behandlung erfolgen.
Der Originalartikel zum Nachlesen:



