Inhalt

Charakteristika der Erkrankung
Die sterile noduläre Pannikulitis (SNP) ist eine seltene Hauterkrankung beim Hund, die im Praxisalltag eher selten auftritt. Die Erkrankung ist durch eine begrenzte Entzündung des subkutanen Fettgewebes (Panniculus) gekennzeichnet und gehört zu den immunmediierten Hauterkrankungen. Im Krankheitsverlauf entstehen multiple, schmerzhafte, knotige Zubildungen des Unterhautgewebes in verschiedenen Körperregionen, hauptsächlich am Rumpf, am ventralen Abdomen, an der Brust und in der lateralen Halsregion. Die Knoten können stark in der Größe variieren, einzeln oder multipel auftreten, geschlossen sein oder ulzerieren und ein klares bis gelblich-bräunliches Sekret absondern.
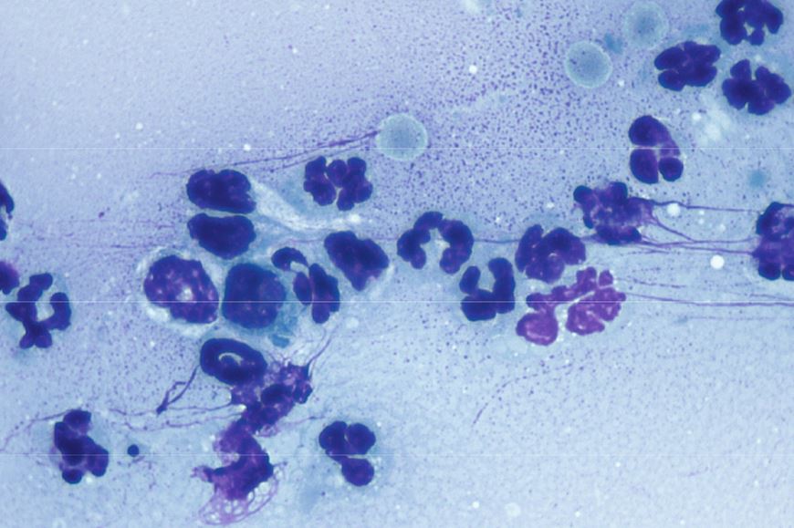
Ein Feinnadelaspirat mit zytologischer Untersuchung des Knotens zeigt eine pyogranulomatöse Entzündung; es finden sich neutrophile Granulozyten, aktivierte Makrophagen, Lymphozyten, Plasmazellen und aktivierte Fibroblasten [Abb. 1]. Im zytologischen Präparat treten weder Bakterien noch andere Erreger auf.

Pathogenese
SNP ist eine Hauterkrankung, die als Begleitsymptom bei verschiedenen anderen Grunderkrankungen, wie einer Pankreasneoplasie (z. B. Adenokarzinom), einer nodulären Hyperplasie der Bauchspeicheldrüse und anderen immunologischen Erkrankungen auftreten kann. So zählen auch die rheumatoide Arthritis und der systemische Lupus erythematodes zu den wichtigen primären Erkrankungen, die von einer SNP begleitet werden können. Andere primäre Ursachen in Begleitung einer SNP sind tiefe bakterielle Infektionen, mykotische Infektionen (z. B. Nocardia, Mycobacterium), neoplastische Erkrankungen der Haut und physikochemische Ursachen wie z. B. Zerstörung/Verletzung des Fettgewebes durch subkutane Injektionen oder Traumata. Die Pathogenese dieser Erkrankung ist bis jetzt nicht vollständig geklärt und nicht selten tritt eine SNP bei Hunden als alleinige Grunderkrankung auf, wobei keine der oben genannten Ursachen gefunden werden kann – in diesem Fall spricht man von idiopathischer, primärer SNP.
Der Allgemeinzustand des betroffenen Patienten kann von ungestört bis schwer beeinträchtig sein. Es treten im Zusammenhang mit der Erkrankung eher unspezifische Symptome wie Fieber, Anorexie, Depression und Schmerzhaftigkeit der betroffenen Hautregionen auf. Die Erkrankung kann in jedem Alter auftreten, es sind allerdings Rasseprädispositionen für Weimaraner, Pudel und Dackel beschrieben worden.
Differenzialdiagnosen
Differenzialdiagnostisch müssen Grunderkrankungen mit ähnlicher oder nahezu identischer Symptomatik ausgeschlossen werden, denn aufgrund der Ähnlichkeit des klinischen Bildes von SNP zu anderen Erkrankungen treten häufig Fehldiagnosen auf. Als Hauptursachen für eine Fehldiagnose liegen dabei oft eine mangelhafte und schnelle Anamnese bzw. eine fehlende Feinnadelaspiration der Läsionen zugrunde.
Als Differenzialdiagnosen müssen insbesondere folgende Erkrankungen abgeklärt werden:
- Infektiöse Ursachen. Sie zählen zu den wichtigsten Differenzialdiagnosen. Bei Vorliegen infektiöser Ursachen können in zytologischen Präparaten Bakterien, Mykobakterien, Pilze oder andere Erreger gefunden werden. Diese sind entweder frei im Präparat zu sehen oder – nach Phagozytose – im Zytoplasma von neutrophilen Granulozyten bzw. Makrophagen. Für eine optimale Differenzialdiagnostik sollte bei Verdacht auf Infektion und/oder SNP immer eine bakteriologische und mykologische Kultur eingeleitet werden, um einen sterilen Prozess abzusichern.
- Zystische Veränderungen, wie z. B. epidermale Zysten oder epidermale Einschlusszysten, die oft neben der Epidermis auch die Dermis betreffen können. Die Zysten können solitär oder multipel auftreten und eine Ruptur der Zystenwand kann zu einer lokalen pyogranulomatösen Entzündung führen. Eine FNA der Läsion liefert wichtige Informationen und es werden hierbei häufig Plattenpithelzellen ohne Nukleus, Aggregate von keratinisiertem Material, Cholesterinkristalle, Fragmente von Haaren und Haarschäften sowie Mineralisationen gefunden.
- Tumoren, wobei die Untersuchung einer FNA der Läsionen als wichtige diagnostische Methodik zählt. Häufige Tumoren, die im Praxisalltag auftreten, sind Mastzelltumoren, Histiozytome, infundibuläre keratinisierende Akanthome, Lipome, Plasmozytome und die kutane Hystiozytose.
- Pseudotumoren, wie z. B. Granulome und eine traumatische Pannikulitis, die nach subkutaner Injektion auftreten, zählen ebenfalls als abzuklärende Erkrankungen bei der Differenzialdiagnostik zur SNP.
Merke
Eine Hautbiopsie mittels einer Stanze bringt bei Verdacht auf SNP nicht immer eindeutige Ergebnisse. Daher sollte eine Exzisionsbiopsie durchgeführt werden, denn dies ist der einzige Weg zu einer sicheren Diagnose!
Der Fallbericht
Ein 5-jähriger Malteserrüde wurde aufgrund rezidivierender Inappetenz und Fieber in der Klinik vorgestellt. Sein Körpergewicht lag bei 5,5 kg und sein BCS (Body Condition Score) bei 5/9. Vom Haustierarzt wurde eine symptomatische, orale Therapie mit einem Antiemetikum (Maropitant, Cerenia Tabletten, 16 mg, Zoetis) und einem entzündungshemmenden Medikament (Meloxicam, orale Suspension, Boehringer Ingelheim) in einer Dosierung für 6 kg eingesetzt. Die Medikation brachte zunächst Erfolg, doch nach Absetzen der Medikamente zeigte der Rüde erneut die gleiche Symptomatik wie bei der Erstvorstellung. Aufgrund der Hauptsymptomatik mit Fieber und Inappetenz wurde die Verdachtsdiagnose eines Fremdkörpers im Magen-Darm-Trakt gestellt. Doch nach Kontrastmittelpassage und Röntgendiagnostik erwies sich dieser Verdacht als falsch.
