Inhalt

Die Hüftgelenkdysplasie zählt zu den häufigsten orthopädischen Erkrankungen des Hundes und ist oftmals mit deutlichen Einschränkungen der Lebensqualität verbunden. Die Ursachen sind multifaktoriell. Trotz umfangreicher züchterischer Selektionsmaßnahmen ist weiterhin ein hoher Prozentsatz von Hunden betroffen [1], [2], [3].
Definition
Die Hüftgelenkdysplasie (HD) ist eine Fehlentwicklung des Hüftgelenks. Als Kugelgelenk müssen Femurkopf und Acetabulum perfekt zueinander passen und einander eng anliegen, sodass die Kugel gleichmäßig im Gelenk rotieren kann und auf der gesamten Oberfläche eine gleichmäßige Druckverteilung erfolgt. Ist die Gelenkpfanne zu weit, so schlägt die Kugel in der Bewegung an, die Oberfläche wird ungleichmäßig belastet und es kommt zu fokalen Abnutzungen des Knorpels und somit zu Osteoarthrose [4], [5].
Pathogenese
Zeitlicher Verlauf
Zum Zeitpunkt der Geburt zeigen alle Hüftgelenke eine normale Konfiguration. Besteht eine gute Kongruenz von Femurkopf und Acetabulum, entwickelt sich ein gesundes Hüftgelenk. Pathologische Veränderungen sind jedoch bereits sehr früh festzustellen.
Ab einem Alter von 2 Wochen kann bei betroffenen Hunden eine Überdehnung des Ligamentum capitis ossis femoris sowie der Gelenkkapsel im Vergleich zu gelenkgesunden Welpen festgestellt werden [6], [7].
Im Alter von 4 Wochen zeigen sich eine milde proliferative Synovitis sowie eine Ödematisierung und Fibroplasie des Ligamentum capitis ossis femoris bei gleichzeitiger Ausbildung eines Gelenkergusses.
Im Alter von 12 Wochen können bereits Veränderungen sowohl der Synovia als auch des Gelenkknorpels nachgewiesen werden [8]. Die Menge an Synovia ist bei dysplastischen Hüften deutlich vermehrt. Experimentell konnte nachgewiesen werden, dass eine Zuführung von Flüssigkeit in das Hüftgelenk die Laxizität des Gelenks erhöht, während eine Entnahme von Synovia diese reduziert [9]. Ob jedoch der Gelenkerguss Ursache oder Folge der Laxizität ist, konnte bislang nicht geklärt werden [10]. Durch die Überdehnung des Femurkopfbandes und der Gelenkkapsel entsteht eine vermehrte Laxizität [6], [11]. Unter Belastung kommt es zur dorsalen Subluxation des Femurkopfes und zu einer unphysiologischen Druckverteilung auf das junge Skelett [12].
Umbauprozesse
Bei einem dysplastischen Gelenk werden durch die nach dorsal gerichtete Subluxationstendenz der mediale Anteil des Femurkopfes sowie der dorsale Acetabulumrand überlastet, sodass deren Ossifikation verzögert ist [6], während der ventromediale Anteil des Acetabulums und der laterale Anteil des Femurkopfes zu früh ossifizieren [7]. Hieraus resultieren eine Abflachung des Acetabulums sowie eine Unterentwicklung des dorsalen Acetabulumrandes [13]. Die Knorpelflächen werden in den überlasteten Regionen abgerieben, bis subchondraler Knochen freiliegt, der als Reaktion vermehrt sklerosiert [7]. [Abb. 1] zeigt die weit fortgeschrittenen degenerativen Veränderungen der HD eines älteren Patienten. Im Vergleich hierzu bildet [Abb. 4 b] die initiale Subluxationstendenz eines jung adulten Hundes vor der Entstehung degenerativer Veränderungen ab. Die ausgeprägte Coxarthrose in [Abb. 1] ist als Folge der Laxizität und Inkongruenz der Hüftgelenke zu werten. Grundsätzlich können degenerative Veränderungen des Hüftgelenks auch z. B. infolge eines Traumas (Luxation, Fraktur), Osteochondrose o. ä. ohne zugrundeliegende HD entstehen [14].

Umbauprozesse bei fortgeschrittener Hüftgelenkdysplasie
- Verdickung der Gelenkkapsel
- Knorpeldegeneration
- Dehnung oder Ruptur des Ligamentum capitis ossis femoris
- osteophytäre Zubildungen des kranialen oder kaudalen Acetabulumrandes
- Verdickung des Femurhalses
- Atrophie der umliegenden Muskulatur
Durch die Umbauprozesse bei einer fortgeschrittenen HD kann es zu einer Verbesserung der Gelenkstabilität oder aber zur vollständigen Luxation kommen [15].
Ursachen
Bei der HD des Hundes handelt es sich um ein multifaktorielles Krankheitsgeschehen. Dies muss bei Prävention und Therapie Beachtung finden.
Genetik
Eine erbliche Komponente ist für die Hüftgelenkdysplasie belegt. Studien zeigen, dass eine genetische Selektion bei Rassehunden auf hüftgesunde Tiere potenziell zu einem Rückgang der Prävalenz von HD führen kann [16], [17]. Zunehmende Aufmerksamkeit gewinnt in diesem Zusammenhang der Begriff des genomischen Zuchtwerts [18]. So soll mittels Gentests vor Erteilung der Zuchtzulassung ermittelt werden, ob u. a. eine Prädisposition zur Entwicklung einer Hüftgelenkdysplasie besteht mit dem Ziel, mittels gezieltem und frühzeitigem Zuchtausschluss die Ausmerzung von HD aus der Rassehundepopulation zu beschleunigen. Jedoch sind mehrere Generationen notwendig, um eine nachweisbare Reduktion des Anteils HD-betroffener Hunde bei den Nachkommen zu bewirken [3], [19], [20]. Ein Gentest zur Prädiktion der HD existiert aktuell für den Deutschen Schäferhund [21]. Seine tatsächliche Aussagekraft hinsichtlich der Entwicklung einer HD ist jedoch umstritten [21].
Die genetischen Informationen, die für eine HD kodieren, sind auf verschiedene Chromosomen und Orte verteilt, die bislang nur teilweise aufgedeckt werden konnten [22].
Ein Quantitative Trait Locus (QTL) bezeichnet den Abschnitt eines Chromosoms, für den ein Einfluss auf die phänotypische Ausprägung eines Merkmals nachgewiesen werden konnte. QTL, die für die Veranlagung zur Entwicklung einer HD verantwortlich sind, konnten auf insgesamt 12 Chromosomen identifiziert werden [23], [24], [25].
Heritabilität beschreibt den Anteil, den die Genetik an der Ausbildung eines Merkmals hat, und wird mit Zahlen zwischen 0 und 1 angegeben. Je höher der Quotient, desto stärker kann die Ausprägung eines Merkmals durch die Genetik erklärt werden. Umweltfaktoren wie Fütterung und Bewegung wirken sich auf die phänotypische Entstehung von HD aus und bewirken somit einen niedrigeren Wert, der je nach Autor zwischen 0,2 und 0,4 liegt [26], [27], [28], [29].
Wenn nun Elterntiere verpaart werden, deren Hüftgelenke deutlich besser sind als die der Population der entsprechenden Hunderasse, entsteht Selektionsdruck.
Je höher die Heritabilität eines Merkmals ist und je stärker dieses Merkmal bei den Elterntieren von der zugehörigen Population abweicht, desto schneller ist eine genetische Veränderung bei den Nachkommen zu erwarten. Züchter können die Heritabilität nicht beeinflussen, jedoch sehr wohl den Selektionsdruck durch die Auswahl von Elterntieren mit möglichst optimalen Hüftgelenken. Da die Entwicklung einer HD zusätzlich stark von Umweltfaktoren beeinflusst wird, können phänotypisch hüftgesunde Hunde folglich dennoch Träger polygenetischer Informationen sein, die in der Nachkommenschaft die Entwicklung einer HD begünstigen [30], [31].
Ernährung
Eine HD tritt bei schneller Gewichtszunahme durch eine hohe Kalorienzufuhr häufiger, früher und in stärkerer Ausprägung auf [32], [33]. Ein adipöser Hund ohne genetische Veranlagung zur HD wird nicht spontan dysplastische Hüftgelenke entwickeln. Besteht jedoch die entsprechende genetische Veranlagung, so spielt das Gewicht eine große Rolle in der Manifestation des Phänotyps dieser Erkrankung [34], [35].
Praxis
Die Gewichtsreduktion ist allgemein als hocheffektive Präventionsstrategie anerkannt, um die Entwicklung einer Osteoarthrose bei entsprechend genetisch vorbelasteten Hunden zu verzögern oder gar zu verhindern [36], [37], [38].
Bewegung
Unter Hundebesitzern ist nach wie vor eine verbreitete Meinung, Welpen in ihrem Bewegungspensum deutlich einzuschränken. Diese Ansicht wird durch Studien nur teilweise unterstützt. Es konnte gezeigt werden, dass Welpen unter 3 Monaten tatsächlich keine Treppen steigen sollten. Jedoch hat sich ausreichende Bewegung auf weichem und etwas unebenem Untergrund als protektiver Faktor bewiesen [39].
Hormonelle Faktoren
Während der Geburt tragen verschiedene Hormone, u. a. Östrogen und Relaxin, zur Relaxation des Beckenrings und der coxofemoralen Bandstrukturen bei [40]. Bewegt sich der Hormonspiegel innerhalb physiologischer Grenzen, hat Östrogen jedoch keinen nachgewiesenen Einfluss auf die Laxizität der Hüftgelenke [41].
Das Hormon Relaxin, das im letzten Trächtigkeitsdrittel sowie in der Milch laktierender Hündinnen in hohen Konzentrationen vorkommt, erhöht die Gelenklaxizität bei deren Welpen beiderlei Geschlechts [42]. Bei Labradoren konnten in einer Studie höhere Relaxin-Konzentrationen nachgewiesen werden als bei Beagles. Eine Korrelation mit der höheren Prävalenz von HD beim Labrador wird hier diskutiert [43].
Diagnostik
Eine sichere Diagnose ist röntgenologisch zu stellen, da die Ausprägung klinischer Symptome stark variiert [44]. Eine palpatorische Diagnose ist nicht zuverlässig möglich [45]. Ultraschall, Computertomografie (CT) und Magnetresonanztomografie (MRT) wurden als weitere diagnostische Modalitäten in unterschiedlichen Publikationen behandelt, ihnen kommt aktuell jedoch kein nennenswerter Stellenwert zu [46] – [48].
Klinische Untersuchung
Neben einer Allgemeinuntersuchung dienen eine orthopädische und neurologische Evaluation dem Ausschluss klassischerDifferenzialdiagnosen wie:
- Panostitis
- Osteochondrosis dissecans (OCD)
- hypertrophe Osteodystrophie
- Kreuzbandriss
- lumbosakrale Diskopathie
- Neoplasien
Ein Drittel der Patienten, die mit Verdacht auf HD überwiesen werden, weisen tatsächlich einen vorderen Kreuzbandriss auf, der die Lahmheitsursache darstellt [49].
Barlow- und Ortolani-Test
Zur klinischen Ersteinschätzung der Hüften sind insbesondere 2 Verfahren beschrieben. Der Barlow-Test überprüft palpatorisch, ob ein Hüftgelenk subluxiert bzw. disloziert werden kann, sprich der entscheidende Faktor ist die Dislokation des Femurkopfes aus dem Acetabulum heraus. Der Ortolani-Test beginnt dagegen im subluxierten Zustand. Dabei wird das typische „Ploppen“ bei Reduktion des Femurkopfes in das Acetabulum wahrgenommen.
Merke
Die Korrelation zwischen einem klinischen Ortolani-Zeichen und röntgenologischen Veränderungen ist relativ gering.
59% der Hunde mit unauffälligem gestreckten Hüftröntgen weisen ein Ortolani-Zeichen auf. Umgekehrt zeigten 50% der Hunde mit einer röntgenologisch deutlichen Laxizität einen negativen Ortolani-Test [50]. Sind bereits arthrotische Veränderungen im Hüftgelenk – insbesondere ein Umbau des dorsalen Acetabulumrandes – aufgetreten, kann trotz vorhandener Laxizität und HD kein positives Ortolani-Zeichen mehr ausgelöst werden.
Juvenile und adulte Form
Die Progression der HD ist zwar linear, dennoch können die klinischen Symptome in eine juvenile und eine adulte Form differenziert werden [33]. Beide Altersklassen zeigen Schwierigkeiten beim Aufstehen und vermeiden Treppensteigen und Sprünge.
Junge Patienten zeigen oft zusätzlich ein Bunny Hopping, d. h. im Galopp werden die Hintergliedmaßen gleichzeitig und parallel aufgesetzt [51]. Juvenile Patienten sind vorwiegend von einer ausgeprägten Laxizität der Hüftgelenke mit Überdehnung von Gelenkkapsel und Bandstrukturen betroffen. Durch Überlastung des dorsalen Acetabulumrandes kommt es zu fokalen Mikrofrakturen [51].
Adulte Patienten entwickeln eine periartikuläre Fibrose, die oftmals zu einer besseren Gelenkstabilität und damit zu einer Regression der klinischen Symptome führt [52], [53]. Diese Ausprägung der Erkrankung ist die häufigere und chronische Form.
Die Bemuskelung der Hintergliedmaßen ist bei Hunden mit HD (z. B. beim Deutschen Schäferhund) im Vergleich zu nicht-dysplastischen Hunderassen wie z. B. dem Greyhound deutlich geringer ausgeprägt. Hierbei wirkt sich sowohl die Rassezugehörigkeit zum Deutschen Schäferhund als auch das Vorhandensein einer HD negativ auf die Muskelmasse aus [54]. [Abb. 2] zeigt einen Deutschen Schäferhund mit sehr deutlicher Ausprägung einer beidseitigen HD.

Röntgen
Die gestreckte Standardaufnahme des Hüftgelenks wurde erstmals 1935 publiziert [55]. Die Gesellschaft für Röntgendiagnostik genetisch beeinflusster Skeletterkrankungen bei Kleintieren e. V. (GRSK) definiert den Standard folgendermaßen: Der Patient befindet sich in Rückenlage, die Hintergliedmaßen werden an den Tarsi gefasst, adduziert und einwärtsgedreht, nach hinten gestreckt und gegen den Tisch hinunter gedrückt. Eine korrekte Aufnahme bildet das Becken vollständig ab, die Patellae sollen sichtbar sein. Beide Foramina obturatoria erscheinen gleich groß, beide Darmbeinschaufeln erscheinen gleichförmig. Die Femora liegen parallel zueinander, parallel zur Wirbelsäule sowie parallel zum Röntgentisch. Die Patellae projizieren sich mittig zwischen den beiden Femurkondylen. Der dorsale Acetabulumrand ist durch den Femurkopf hindurch sichtbar. Jedoch zeigt sich, dass durch die Streckung die Gelenkkapsel aufgezwirbelt und damit verkürzt wird [56]. Dieser Längenverlust führt zu einer kompressiven Kraft auf den Femurkopf, sodass dieser in das Acetabulum gedrückt wird. Es entsteht eine artifizielle Momentaufnahme, was wiederum die nur mäßige Sensitivität dieser Technik zur Detektion insbesondere früher Hüftgelenkdysplasien erklärt [57], [58], [59].
Arthrotische Veränderungen, insbesondere periartikuläre Osteophyten und subchondrale Sklerose, die wichtige Bestandteile der radiologischen HD-Diagnose darstellen, hinken den frühen strukturellen Veränderungen hinterher. Je älter die Patienten werden, desto sichtbarer werden die degenerativen Veränderungen im Röntgen und desto höher ist auch die Wahrscheinlichkeit, eine vorhandene HD röntgenologisch diagnostizieren zu können [60]. Junge Patienten weisen oftmals ausschließlich eine sichtbare Laxizität auf, die jedoch durch die gestreckten Aufnahmen unterschätzt werden kann.
Im Verlauf des letzten Jahrzehnts wurden zusätzliche röntgenologische Merkmale untersucht, die von klinischer Signifikanz sein sollen [61], [62], [63], [64] ([Abb. 3]):
- die Morganlinie (Caudolateral Curvilinear Osteophyte, CCO)
- die Kragenlinie (Circumferential Femoral Head Osteophyte, CFHO)
- die sogenannte „Puppy Line“ im Bereich des Femurhalses
Die Puppy Line scheint nicht mit der Entstehung degenerativer Gelenkveränderungen assoziiert zu sein. Weiterhin verschwindet sie im Alter von ca. 18 Monaten [65].

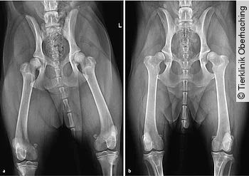
Weltweit existieren unterschiedliche Standards zur Röntgendiagnose der HD als Basis züchterischer Selektion. Systeme weisen Schwachpunkte auf, die einer effektiveren Ausmerzung von HD aus der Hundepopulation im Wege stehen. Nicht alle Zuchtverbände fordern z. B. verpflichtend eine Allgemeinanästhesie, Röntgenaufnahmen am wachen Patienten verringern jedoch die diagnostische Qualität erheblich [66], [67] ([Abb. 4]). Der in Deutschland primär angewandte Standard wird durch die Fédération Cynologique Internationale (FCI) festgelegt.

Zwar können Kriterien wie die Kongruenz des Gelenks und der Grad der Überdachung des Femurkopfes durch das Acetabulum bereits bei juvenilen Patienten die Diagnosestellung HD ermöglichen, dennoch gilt: Je jünger die Patienten bei der Untersuchung sind, desto geringer ist die Wahrscheinlichkeit, dass degenerative Veränderungen die Diagnosestellung erleichtern. Weiterhin kann auch in Deutschland insbesondere die Einreichung HD-verdächtiger Röntgenaufnahmen umgangen werden, was zu einem starken Selektionsbias führt. So wurde beispielsweise in den USA bewiesen, dass Röntgenaufnahmen guter Gelenke erheblich häufiger an die OFA gesendet werden [68]. Eine fundierte Aussage zur tatsächlichen Prävalenz von HD in der amerikanischen Rassehundepopulation ist so kaum möglich. Alter und Ernährung haben einen signifikanten Einfluss auf die OFA-basierte Einschätzung der Hüftgelenke [69]. In einer lebenslangen Studie an Labradoren zeigten 55% aller Hunde bei unauffälligem Röntgen im Alter von 2 Jahren am Lebensende radiologische Anzeichen von Osteoarthrose [69].
Weiterhin wurde bewiesen, dass die Konsistenz in der Beurteilung der Röntgenaufnahmen zwischen verschiedenen Gutachtern deutlich variiert, insbesondere wenn keine quantitativen Längen- oder Winkelmessungen gefordert sind [70], [71]. Zwar handelt es sich in Deutschland um Gutachter, die von der Gesellschaft für Röntgendiagnostik genetisch beeinflusster Skeletterkrankungen bei Kleintieren (GRSK) akkreditiert sind, dennoch ist auch hier von einer gewissen Varianz auszugehen.
Pennsylvania Hip Improvement Program (PennHIP)
1990 wurde erstmalig eine neue Stressröntgen-Methode zur Beurteilung der Laxizität von Hüftgelenken beschrieben [57]. Beurteilungsgrundlage ist hier der sogenannte Distraktionsindex (DI) mit einem Wert zwischen 0 und 1, der die passive Laxizität der Hüftgelenke widerspiegelt [57]. Im Rahmen der Erstpublikation dieser Methode 1990 wurde Hunden mit einem DI unter 0,3 ein geringes Risiko für die Entwicklung einer HD attestiert, während es sich bei Werten zwischen 0,3 und 0,7 um Übergangsformen handelt. Bei Werten über 0,7 besteht ein hohes Risiko für eine HD [72]. Dies ist jedoch nur als Richtwert zu verstehen und rassespezifischen Unterschieden unterworfen. Eine neuere Studie vergleicht FCI-Kriterien mit dem PennHIP-Verfahren und legt den Cutoff-Wert für die Prognose einer HD bei einem DI von 0,44 fest [73]. Der DI liegt für juvenile Hunde höher und sinkt im Verlauf des ersten Lebensjahres ab [74].
In einem direkten Vergleich von OFA-Bewertungen und Distraktionsindex zeigte sich, dass 52% aller als unauffällig beurteilten Hüften, 84% aller als gut und 94% aller als ausreichend eingeschätzten Hüftröntgenaufnahmen eine signifikante Laxizität aufwiesen und somit verdächtig hinsichtlich der Entwicklung einer Hüftgelenkdysplasie waren [75]. Weiterhin konnte nachgewiesen werden, dass die Selektion von Zuchthunden mittels einer Ergänzung der OFA-Kriterien durch das PennHIP-Verfahren zu einer signifikanten Verbesserung der Hüftgelenksqualität führte [59].
PennHIP-Verfahren
Das PennHIP-Verfahren ist ab einem Alter von 16 Wochen anwendbar [45], [76], [77].
Drei Röntgenaufnahmen werden in tiefer Sedation bzw. Vollnarkose angefertigt [73]:
- eine gestreckte Standardaufnahme des Beckens zur generellen Einschätzung sowie zur Beurteilung degenerativer Veränderungen der Hüftgelenke
- eine Kompressionsaufnahme zur Einschätzung der Kongruenz und als Bemessungsgrundlage für den Distraktionsindex
- eine Distraktionsaufnahme zur Messung der Laxizität
Zunächst wird eine Röntgenaufnahme des Beckens entsprechend der Position 1 nach FCI angefertigt. Für die Kompressionsaufnahme verbleibt der Patient in Rückenlage, die Hintergliedmaßen werden gebeugt und die Femurköpfe in das Acetabulum gedrückt. Die physiologische Winkelung der Hüftgelenke im Stand soll simuliert werden. Die Distraktionsaufnahme wird ebenfalls in Rückenlage angefertigt. Eine spezielle Vorrichtung – der sogenannte PennHIP-Distraktor – wird mittig zwischen den Hinterbeinen aufgelegt und die Hintergliedmaßen werden adduziert. Der Distraktor wirkt als Hebelpunkt, der auf Höhe der proximalen Femora wirkt und die Hüftköpfe beidseits lateralisiert.
Anschließend wird der DI berechnet. Hierbei bedeutet ein Wert von 0 eine vollständige Kongruenz des Gelenks und ein Wert von 1 eine vollständige coxofemorale Luxation. Der gemessene Wert wird ins Verhältnis zu den für die Rasse beschriebenen DI gesetzt [16], [78].
Die Einreichung der angefertigten Röntgenaufnahmen ist verpflichtend, ein Selektionsbias wird somit verhindert. Das PennHIP-Verfahren ist in den USA weit verbreitet, in Deutschland ist es zur Zuchtzulassung nicht anerkannt. Hier fehlt aktuell noch eine breitere Studienlage, die insbesondere den prognostischen Wert des PennHIP-Verfahrens zum FCI-Röntgen in Relation setzt.
Fazit
Die Pathogenese und Diagnostik der kaninen Hüftgelenkdysplasie nehmen einen zentralen Stellenwert in der Kleintierorthopädie ein. Eine effektive züchterische Selektion sowie Präventionsmaßnahmen bei genetisch vorbelasteten Hunden sind die wichtigsten Aufgaben für die kommenden Jahrzehnte.
Der Originalbeitrag zum Nachlesen:
Werres, C. "Die Hüftgelenkdysplasie des Hundes – Pathogenese und (Früh-)Diagnostik". kleintier konkret 2023; 26(04): 32-45 DOI: 10.1055/a-2061-3647
(JD)
- Verhoeven G, Fortrie R, Van Ryssen B, Coopman F. Worldwide screening for canine hip dysplasia: where are we now?. Vet Surg 2012; 41 (01) 10-19
- Sanchez-Molano E, Woolliams JA, Blott SC, Wiener P. Assessing the impact of genomic selection against hip dysplasia in the Labrador Retriever dog. J Anim Breed Genet 2014; 131 (02) 134-145
- Ginja M, Gaspar AR, Ginja C. Emerging insights into the genetic basis of canine hip dysplasia. Vet Med (Auckl) 2015; 6: 193-202
- Rosin P. PennHIP method. Im Internet: https://pennhip.info/en/home-en/ Stand: März 2023
- Tellhelm B. Was ist HD? Hüftdysplasie (HD) beim Hund. 2022. Im Internet: https://www.grsk.org/informationen-fuer-tierbesitzer-zuechter/was-ist-hd Stand: März 2023
- Alexander JW. The pathogenesis of canine hip dysplasia. Vet Clin North Am Small Anim Pract 1992; 22 (03) 503-511
- Fries CL, Remedios AM. The pathogenesis and diagnosis of canine hip dysplasia: a review. Can Vet J 1995; 36 (08) 494-502
- Lust G, Summers BA. Early, asymptomatic stage of degenerative joint disease in canine hip joints. Am J Vet Res 1981; 42 (11) 1849-1855
- Lust G, Beilman WT, Rendano VT. A relationship between degree of laxity and synovial fluid volume in coxofemoral joints of dogs predisposed for hip dysplasia. Am J Vet Res 1980; 41 (01) 55-60
- Wallace LJ. Canine hip dysplasia: past and present. Semin Vet Med Surg Small Anim 1987; 2 (02) 92-106
- Santana A, Alves-Pimenta S, Franco-Goncalo P. et al. Early hip laxity screening and later canine hip dysplasia development. Vet World 2022; 15 (03) 679-684
- Riser WH. The dysplastic hip joint: its radiographic and histologic development. J Am Vet Radiol Soc 1973; (14) 35
- Riser WH. A half century of canine hip dysplasia. Semin Vet Med Surg Small Anim 1987; 2 (02) 87-91
- Vaughan LC. Orthopaedic problems in old dogs. Vet Rec 1990; 126 (16) 379-388
- Wardlaw JL, McLaughlin R. Coxofemoral Luxation. In: Tobias KM, Johnston SA. Hrsg. Veterinary Surgery Small Animal. Philadelphia: Saunders; 2017: 816-823
- Verhoeven G, Fortrie R, Van Ryssen B, Coopman F. Worldwide screening for canine hip dysplasia: where are we now?. Vet Surg 2012; 41 (01) 10-19
- Sanchez-Molano E, Woolliams JA, Blott SC, Wiener P. Assessing the impact of genomic selection against hip dysplasia in the Labrador Retriever dog. J Anim Breed Genet 2014; 131 (02) 134-145
- Soo M, Worth A. Canine hip dysplasia: phenotypic scoring and the role of estimated breeding value analysis. N Z Vet J 2015; 63 (02) 69-78
- Leighton EA. Genetics of canine hip dysplasia. J Am Vet Med Assoc 1997; 210 (10) 1474-1479
- Flückiger M. Hüftgelenksdysplasie bei Zuchthunden – Sind Ihre Nachkommen HD-gefährdet?. Im Internet: https://www.dysplasie-schweiz.unibe.ch/unibe/portal/fak_vetmedizin/micro_dysplasie/content/e332465/e406506/e406509/Hueftgelenksdysplasie_bei_Zuchthunden_ger.pdf Stand: Juli 2023
- Manz E, Tellhelm B, Krawczak M. Prospective evaluation of a patented DNA test for canine hip dysplasia (CHD). PLoS One 2017; 12 (08) e0182093
- Reagan JK. Canine Hip Dysplasia Screening Within the United States: Pennsylvania Hip Improvement Program and Orthopedic Foundation for Animals Hip/Elbow Database. Vet Clin North Am Small Anim Pract 2017; 47 (04) 795-805
- Chase K, Lawler DF, Adler FR. et al. Bilaterally asymmetric effects of quantitative trait loci (QTLs): QTLs that affect laxity in the right versus left coxofemoral (hip) joints of the dog (Canis familiaris). Am J Med Genet A 2004; 124A(3): 239-247
- Todhunter RJ, Mateescu R, Lust G. et al. Quantitative trait loci for hip dysplasia in a cross-breed canine pedigree. Mamm Genome 2005; 16 (09) 720-730
- Mateescu RG, Burton-Wurster NI, Tsai K. et al. Identification of quantitative trait loci for osteoarthritis of hip joints in dogs. Am J Vet Res 2008; 69 (10) 1294-1300
- Tellhelm B. Hüftgelenksdysplasie (HD) – Entstehung, Erkennung, Bekämpfung. Kleintierpraxis 2008; 53 (04) 246-260
- Wood JL, Lakhani KH, Rogers K. Heritability and epidemiology of canine hip-dysplasia score and its components in Labrador retrievers in the United Kingdom. Prev Vet Med 2002; 55 (02) 95-108
- King MD. Etiopathogenesis of Canine Hip Dysplasia, Prevalence, and Genetics. Vet Clin North Am Small Anim Pract 2017; 47 (04) 753-767
- Leighton EA, Holle D, Biery DN. et al. Genetic improvement of hip-extended scores in 3 breeds of guide dogs using estimated breeding values: Notable progress but more improvement is needed. PLoS One 2019; 14 (02) e0212544
- Ginja M, Gaspar AR, Ginja C. Emerging insights into the genetic basis of canine hip dysplasia. Vet Med (Auckl) 2015; 6: 193-202
- Mikkola L, Holopainen S, Pessa-Morikawa T. et al. Genetic dissection of canine hip dysplasia phenotypes and osteoarthritis reveals three novel loci. BMC Genomics 2019; 20 (01) 1027
- Kealy RD, Lawler DF, Ballam JM. et al. Evaluation of the effect of limited food consumption on radiographic evidence of osteoarthritis in dogs. J Am Vet Med Assoc 2000; 217 (11) 1678-1680
- Smith GK, Paster ER, Powers MY. et al. Lifelong diet restriction and radiographic evidence of osteoarthritis of the hip joint in dogs. J Am Vet Med Assoc 2006; 229 (05) 690-693
- Kealy RD, Lawler DF, Ballam JM. et al. Evaluation of the effect of limited food consumption on radiographic evidence of osteoarthritis in dogs. J Am Vet Med Assoc 2000; 217 (11) 1678-1680
- Smith GK, Paster ER, Powers MY. et al. Lifelong diet restriction and radiographic evidence of osteoarthritis of the hip joint in dogs. J Am Vet Med Assoc 2006; 229 (05) 690-693
- Riser WH, Cohen D, Lindqvist S. et al. Influence of early rapid growth and weight gain on hip dysplasia in the German Shepherd Dog. J Am Vet Med Assoc 1964; 145 (07) 661-668
- Hedhammar A, Krook L, Sheffy BE. et al. Overnutrition and skeletal disease. An experimental study in growing Great Dane dogs. II. Design of experiment. Cornell Vet 1974; 64 (Suppl. 05) 11-22
- Kasstrom H. Nutrition, weight gain and development of hip dysplasia. An experimental investigation in growing dogs with special reference to the effect of feeding intensity. Acta Radiol 1975; Suppl 344: 135-179
- Krontveit RI, Nodtvedt A, Saevik BK. et al. Housing- and exercise-related risk factors associated with the development of hip dysplasia as determined by radiographic evaluation in a prospective cohort of Newfoundlands, Labrador Retrievers, Leonbergers, and Irish Wolfhounds in Norway. Am J Vet Res 2012; 73 (06) 838-846
- Andren L. Instability of the pubic symphysis and congenital dislocation of the hip in newborns. The possible aetiologic role of maternal hormones. Acta radiol 1960; 54: 123-128
- Hassinger KA, Smith GK, Conzemius MG. Effect of the oestrus cycle on coxofemoral joint laxity. Vet Comp Orthop Traumatol 1997; 10 (02) 69-74
- Steinetz BG, Williams AJ, Lust G. et al. Transmission of relaxin and estrogens to suckling canine pups via milk and possible association with hip joint laxity. Am J Vet Res 2008; 69 (01) 59-67
- Steinetz BG, Goldsmith LT, Lust G. Plasma relaxin levels in pregnant and lactating dogs. Biol Reprod 1987; 37 (03) 719-725
- Santana A, Alves-Pimenta S, Martins J. et al. Imaging diagnosis of canine hip dysplasia with and without human exposure to ionizing radiation. Vet J 2021; 276: 105745
- Adams WM, Dueland RT, Meinen J. et al. Early detection of canine hip dysplasia: comparison of two palpation and five radiographic methods. J Am Anim Hosp Assoc 1998; 34 (04) 339-347
- Adams WM, Dueland RT, Daniels R. et al. Comparison of two palpation, four radiographic and three ultrasound methods for early detection of mild to moderate canine hip dysplasia. Vet Radiol Ultrasound 2000; 41 (06) 484-490
- Ginja MM, Ferreira AJ, Jesus SS. et al. Comparison of clinical, radiographic, computed tomographic, and magnetic resonance imaging methods for early prediction of canine hip laxity and dysplasia. Vet Radiol Ultrasound 2009; 50 (02) 135-143
- Butler JR, Gambino J. Canine Hip Dysplasia: Diagnostic Imaging. Vet Clin North Am Small Anim Pract 2017; 47 (04) 777-793
- Powers MY, Martinez SA, Lincoln JD. et al. Prevalence of cranial cruciate ligament rupture in a population of dogs with lameness previously attributed to hip dysplasia: 369 cases (1994–2003). J Am Vet Med Assoc 2005; 227 (07) 1109-1111
- Puerto DA, Smith GK, Gregor TP. et al. Relationships between results of the Ortolani method of hip joint palpation and distraction index, Norberg angle, and hip score in dogs. J Am Vet Med Assoc 1999; 214 (04) 497-501
- Riser WH. Hip dysplasia: theories of pathogenesis. In: Newton CD, Nunamaker DM. eds. Textbook of small animal orthopedics. Philadelphia: JB Lippincott; 1985: 953
- Barr AR, Denny HR, Gibbs C. Clinical hip dysplasia in growing dogs: the long-term results of conservative management. J Small Anim Pract 1987; 28 (04) 243-252
- Coopman F, Verhoeven G, Saunders J. et al. Prevalence of hip dysplasia, elbow dysplasia and humeral head osteochondrosis in dog breeds in Belgium. Vet Rec 2008; 163 (22) 654-658
- Cardinet 3rd GH, Kass PH, Wallace LJ, Guffy MM. Association between pelvic muscle mass and canine hip dysplasia. J Am Vet Med Assoc 1997; 210 (10) 1466-1473
- Schnelle G. Some new diseases in the dog. Am Kennel Gaz 1935; 52: 25-26
- Heyman SJ, Smith GK, Cofone MA. Biomechanical study of the effect of coxofemoral positioning on passive hip joint laxity in dogs. Am J Vet Res 1993; 54 (02) 210-215
- Smith GK, Biery DN, Gregor TP. New concepts of coxofemoral joint stability and the development of a clinical stress-radiographic method for quantitating hip joint laxity in the dog. J Am Vet Med Assoc 1990; 196 (01) 59-70
- Powers MY, Karbe GT, Gregor TP. et al. Evaluation of the relationship between Orthopedic Foundation for Animalsʼ hip joint scores and PennHIP distraction index values in dogs. J Am Vet Med Assoc 2010; 237 (05) 532-541
