Inhalt

Lymphatische Neoplasien beim Kaninchen
Neben Karzinomen sind Lymphome und andere neoplastische Erkrankungen des Lymphgewebes die häufigsten Tumoren, die beim Kaninchen auftreten. Besonders bei jungen Tieren wird eine Neoplasie oft unterdiagnostiziert und eine genaue Diagnosestellung kann herausfordernd sein. Lymphome können Patienten jeden Alters betreffen, allerdings sind die Patienten zum Zeitpunkt der Diagnose häufig unter 2 Jahre alt, das heißt, es ist eine der häufigsten Tumorarten bei Jungtieren [1].
Beim Kaninchen gibt es mehrere Lymphom-Subtypen mit einer höheren Prävalenz von großzelligen B-Zell-Lymphomen. In der Literatur wurden nur gelegentlich zu Lymphomen bei Kaninchen Fallberichte dokumentiert und wenige Fälle von lymphatischer Neoplasie beim Kaninchen vor den 1960er Jahren publiziert [1], [2].
Definition
Das Lymphom ist ein bösartiger Tumor des lymphatischen Systems bzw. der lymphatischen Organe. Lymphozyten sind an der Immunabwehr beteiligt und bewegen sich in Blut- und Lymphgefäßen durch den ganzen Körper. Lymphoblasten als Vorläuferstadium der Lymphozyten kommen physiologischer Weise nur im Knochenmark vor.
Bei neoplastischen Veränderungen des lymphatischen Systems werden Lymphoblasten auch im peripheren Blut bzw. in Organen gefunden.
Beim Kaninchen sind lymphoide Malignome, einschließlich Lymphome und lymphatische Leukämie die zweithäufigste Art der Neoplasie. Es besteht eine Rasseprädisposition für Lymphome bei weißen Neuseeland-Kaninchen, englischen Kaninchen, japanischen weißen Kaninchen, niederländischen Zwergkaninchen und Wildkaninchen [3], [4], [5].
Klassifikation und Stadien
Die Klassifizierung von Lymphomen kann nach mehreren Kriterien durchgeführt werden:
- Nach anatomischer Lokalisierung: Lymphome können lokalisiert in einzelnen Organen auftreten oder sich multizentrisch darstellen, wenn mehrere Organe gleichzeitig betroffen sind.
- Nach ihrem Aufbau: Hier kann man zwischen diffusen und knotigen Formen unterscheiden.
- Nach dem Grad der Differenzierung: Es gibt schlecht bzw. gut differenzierte Lymphome.
- Nach Zytomorphologie und Immunphänotyp: Hierbei werden B- und T-Zell-Lymphome unterschieden.
Beim Kaninchen wurden sowohl B-Zell- als auch T-Zell-Lymphome in fast allen Organen gefunden, einschließlich der Lymphknoten, der Milz und der Leber, im gastrointestinalen Lymphgewebe, den Nieren, der Haut, dem Auge und der Thymusdrüse. Am häufigsten mit multizentrischen Formen des Lymphoms betroffen sind die Leber, die Milz, der Magen-Darm-Trakt und die Lymphknoten [6].
Zusätzlich zur bereits aufgeführten Klassifizierung können Lymphome je nach ihrer Ausbreitung im Körper in verschiedene Stadien eingeteilt werden:
- Stadium 1: nur ein Lymphknoten ist betroffen.
- Stadium 2: mehrere Lymphknoten sind betroffen, nur die Milz oder nur die Leber sind betroffen.
- Stadium 3: Mehrere Lymphknoten, inklusive Milz und Leber sind betroffen.
- Stadium 4: Es liegt eine multizentrische Lokalisation ohne Knochenmarkbeteiligung vor.
- Stadium 5: Alle oben genannten Organe und das Knochenmark sind betroffen.
Klinik
Die klinische Manifestation von Lymphomen beim Kaninchen sind unterschiedlich und hängen im Allgemeinen mit dem betroffenen Organsystem zusammen. Klinische Symptome sind in der Regel unspezifisch, wie Anorexie, Lethargie und Gewichtsverlust. Zu den Befunden der körperlichen Untersuchung bei Kaninchen, bei denen ein Lymphom diagnostiziert wurde, können periphere Lymphadenopathie und/oder eine vergrößerte Leber, Milz oder Nieren gehören.
Beim kutanen Lymphom können dermatologische Läsionen mit primären Effloreszenzen wie Knötchen oder Plaques auftreten, die sich schnell zu Geschwüren, Krusten, Erythemen oder Alopezien entwickeln. Unabhängig von der vorliegenden Symptomatik ist das Lymphom bei Kaninchen zum Zeitpunkt der Diagnose häufig disseminiert und die Patienten befinden sich in Stadien 4 und 5 [6] – [9].
