Inhalt

Zum Komplex des eosinophilen Granuloms der Katze zählen neben Hautveränderungen auch orale Manifestationen, die sich als Ulcera oder Granulome präsentieren.
Ursachen
Die Ursache des eosinophilen Granulomkomplexes der Katze bleibt bis dato im Dunkeln. Spekulativ werden
- ein allergisches Geschehen,
- autoimmune Komponenten,
- virale, bakterielle und mykotische Infektionen,
- Traumata sowie
- hereditäre Einflüsse
in ätiologische Überlegungen einbezogen.
Befunde
Beim eosinophilen Granulomkomplex der Katze finden sich in der Mundhöhle vor allem Ulcera der Oberlippe sowie Granulome verschiedener Mundschleimhäute.
Ulcera der Oberlippe sind meist nah der Medianen lokalisiert; sie können einseitig oder bilateral symmetrisch auftreten. Die Lefzenschleimhaut der Oberkiefercanini ist häufig mitbetroffen. Die Oberlippe ist verdickt, die vestibuläre Schleimhaut durch eine scharf umschriebene, rötliche bis gelbe Ulzeration gekennzeichnet. Weder Schmerzhaftigkeit, Juckreiz noch putride Exsudation sind vorhanden. Andere Regionen der Mundhöhle sind seltener betroffen.
(Lineare) Granulome finden sich vor allem auf Zunge [Abb. 1] und Gaumen [Abb. 2], jedoch kann jede weitere Lokalisation betroffen sein. Die Veränderungen treten zumeist multipel auf, sind erhaben, derb, und besitzen häufig eine papillomatöse Oberfläche mit weißen Arealen. Im Gegensatz zu den schmerzlosen Ulcera sind die Tiere durch die Granulome in der Futteraufnahme meist stark beeinträchtigt [Abb. 3].



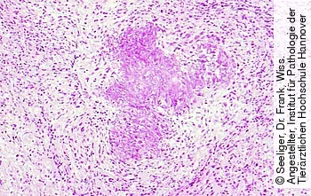
Histologisch ist die namensgebende Eosinophilie betroffener Gewebe nachzuweisen. Aufgrund der Degranulation eosinophiler Granulozyten kommt es zu granulomatösen oder ulzerativen Reaktionen des umgebenden Gewebes. Neben eosinophilen Granulozyten finden sich vor allem Makrophagen und Lymphozyten. In der Nachbarschaft befindliche kollagene Fasern werden von den entzündlichen Veränderungen mitbetroffen [Abb. 4].

Diagnose und Behandlung
Die Diagnose des eosinophilen Granulomkomplexes der Katze erfolgt über den histopathologischen Nachweis charakteristischer granulomatöser und ulzerativer Veränderungen mit begleitender Eosinophilie.
Im Differenzialblutbild ist bei akutem Geschehen ebenfalls häufig eine Eosinophilie nachweisbar.
Da die Ätiologie des eosinophilen Granuloms weiterhin unklar ist, sollten bei Verdacht auf einen bestimmten Auslöser entsprechend virale, bakterielle oder mykotische Untersuchungen sowie biochemische Profile eingeleitet werden.
Die Therapie besteht neben begleitender antibiotischer Abdeckung in der Gabe von Glukokortikoiden.
Dieser Inhalt unterliegt den Bestimmungen gemäß Heilmittelwerbegesetz (HWG) und darf nur berechtigten Personen zugänglich gemacht werden. Bitte loggen Sie sich ein, um diesen Inhalt zu sehen.
Bei vielen Tieren kann eine Steigerung des Appetits beobachtet werden; daher sollte der Tierhalter*innen das Futterangebot beschränken. Manche Tiere zeigen zunehmende Inaktivität, die sich jedoch nach Dosisreduktion in akzeptablen Bereichen bewegt. Die Entwicklung einer Endometritis sowie die Induktion eines Diabetes mellitus beim Einsatz von Megestrolacetat sind beschrieben. Aufgrund möglicher Nebenwirkungen des Megestroleinsatzes sollten engmaschige Laborkontrollen erfolgen, um frühe Zeichen einer Erkrankung zu erkennen.
Aufgrund der Rezidivfreudigkeit werden häufig zyklische Behandlungsperioden notwendig.
Kommt es durch die Größe der Granulome zu funktionellen Einschränkungen, so sollten die Granulome reseziert werden.
Findet sich ein verantwortlicher Auslöser, so gilt das Hauptaugenmerk dessen Eliminierung. Hierzu zählt zum Beispiel die genaue Untersuchung auf Vorliegen eines Fremdkörpers mit granulomatöser Reaktion umgebenden Gewebes oder auf äußere Traumata mit Entstehung eines labialen Ulcus.
Der Originalbeitrag zum Nachlesen:
(JD)