- Haney PS, Lazarowski L, Wang X. et al. Effectiveness of PennHIP and Orthopedic Foundation for Animals measurements of hip joint quality for breeding selection to reduce hip dysplasia in a population of purpose-bred detection dogs. J Am Vet Med Assoc 2020; 257 (03) 299-304
- Jessen CR, Spurrell FA. Radiographic detection of canine hip dysplasia in known age groups. In: Proceedings of the Canine Hip Dysplasia Symposium and Workshop. St. Louis (MO): Orthopedic Foundation for Animals; 1972: 93-100
- Morgan SJ. The pathology of canine hip dysplasia. Vet Clin North Am Small Anim Pract 1992; 22 (03) 541-550
- Mayhew PD, McKelvie PJ, Biery DN. et al. Evaluation of a radiographic caudolateral curvilinear osteophyte on the femoral neck and its relationship to degenerative joint disease and distraction index in dogs. J Am Vet Med Assoc 2002; 220 (04) 472-476
- Szabo SD, Biery DN, Lawler DF. et al. Evaluation of a circumferential femoral head osteophyte as an early indicator of osteoarthritis characteristic of canine hip dysplasia in dogs. J Am Vet Med Assoc 2007; 231 (06) 889-892
- Risler A, Klauer JM, Keuler NS, Adams WM. Puppy line, metaphyseal sclerosis, and caudolateral curvilinear and circumferential femoral head osteophytes in early detection of canine hip dysplasia. Vet Radiol Ultrasound 2009; 50 (02) 157-166
- Risler A, Klauer JM, Keuler NS, Adams WM. Puppy line, metaphyseal sclerosis, and caudolateral curvilinear and circumferential femoral head osteophytes in early detection of canine hip dysplasia. Vet Radiol Ultrasound 2009; 50 (02) 157-166
- Bozkan Z, Sarierler M. Influence of Anesthesia on Grading of Canine Hip Dysplasia. Top Companion Anim Med 2019; 37: 100368
- Santana A, Alves-Pimenta S, Martins J. et al. Imaging diagnosis of canine hip dysplasia with and without human exposure to ionizing radiation. Vet J 2021; 276: 105745
- Paster ER, LaFond E, Biery DN. et al. Estimates of prevalence of hip dysplasia in Golden Retrievers and Rottweilers and the influence of bias on published prevalence figures. J Am Vet Med Assoc 2005; 226 (03) 387-392
- Smith GK, Lawler DF, Biery DN. et al. Chronology of hip dysplasia development in a cohort of 48 Labrador retrievers followed for life. Vet Surg 2012; 41 (01) 20-33
- Verhoeven G, Coopman F, Duchateau L. et al. Interobserver agreement in the diagnosis of canine hip dysplasia using the standard ventrodorsal hip-extended radiographic method. J Small Anim Pract 2007; 48 (07) 387-393
- Verhoeven GE, Coopman F, Duchateau L. et al. Interobserver agreement on the assessability of standard ventrodorsal hip-extended radiographs and its effect on agreement in the diagnosis of canine hip dysplasia and on routine FCI scoring. Vet Radiol Ultrasound 2009; 50 (03) 259-263
- Smith GK, Biery DN, Gregor TP. New concepts of coxofemoral joint stability and the development of a clinical stress-radiographic method for quantitating hip joint laxity in the dog. J Am Vet Med Assoc 1990; 196 (01) 59-70
- Klever J, Bruhschwein A, Wagner S. et al. Comparison of Reliability of Norberg Angle and Distraction Index as Measurements for Hip Laxity in Dogs. Vet Comp Orthop Traumatol 2020; 33 (04) 274-278
- Taroni M, Genevois JP, Viguier E. et al. Evolution of Radiographic Parameters of Canine Passive Hip Laxity at 4, 6 and 12 months: A Study of 306 Dogs. Vet Comp Orthop Traumatol 2018; 31 (05) 321-326
- Powers MY, Karbe GT, Gregor TP. et al. Evaluation of the relationship between Orthopedic Foundation for Animalsʼ hip joint scores and PennHIP distraction index values in dogs. J Am Vet Med Assoc 2010; 237 (05) 532-541
- Smith GK, Gregor TP, Rhodes WH, Biery DN. Coxofemoral joint laxity from distraction radiography and its contemporaneous and prospective correlation with laxity, subjective score, and evidence of degenerative joint disease from conventional hip-extended radiography in dogs. Am J Vet Res 1993; 54 (07) 1021-1042
- Smith GK, Hill CM, Gregor TP, Olson K. Reliability of the hip distraction index in two-month-old German shepherd dogs. J Am Vet Med Assoc 1998; 212 (10) 1560-1563
- Ginja MM, Ferreira AJ, Silvestre M. et al. Repeatability and reproducibility of distraction indices in PennHIP examinations of the hip joint in dogs. Acta Vet Hung 2006; 54 (03) 387-392