Anamnese
Zum Zeitpunkt der Vorstellung in unserer Klinik war der Allgemeinzustand des Malteserrüden teilweise eingeschränkt und die ausführliche Anamnese ergab folgende Befunde:
- Das Tier wurde regelmäßig mit einem polyvalenten Impfstoff geimpft und circa alle 3 – 4 Monate mit Milbemycinoxim entwurmt.
- Eine Aufnahme von Giften konnte der Besitzer ausschließen.
- Der Hund kam aus Deutschland ohne Historie eines Auslandsaufenthalts.
- Er erhielt alle 3 Monate eine Ektoparasiten-Prophylaxe durch Verabreichung von Fluralaner (Bravecto, MSD).
- Es waren zum Zeitpunkt der Vorstellung und in der Vergangenheit keine traumatischen Ereignisse oder Verletzungen, wie z. B. Bisswunden, bekannt. Auch wurden in den letzten Monaten keine subkutanen Injektionen verabreicht.
Die geschilderte Symptomatik hat ca. 1 Monat vor der Vorstellung in der Klinik begonnen. Neben Fieber und Inappetenz wurden keine weiteren Magen- und/oder Darmbeschwerden wie Durchfall oder Vomitus beobachtet.
Klinische Untersuchung
Bei der klinischen Untersuchung zeigte der Patient folgende Ergebnisse: Die Mundschleimhäute waren rosa und pappig, mit normaler kapillärer Rückfüllungszeit; das Herz war auskultatorisch ohne besonderen Befund, es waren keine Herzgeräusche hörbar und die Frequenz betrug 126 Schläge/min. Die Lunge war auskultatorisch frei mit normalen bronchovesikulären Lungengeräuschen, die Atemfrequenz betrug 19/min, die Körpertemperatur lag bei 40,1 °C.
Die tastbaren Lymphknoten waren klein und ohne besonderen Befund, das Abdomen war weich und indolent, der Puls war kräftig und regelmäßig. Der Besitzer berichtete, dass der Patient bei der ersten Vorstellung beim Haustierarzt2 Knoten am ventralen Abdomen zeigte, die allerdings nach der ersten Behandlung schnell verschwanden.
Diagnostik
Es wurde eine Blutuntersuchung mit komplettem Blutbild, Blutchemie und spezifischer Lipase durchgeführt. Diese Diagnostik ergab eine mittelgradige Leukozytose mit Neutrophilie ohne Linksverschiebung und eine geringgradige Monozytose. Der Neutrophilenwert lag bei 15,13K/µl (Referenzwert 2 – 12 K/µl) und der Wert für die Monozyten lagen bei 2,2K/µl (Referenzwert 0,30 – 2K/µl). Zusätzlich wurde das Protein C reaktiv gemessen und zeigte eine mittelgradige Erhöhung mit einem Wert von 110,8 mg/l (Referenzwert 0,0 – 10,0 mg/l).
Es wurden 2 Röntgenaufnahmen von dem Rüden angefertigt: rechtsanliegend laterolateral und ventrodorsal. Hier zeigten sich keine besonderen Befunde. Bei der Ultraschalluntersuchung des Abdomens wurden ebenfalls keine pathologischen Veränderungen festgestellt.
Merke
Dreh- und Angelpunkt bei der Aufarbeitung einer SNP ist eine umfassende und vollständige Anamnese.
Stationäre Therapie
Tagsüber wurde der Malteserrüde in der Klinik stationär betreut und bekam folgende Medikation:
Dieser Inhalt unterliegt den Bestimmungen gemäß Heilmittelwerbegesetz (HWG) und darf nur berechtigten Personen zugänglich gemacht werden. Bitte loggen Sie sich ein, um diesen Inhalt zu sehen.
Verlauf
10 Tage nach der Entlassung traten die Symptome erneut auf, der Hund zeigte Apathie, Fieber mit 40,0 °C sowie keine selbstständige Futteraufnahme und wurde wiederum in der Klinik vorgestellt. Zu diesem Zeitpunkt wurden bei der klinischen Untersuchung 3 Unterhautknoten am ventralen Abdomen entdeckt; der größte Knoten war ca. pflaumengroß, scharf abgegrenzt, nicht verschieblich, weich in der Konsistenz und mittelgradig schmerzhaft. Die Haut war an den betroffenen Arealen ohne besonderen Befund und es wurden weder Alopezie noch Erytheme festgestellt.
