Inhalt

Die Mukozele (MZ) ist eine beim Hund immer häufiger diagnostizierte Erkrankung der Gallenblase (GB) [1], [2]. Dies liegt nicht unbedingt an einem häufigeren Auftreten, sondern eher an der häufiger und kompetenter durchgeführten abdominalen sonografischen Untersuchung.
Das Auftreten einer MZ ist bei verschiedensten Hunderassen beschrieben, jedoch sind Shelties, Cocker Spaniel und Zwergschnauzer überrepräsentiert [3], eine Geschlechtsprädisposition liegt nicht vor. Bei Katzen ist die MZ dagegen eine Rarität [4], [5].
Laut Definition ist die MZ eine Schleimansammlung in einem Organ, die durch eine Abflussstörung entsteht . Während beim Menschen in der Regel eine Obstruktion der Gallengänge (GG) durch Neoplasie oder Cholelith als Ursache der MZ vorliegt, ist diese Entstehung beim Hund nur sehr selten.
Die genaue Genese der MZ ist beim Hund bislang noch nicht endgültig geklärt. Zwar kann eine MZ gemeinsam mit einer Cholezystitis auftreten, sodass diese zunächst als auslösende Ursache diskutiert wurde [6]. Doch zeigt sich in neueren Studien mittels histologischer Untersuchung überwiegend eine nichtentzündliche, zystische Mukosahypertrophie der GB-Wand [1], [2], [6], [7]. Eine bakterielle Infektion liegt dagegen nur bei einem geringen Anteil der publizierten Fälle vor [2], [8].
Sonografische Diagnostik
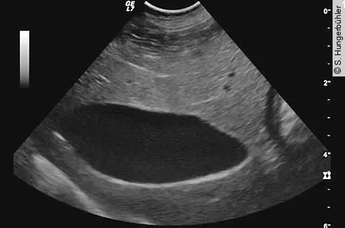
Bei der Sonografie liegt die GB rechts der Medianen und ist in der Regel mittels subkostaler Anschallung gut erreichbar. Im sonografischen Normalbefund stellt sich die GB in der Längsachse als birnenförmige und im Querschnitt als runde anechogene dünnwandige Struktur dar (Abb. 1). Bei tiefbrüstigen Patienten, kleiner Leber und hochdorsaler Lage der GB bedarf es vereinzelt der transinterkostalen Anlotung. Aufgrund der geringen Auflagefläche und des Frequenzspektrums im Bereich um 8–12 MHz sind daher Mikrokonvexsonden besonders für die Untersuchung geeignet.