Ätiologie
Die Ursache der lymphoretikulären Neoplasie bei Kaninchen ist multifaktoriell und noch unbekannt. Krankheit und Pathogenese sind beim Kaninchen durch experimentell induzierte Lymphatische Neoplasie gut beschrieben, allerdings gibt es nur wenige Studien bezüglich Ursachen bei spontanen Erkrankungen. Sowohl eine genetische als auch eine onkogene Ursache wurde als Auslöser bei Kaninchen vermutet [6].
Der Fallbericht
Ein 1,5-jähriges, männlich-kastriertes Zwergkaninchen wurde aufgrund von Apathie und Inappetenz in der Klinik vorgestellt.
Dieser Inhalt unterliegt den Bestimmungen gemäß Heilmittelwerbegesetz (HWG) und darf nur berechtigten Personen zugänglich gemacht werden. Bitte loggen Sie sich ein, um diesen Inhalt zu sehen.
Der Besitzer berichtete, dass das Kaninchen seit 3 Tagen weniger fraß und ein ruhiges Verhalten zeigte. Das Allgemeinbefinden des Patienten war ungestört und er zeigte bei der Adspektion kein untypisches Verhalten. Der Ernährungszustand und der Pflegezustand waren optimal. Die ophthalmologische Untersuchung ergab keine Auffälligkeiten. Die Maulschleimhäute waren rosa und feucht, mit einer normalen Kapillarfüllungszeit, und die innere Körpertemperatur lag bei 39,3 °C.
Spezielle Untersuchungen
Die Adspektion der Maulhöhle und der Zähne war unauffällig, die Mandibularbögen waren glatt, es wurden keine Zahnspitzen oder andere pathologische Veränderungen festgestellt. Die tastbaren Lymphknoten (submandibuläre und preskapuläre) wiesen eine geringgradige Vergrößerung auf, die inguinalen und poplitealen Lymphknoten waren mittelgradig vergrößert. Die Herzfrequenz lag über 250 Schlägen/min, ohne Herzgeräusche, und die Lunge war auskultatorisch unauffällig.
Die abdominale Palpation zeigte eine mittelgradige Dolenz und es konnten im kaudalen Abdomen mehrere prominente Strukturen festgestellt werden. Die Harnblase war geringgradig gefüllt und der Ano-Genitalbereich war trocken und ohne Hinweise auf eine Veränderung der Kotkonsistenz.
Diagnostik
Zu den erforderlichen diagnostischen Verfahren zur Abklärung der Befunde aus der klinischen Untersuchung gehören in diesem Fall Blutentnahme mit Blutbild und biochemischer Untersuchung, bildgebende Untersuchungen wie Röntgen und Sonografie sowie zytologische und histopathologische Untersuchungen der betroffenen Strukturen. Hierbei kann das zytologische Ergebnis einer Feinnadelaspiration des veränderten Gewebes in vielen Fällen für eine endgültige Diagnose ausreichend sein [10].
Labor
Der Patient wurde stationär aufgenommen und es wurde durch einen Venenkatheter (Vasofix Braunüle, 0,70 × 19 mm, G24) in der rechten Ohrrandvene Blut entnommen.
Dieser Inhalt unterliegt den Bestimmungen gemäß Heilmittelwerbegesetz (HWG) und darf nur berechtigten Personen zugänglich gemacht werden. Bitte loggen Sie sich ein, um diesen Inhalt zu sehen.
Die Untersuchung des Blutbildes ergab eine aregenerative Anämie mit folgenden Werten:
- Hämatokrit: 17,3% (Referenzintervall: 31,3 – 43,3%)
- Erythrozyten: 2,5 M/µmol (Referenzintervall: 4,5 – 6,9 M/µmol) ohne Retikulozytose
- Leukozytose: 33,47 M/µL (Referenzintervall: 4,1 – 10,8 M/µL)
- Lymphozytose: 24,2 M/µL (Referenzintervall: 0,5 – 6,5 M/µL)
- Monozytose: 17,3 M/µL (Referenzintervall: 0 – 3,7 M/µL)
Die Leukozytose, Lymphozytose und Monozytose wiesen auf ein entzündliches Geschehen hin.
Blutausstrich und Blutchemie
Ein Blutausstrich mittels Diff-Quick zeigte eine mittlere Zahl Lymphoblasten, die sich als große, unreife, atypische Lymphozyten mit Kernen der Größe von etwa 2 – 4 Erythrozyten im Durchmesser und mehreren hervorstehenden Nukleolen darstellten. Das Zytoplasma war dunkelblau und zeigte ein hohes Kern-/Zytoplasma-Verhältnis. Diese Zellen wurden als atypische lymphatische Zellen diagnostiziert.