Labor und Bildgebung
Es wurde erneut eine Blutuntersuchung durchgeführt; diese ergab einen CRP-Wert von 189,5 mg/l (Referenzwert 0.0 – 10,0 mg/l) und eine mittelgradige Erhöhung der Leukozyten mit Neutrophilie bei 22,72K/µl (Referenzwert 2 – 12K/µl). Eine Blutprobe wurde zusätzlich in ein externes Labor eingeschickt; die dort durchgeführten Untersuchungen auf antinukleare Antikörper und der Coombs-Test erbrachten negative Ergebnisse.
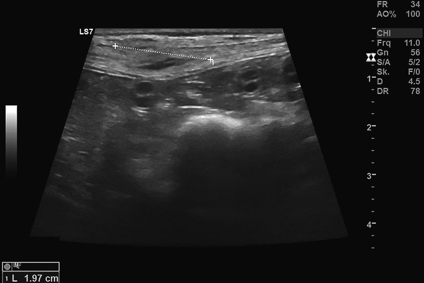
Als weitere diagnostische Maßnahme wurde eine Feinnadelbiopsie der Knoten durchgeführt; sie zeigten eine pyogranulomatöse Entzündung ohne Erregerbeteiligung. Die Sonografie des größten ventralen Hautknotens zeigte eine gut abgegrenzte, ovale und echoarme Umfangsvermehrung der Dermis und des subkutanen Gewebes von circa 2 × 0,6 cm Durchmesser, ohne Infiltration der Bauchdecke und ohne Nekroseanzeichen [Abb. 2].

Chirurgische Intervention
Um eine exakte Diagnose zu ermöglichen, fiel die Entscheidung, eine Exzision des Knotens in Vollnarkose und eine CT-Untersuchung durchzuführen.
Dieser Inhalt unterliegt den Bestimmungen gemäß Heilmittelwerbegesetz (HWG) und darf nur berechtigten Personen zugänglich gemacht werden. Bitte loggen Sie sich ein, um diesen Inhalt zu sehen.
CT und Operation
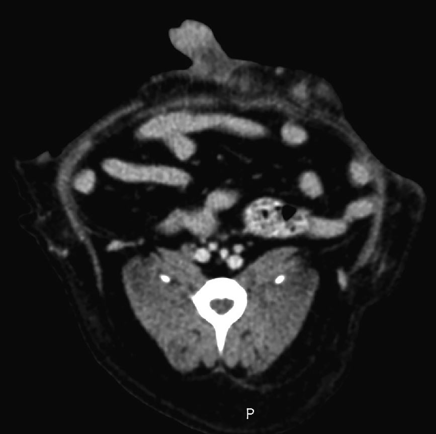
Für eine Ganzkörper-CT-Untersuchung wurde der Patient in Rückenlage verbracht und es wurden je eine native Aufnahme und eine Aufnahme nach intravenöser Kontrastmittelgabe angefertigt. Das CT zeigte 3 Unterhautknoten, je ca. 2 × 1 cm Durchmesser groß, abgrenzbar von der Bauchdecke und mit geringgradiger Kontrastmittelanreicherung [Abb. 3]. Es wurden keine weiteren organischen Veränderungen, insbesondere in der Pankreasregion, festgestellt.

Die Hautareale, die bioptiert werden sollten, wurden gereinigt, mehrfach desinfiziert und mit einer sterilen OP-Folie abgedeckt. Anschließend wurde eine elliptische Schnittbiopsie durchgeführt, um eine komplette Resektion zu erreichen. Die Dermis und Epidermis wurde durchtrennt, die Probe wurde mit einer feinen Pinzette im Bereich des subkutanen Fettgewebes fixiert, der Knoten freipräpariert, vollständig entfernt und Unterhaut sowie Haut verschlossen [Abb. 4]. Die Proben wurden in eine Fixationslösung (Formalin 10%) verbracht und in ein externes Labor gesendet.

Die Aufwachphase verlief problemlos und der Patient zeigte nach dem Eingriff ein gutes Allgemeinbefinden.
Dieser Inhalt unterliegt den Bestimmungen gemäß Heilmittelwerbegesetz (HWG) und darf nur berechtigten Personen zugänglich gemacht werden. Bitte loggen Sie sich ein, um diesen Inhalt zu sehen.
Histologie
Bei der histologischen Untersuchung des entfernten Knotens konnten keine intraläsionalen Pilze, Parasiten oder Bakterien nachgewiesen werden und eine Mastzellproliferation wurde ebenso ausgeschlossen. Im eingesendeten Material lag eine mittelgradige, multifokale Nekrose des Unterhautfettgewebes und eine septenartige Granulationsgewebebildung mit Fibrose vor. In Dermis und Subkutis fand sich eine hochgradige, multinoduläre Infiltration mit neutrophilen Granulozyten, Makrophagen, einigen Lymphozyten und Plasmazellen.
In den untersuchten Anschnitten konnte kein Hinweis auf ein neoplastisches Geschehen beobachtet werden. Auch eine weitere histologische Untersuchung nach Spezialfärbung ergab keine neuen Erkenntnisse und es wurde abschließend die Diagnose idiopathische sterile noduläre Pannikulitis gestellt.
Postoperative Therapie
Nach Operation und abgeschlossenem Heilungsprozess wurde eine orale Therapie mit Prednisolon in folgender Dosierung eingeleitet:
Dieser Inhalt unterliegt den Bestimmungen gemäß Heilmittelwerbegesetz (HWG) und darf nur berechtigten Personen zugänglich gemacht werden. Bitte loggen Sie sich ein, um diesen Inhalt zu sehen.
4 Tage nach Therapiebeginn hatte sich der Allgemeinzustand des Patienten deutlich verbessert, die innere Körpertemperatur befand sich in Normbereich und der Appetit war normal. Die Wunden waren abgeheilt und das Fell wuchs bereits nach. Der Patient blieb unter Prednisolon stabil, nach 3 Wochen wurde die Prednisolondosis reduziert und dann langsam ausgeschlichen bis auf eine Erhaltungsdosierung von:
Dieser Inhalt unterliegt den Bestimmungen gemäß Heilmittelwerbegesetz (HWG) und darf nur berechtigten Personen zugänglich gemacht werden. Bitte loggen Sie sich ein, um diesen Inhalt zu sehen.
Bis heute ist Balu stabil und zeigt keine Symptome mehr. Er wird nun alle 6 Monate klinisch überwacht inkl. Blutuntersuchung, um einen möglichen iatrogenen Hyperadrenokortizismus oder andere Veränderungen zu kontrollieren.
Diskussion
Unter dem Gesichtspunkt einer möglichen SNP sollte bei Patienten, die mit multiplen Unterhautknoten oder zystischen Veränderungen und gestörtem Allgemeinbefinden vorgestellt werden, eine komplette klinische Untersuchung mit einer sehr ausführlichen Anamnese durchgeführt werden. Besonderes Augenmerk sollte dabei auch auf Weimaraner, Pudel und Dackel gelegt werden, denn sie haben eine genetische Prädisposition für SNP.
In der Anamnese ist wichtig, Hinweise auf die Grunderkrankung zu sammeln, wie z. B. mögliche Traumata (subkutane Injektionen, Bisswunden), Auslandsaufenthalte oder andere Beschwerden wie z. B. Magen-Darm-Probleme, orthopädische Beschwerden (Lahmheit, geschwollene Gelenke etc.).