Die blutchemische Untersuchung ergab eine leichte Hypoglykämie mit 94,2 mg/dl (Referenzintervall: 109 – 161 mg/dl), eine Hyperkalzämie mit 22,9 mg/dl (Referenzintervall: 7,6 – 12,2 mg/dl), eine mäßige Hypoproteinämie mit 4,0 g/dl (Referenzintervall: 6,1 – 7,7 g/dl), eine leichte Hypercholesterinämie mit 69,3 mg/dl (Referenzintervall: 6 – 65 mg/dl), eine erhöhte Kreatinkinase-Aktivität mit 302,0 U/L (Referenzintervall: 23 – 247 U/L) und eine leicht erhöhte Aspartat-Aminotransferase-Aktivität mit 105,7 U/L (Referenzintervall: 48 – 96 U/L).
Röntgenuntersuchung
Es wurden am unsedierten Patienten jeweils Röntgenaufnahmen in latero-lateraler und ventro-dorsaler Projektion angefertigt, dabei stellte sich der Magen-Darm-Trakt inhomogen und mit kleinen Luftblasen durchsetzt dar. Der Magen zeigte einen geringgradigen Füllungsstand ohne Gasansammlung; sowohl Pylorus als auch Dünndarm wiesen keine pathologischen Veränderungen auf. Das Zäkum war hochgradig dilatiert und im linken Abdomen positioniert. Leber, Milz und Nieren lagen in ihrer normalen anatomischen Position und waren ohne besonderen Befund.
An der linken Seite des Inguinalbereichs wurde eine hypoechogene, runde Struktur mit ca. 1,5 × 2 cm gefunden, ein eindeutiger Hinweis für eine Magen-Darm-Obstruktion bestand nicht ([Abb. 1]). Anhand des Röntgenbefundes wurde eine Stase bzw. Hypomotilität des Zäkums vermutet. Wichtige Differenzialdiagnosen bei diesem Befund sind Dysbiose und mukoide Enteropathie. Der Thoraxbereich zeigte keine Auffälligkeiten.

Abdominaler Ultraschall
Bei der Ultraschalluntersuchung des wachen Patienten in Rückenlage mit einem linearen 12 MHZ Schallkopf wurde eine generalisierte Vergrößerung des mesenterialen Lymphknotens festgestellt ([Abb. 2] und [3]). Die Darmschlingen zeigten eine gute Peristaltik mit einer fokalen Verdickung des Dünndarms und Zäkums. Kaudal der leicht gefüllten Harnblase wurde eine geringgradige Menge freie Flüssigkeit festgestellt. Beide Nieren wiesen eine gute Abgrenzung zwischen Kortex und Medulla auf. Die Milz zeigte eine mittelgradige Vergrößerung und das Parenchym war mit multiplen rundförmigen und hypoechogenen Herden versetzt, ca. 1x1 cm im Durchmesser. Die Leber stellte sich geringgradig vergrößert dar und zeigte abgerundete Leberlappenspitzen.


Auch im Ultraschall wurde im Inguinalbereich eine hypoechogene, rundförmige Struktur mit ca. 1,5 × 2 cm Durchmesser festgestellt und als Lymphknoten klassifiziert. Der Patient wurde daraufhin mit Alfaxan Multidose (Fa. Jurox) in einer Dosierung von 4 mg/kg i. v. sediert und es wurden Feinnadelaspirationen des Lymphknotens sowie von Milz, Leber und dem mesenterialen Lymphknoten durchgeführt.
Zytologie
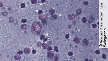
Für die Feinnadelaspiration wurde nach Rasur und Desinfektion der Punktionsstellen eine ultraschallgestützte Punktion der beschriebenen Organe durchgeführt. Dabei wurde kein Ultraschall-Gel benutzt, um bei der zytologischen Untersuchung Artefakte zu vermeiden. Pro Organ wurden vier zytologische Präparate angefertigt, mit Diff-Quick angefärbt und mit Immersionsöl bei 100-facher Vergrößerung untersucht.
Alle zytologischen Präparate bestanden aus einer relativ monomorphen Population großer, unreif erscheinender Lymphozyten, die ein hohes Kern-zu-Zytoplasma-Verhältnis aufwiesen. Die Kerne hatten einen Durchmesser von 12 – 24 μm mit unterschiedlich verklumpten bis fein gepunktetem Chromatin, 1 – 4 unterschiedlich hervorstehenden Nukleolen und einem durchgehenden Rand aus mittel- bis tiefblauem Zytoplasma ([Abb. 4], [5] und [6]).