Ausschlussdiagnostik
Zusätzlich zur klinischen Untersuchung sollten ein komplettes Blutbild, Blutchemie sowie die Untersuchung auf ANA und ein Combs-Test durchgeführt werden, um einen Lupus erythematodes, eine rheumatoide Arthritis oder andere immunologische Erkrankungen (z. B. lymphoplasmazelluläre Kolitis) auszuschließen. Eine massive Leukozytose mit Linksverschiebung könnte auf eine bakterielle Entzündung hinweisen. Eine Messung der CPLI zeigt, ob eine Pankreaspathologie vorliegen könnte. Röntgenuntersuchung und Sonografie sind ebenfalls unabdingbar, um andere mögliche Hauptursachen auszuschließen, wie z. B. zystische Veränderungen des Pankreas, Neoplasien usw.
Eine zytologische Untersuchung einer FNAdes Knotens hilft, einen Hauttumor wie z. B. einen Mastzelltumor, ein Sarkom oder ein Lipom auszuschließen. Bei einer SNP zeigt die FNA des Knotens typischerweise eine pyogranulomatöse Entzündung ohne intrazytoplasmatische Erreger. Die Präparate sind reich an neutrophilen Granulozyten ohne Hinweise auf Degeneration, Makrophagen, Lymphozyten und Plasmazellen.
Bringt die geschilderte Diagnostik keine Ergebnisse, die auf eine Grunderkrankung hinweist, dann wird eine Exzisionsbiopsie des Knotens empfohlen. Die histologische Untersuchung führt zur finalen Diagnose und schließt eine mykotische, bakterielle oder neoplastische Erkrankung aus. In der histologischen Untersuchung von unserer Probe konnten alle 3 genannten Ursachen ausgeschlossen werden.
Ebenfalls durch die histologische Untersuchung ausgeschlossen wird die reaktive Histiozytose – eine weitere wichtige Differenzialdiagnose mit ähnlichem klinischem Bild wie SNP: Es treten ebenfalls multiple Knoten in der Cutis und Subcutis mit unbekannter Ursache auf und es wird eine persistierende Stimulation der Makrophagen vermutet.
Therapeutische Optionen
Die medikamentöse Behandlung der SNP basiert auf einer immunsuppressiven Therapie mit Kortison, Cyclosporin oder Mycophenolat-Mofetil.
Dieser Inhalt unterliegt den Bestimmungen gemäß Heilmittelwerbegesetz (HWG) und darf nur berechtigten Personen zugänglich gemacht werden. Bitte loggen Sie sich ein, um diesen Inhalt zu sehen.
Cyclosporin kann ebenfalls eingesetzt werden, allerdings sind die Kosten höher als bei Prednisolon und der Wirkungseintritt ist viel langsamer und dauert in der Regel 2 – 3 Wochen. Mögliche, doch meist vorübergehende Nebenwirkungen der Cyclosporin-Therapie sind gastrointestinale Störungen wie Erbrechen oder Durchfall, Gingivahyperplasie, Anorexie oder Fellveränderungen. Für die Langzeitanwendung ist Cyclosporin im Vergleich zur Kortisonanwendung jedoch wegen der fehlenden Nebenwirkungen wie Polyurie/Polydipsie und iatrogenem Cushing besser geeignet.
Mycophenolat-Mofetil ist ein anderes Immunsuppressivum, das beim Hund oral angewendet werden kann.
Dieser Inhalt unterliegt den Bestimmungen gemäß Heilmittelwerbegesetz (HWG) und darf nur berechtigten Personen zugänglich gemacht werden. Bitte loggen Sie sich ein, um diesen Inhalt zu sehen.
Die Nebenwirkung dieses Medikaments sind gastrointestinale Störungen. Nach der klinischen Besserung kann die Dosis bis zur minimalen effektiven Dosis zur Langzeitanwendung heruntergesetzt werden.
Fazit
Bei der in der Alltagspraxis selten auftretenden SNP kommt es besonders auf die gründliche klinische Untersuchung und eine tiefgreifende Anamnese an. Zusammen mit Laboruntersuchung, bildgebenden Verfahren, Biopsie und Histologie können Differenzialdiagnosen ausgeschlossen und meist final die Diagnose SNP gestellt werden. Danach kann die Therapie mit dem für den Patienten passenden immunsuppressiven Medikament unter regelmäßiger klinischer Überwachung begonnen werden.
Der Originalbeitrag zum Nachlesen:
(JD)