In allen Aspiraten wurden vermehrt mitotische Figuren festgestellt. Diese neoplastischen Lymphozyten wurden als deutliche Hinweise auf eine ausgeprägte leukämische Phase eines hochgradigen Lymphoms interpretiert. Diese Interpretation und der endgültige Befund wurden zusätzlich von einem externen Fachlabor bestätigt.
Therapie und Verlauf
In der Fachliteratur liegen nur wenige Informationen zur Behandlung von Kaninchen mit einer lymphoproliferativen Erkrankung vor, wobei es sich bei diesen Publikationen oft um Protokolle handelt, die auf Schemata basieren, die bei anderen Kleintieren verwendet werden. In vielen Fällen ist die Langzeitprognose für die Behandlung von Lymphomen und anderen Lymphom-Erkrankungen schlecht [10].
Stationäre Behandlung
Dieser Inhalt unterliegt den Bestimmungen gemäß Heilmittelwerbegesetz (HWG) und darf nur berechtigten Personen zugänglich gemacht werden. Bitte loggen Sie sich ein, um diesen Inhalt zu sehen.
Am zweiten Tag hat sich der Allgemeinzustand deutlich verbessert und das Tier zeigte eine selbstständige Futteraufnahme und stabilen Kotabsatz.
Verlauf
Dieser Inhalt unterliegt den Bestimmungen gemäß Heilmittelwerbegesetz (HWG) und darf nur berechtigten Personen zugänglich gemacht werden. Bitte loggen Sie sich ein, um diesen Inhalt zu sehen.
Nach zehn Tagen wurde der Patient erneut vorgestellt und eine Blutuntersuchung durchgeführt. Die Blutergebnisse zeigten eine Normalisierung des Hämatokrits mit Werten, die bei 35,1% lagen (Referenzintervall: 31,3 – 43,3%). Der Allgemeinzustand des Kaninchens hat sich deutlich verbessert und die klinische Untersuchung zeigte eine deutliche Abnahme der Größe der tastbaren Lymphknoten. Eine Kontrollsonografie wurde durchgeführt und ergab eine deutliche Verkleinerung des mesenterialen Lymphknotens und des inguinalen Lymphknotens. Der Patient wurde weiterhin regelmäßig zur klinischen Untersuchung vorgestellt und es wurde jeweils eine Blutuntersuchung durchgeführt. Dabei zeigte sich der Patient stabil und mit positiver Reaktion auf die Therapie.
Therapiemöglichkeiten
Obwohl in experimentellen Studien viele Informationen zu chemotherapeutischen Mitteln bei Kaninchen veröffentlicht wurden, wurden nur wenige Berichte über den Einsatz einer Chemotherapie in klinischen Fällen von lymphoproliferativer Neoplasie beschrieben. Viele Informationen über die Therapie sind anekdotisch bzw. experimentell.
Dieser Inhalt unterliegt den Bestimmungen gemäß Heilmittelwerbegesetz (HWG) und darf nur berechtigten Personen zugänglich gemacht werden. Bitte loggen Sie sich ein, um diesen Inhalt zu sehen.
Diskussion
In dem vorliegenden Fallbericht wurde ein Kaninchen mit Inappetenz und reduziertem Allgemeinzustand vorgestellt, bei dem nach weiteren Untersuchungen ein Lymphom diagnostiziert wurde. Da diese Krankheit nicht heilbar ist, kann man therapeutisch lediglich das Leben des Patienten verlängern und die Lebensqualität so lange wie möglich erhalten.
Bei dem genannten Patienten wurden atypische Lymphozyten mit multiplen atypischen Mitosen im Blutausstrich und in zytologischen Präparaten identifiziert und als wahrscheinlicher Beweis für die leukämische Phase des Lymphoms interpretiert. Unser Patient hatte zusätzlich Anämie und Leukozytose; gleichzeitige Anämie kommt bei Tieren mit Lymphomen häufig vor und wurde bei anderen Tieren auch berichtet. Ein häufiger paraneoplastischer Befund bei Hunden und Katzen mit Lymphomen ist Hyperkalzämie. Dies wurde jedoch auch bei Kaninchen festgestellt, bei denen eine Plasma-Biochemie durchgeführt wurde. Die Ursachen einer malignen Hyperkalzämie sind vielfältig, es werden jedoch mehrere Mechanismen vermutet.
Ätiologie
In der Literatur existieren mehrere Fälle von natürlich vorkommenden Lymphomen bei Kaninchen aus einer Zuchtfarm. So wurde z. B. beschrieben, dass die Krankheit mit einem einzelnen autosomal-rezessiven Gen verbunden ist, das bei Drahthaar-Kaninchen nachgewiesen wurde. Betroffene Kaninchen sterben typischerweise im Alter von 5 – 13 Monaten, meist an einem generalisierten Lymphom, das viszerale Organe und Lymphknoten betrifft. Es wurde vermutet, dass generalisierte Lymphome bei Kaninchen mit der vertikalen Übertragung eines onkogenen Virus vereinbar sind, wie sie beim felinen Leukämievirus oder dem murinen C-Typ-Retrovirus auftreten. Weiterhin wurden virusähnliche Partikel durch Elektronenmikroskopie in den Nieren eines 7 Monate alten weißen Neuseeland-Kaninchens mit generalisiertem Lymphom nachgewiesen; die Bedeutung dieser Partikel wurde jedoch nicht bestimmt.
Bisher konnte die Hypothese, dass ein onkogenes Virus an der Pathogenese von Lympherkrankungen bei Kaninchen beteiligt sein könnte, nicht bestätigt werden. Das multizentrische Lymphom (meist B-Zell-Lymphom) ist die häufigste Form der lymphoproliferativen Erkrankung beim Kaninchen und wurde bei allen Kaninchenrassen berichtet. Die Therapie des multizentrischen Lymphoms ist unterschiedlich und umfasst unter anderem eine orale Prednisolon-Gabe. Die Überlebenszeit mit der oralen Prednisolon-Therapie beträgt 30 Tage, und es wurden keine nachteiligen Auswirkungen dieser Therapien festgestellt.
Fazit
Lymphome beim Kaninchen werden in der Literatur zwar vereinzelt beschrieben, in der Alltagspraxis jedoch häufig wegen der unspezifischen Symptomatik übersehen. Mit Untersuchungsverfahren wie Bildgebung und zytologischen Untersuchungen lassen sich die Lymphome auch beim Kaninchen gut darstellen und anschließend mit einer oralen Prednison-Therapie behandeln. Diese verlängert allerdings lediglich das Leben des Patienten, eine Heilung ist ausgeschlossen und weitere, sinnvolle Therapieoptionen ohne starke Nebenwirkungen existieren derzeit nicht.
Der Originalbeitrag zum Nachlesen:
Puho H. "Das Lymphom beim Kaninchen – ein Überblick zur Erkrankung mit klinischem Fall" veterinär spiegel 2023; 33(04): 164-170 DOI: 10.1055/a-2203-4838
(IR)
- Quesenberry KE, Pinly AA, St-Vincent RS. Lymphoreticular Disorders, Thymoma and Other Neoplastic Diseases. St. Louis: Elsevier; 2020: 258-259
- Greene HSN, Strauss JS. Multiple primary tumors in rabbits. Cancer 1949; (02) 841-843
- Cloyd GG, Johnson GR. Lymphosarcoma with lymphoblastic leukemia in a New Zealand white rabbit. Lab Anim Sci 1978; 66-69
- Hayden DW. Generalized lymphosarcoma in a juvenile rabbit: a case report. Cornell Vet 1970; 60: 73-82
- Shibuya K, Tajima M, Kanai K. et al. Spontaneus lymphoma in a Japanese white rabbit. J Vet Med Sci 1999; 1327-1329
- Ubertini TR. Brief communication: Etiological study of a lymphosarcoma in a domestic rabbit J Natl Cancer Inst 1972; 1507 – 1511.
- Robertson JA, Sanchez-Migallon Guzman D, Willcox JL. et al. Clinical and pathological finding of rabbit with lymphoma in 16 cases (1996–2019). JAVMA 2020; 1-9
- Ishikawa M, Maeda H, Kondo H. et al. A case of lymphoma developing in the rabbit cecum. J Vet Med Sci 2007; 69: 1183-1185
- Heatley JJ, Smith AN. Spontaneous neoplasms of lagomorphs. Vet Clin North Am Exot Anim Pract 2004; 7: 561-577
- Gupta BN. Lymphosarcoma in a rabbit. Am J Vet Res 1976; 37: 841-843
- Tinkey PT, Uthamanthil RK, Weisbroth SH. Rabbit neoplasia. In: The Laboratory Rabbit, Guinea Pig, Hamster, and Other Rodents. St. Louis: Elsevier; 2012: 447-501
- Donnelly TM. Rabbit with Cutaneous Lymphoma: Chemotherapy Options and Drugs Doses. VIN Vet-to-Vet Message Boards; 2014