Detailbefunde
Nach kaudal geht die GB in den Ductus zysticus über. Dessen Diameter beträgt < 3 mm, verjüngt sich im weiteren Verlauf und verstreicht dann in der Regel [17]. Im physiologischen Zustand sind der weiter kaudal gelegene Anteil des Ductus zysticus, der Ductus choledochus, die Duodenalpapille sowie die intra- und extrahepatischen Gallengänge beim Hund im Gegensatz zur Katze körpergrößenabhängig nicht oder nur eingeschränkt sonografisch darstellbar. Die Wand der GB stellt sich als eine dünne, glatte, echogene Linie, die füllungsabhängig und körpergewichtsabhängig eine Dicke von 1–3 mm aufzeigt, dar [18], [19]. Daher wird der Bereich von 1–3 mm als verdächtiger Graubereich und ab > 3 mm als verdickt definiert.
Bei der sonografischen Untersuchung ist darauf zu achten, Messungen nicht im schrägen Wandverlauf durchzuführen, da ansonsten falsch hohe Werte gemessen werden können. Auch bei Messungen im Bereich von Schallartefakten wie zum Beispiel Reverberationen (Wiederholungsechos) und bei Aszites besteht das Risiko der „Pseudohypertrophie“ [20].
Eine Septierung der GB bis hin zur kompletten Zweiteilung ist bei der Katze als seltene, angeborene Missbildung möglich [21], [22]. Beim Hund wurde diese Anomalie bislang nicht beschrieben, jedoch kann in seltenen Fällen eine Atresie der GB vorkommen [23], [24], [25]. Das Lumen der GB sollte anechogen sein, allerdings kann beim Hund auch echogenes Material ohne distalen Schallschatten im Lumen auftreten, der sogenannte „Sludge“.
Das GB-Volumen kann aus der Formel V (ml) = 0,52 × Länge (cm) × Breite (cm) × Höhe (cm) anhand von Diametermessungen in Längsachse und Querschnitt berechnet werden [13]. Nach 12 h Futterkarenz wurde ein physiologisches Volumen von ≤ 1,0 ml/kg beschrieben [26]. Die GB-Entleerung erfolgt nach Nahrungsaufnahme, ist individuell allerdings unterschiedlich stark ausgeprägt.
Vorsicht Verwechslung: Mukozele vs. Sludge!
Es ist wichtig, eine Sludgebildung nicht mit einer MZ zu verwechseln. Wenn man die GB schräg anschallt, kann randständig ein Schichtungsartefakt auftreten, das sich ähnlich wie Sludge darstellt. Daher muss ein solcher Befund stets in der 2. Ebene verifiziert werden.
Bei sehr korpuskulärem Sludge kann dieser annähernd gewebig erscheinen. In diesen Fällen sollte der Patient zusätzlich im Stehen untersucht werden. Der vorher dorsal gelegene Sludge kann dann ventral dargestellt und somit sicher als beweglich identifiziert werden. Es erfolgt allerdings überwiegend keine sich frei bewegende Flotation, sondern je nach Eindickungsgrad der Galle sind zähe Schlieren mit an der GB-Wand anhaftenden Resten darstellbar.
Bei stark konzentrierter Galle können auch hyperechogene Konglomerate aus Calciumbilirubinat und Cholesterol in der muzinreichen Galle mit individuell unterschiedlich stark ausgeprägtem distalem Schallschatten entstehen. Sludge wird beim Hund prinzipiell als benigne beurteilt und das sonografische Bild bei gesunden Hunden ändert sich in der Regel im Laufe eines Jahres nicht [27].
Verschiedene Erkrankungen (z. B. Hypothyreose, s. o.) stehen im Zusammenhang mit einer reduzierten GB-Entleerung und somit mit einem erhöhten Auftreten von Sludge. Sludge prädisponiert zusätzlich die Bildung von Cholelithen und begünstigt die Progression einer MZ. Differenzialdiagnostisch erschwerend kommt hinzu, dass entzündliches Sediment sonografisch nicht von Sludge unterschieden werden kann.
Insbesondere bei Katzen muss demnach stets kritisch abgewägt werden, ob das echoarme Material im Lumen der GB wirklich nur „Sludge“ ist. Diese Überlegung basiert auf der Tatsache, dass das Vorkommen von Sludge bei der Katze deutlich seltener ist als beim Hund, die Inzidenz einer Cholezystitis/Cholangitis dagegen viel häufiger.
Stadien der Mukozele erkennen
Frühstadium
In der Literatur werden verschiedene Stadien der MZ beschrieben. Zu Beginn liegt sonografisch eine verdickte Mukosa entsprechend der pathohistologisch beschriebenen Hypertrophie vor. Die ansonsten dünne hyperechogene Linie der GB-Wand zeigt bei diesen Patienten eine raue, echoarme lumenwärts gelegene Schicht. Bei guter Bildauflösung können in der verdickten Mukosa feine echogene Lamellen erkannt werden (Abb. 2).
Im Lumen befindet sich häufig echogener Sludge, der wenig oder nicht mobil ist und der verdickten, echoarmen Mukosa aufliegt. Die GB ist im Frühstadium einer Mukozelenbildung unterschiedlich stark gefüllt. Im Verlauf nimmt die Füllung aufgrund der verminderten Motilität progressiv zu. So zeigten Hunde mit MZ 60 und 120 min nach Fütterung eine im Vergleich zu gesunden Hunden signifikant verminderte Ejektionsfraktion [13].

Stern-Stadium
Aus therapeutischer Sicht ist vor allem die Identifikation der Endstadien einer MZ (Stern- und Kiwi-Stadium) aufgrund der Indikation einer Cholezystektomie wichtig. Im Stern-Stadium liegt der echogene Sludge immobil im Zentrum der GB mit sternförmigen Ausläufern zur verdickten GB-Wand hin (Abb. 3). In diesem Stadium ist meist keine deutliche Lamellenstruktur der Wand vorhanden, sondern eine diffus-inhomogene Verdickung.

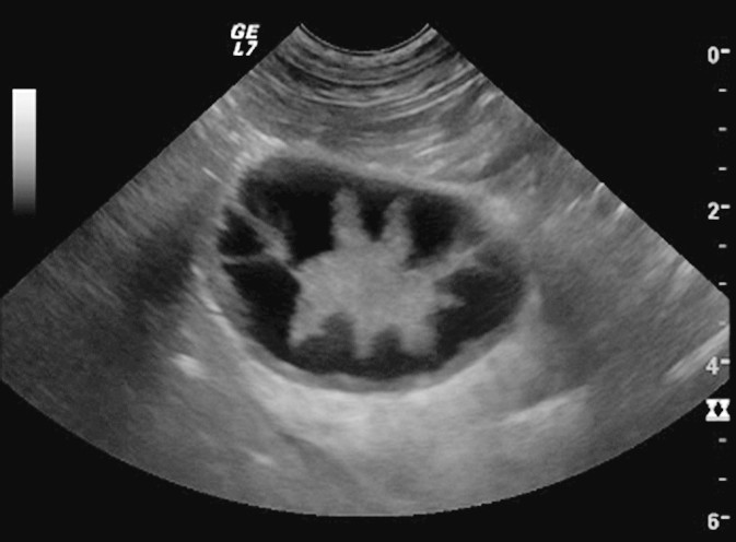
Kiwi-Stadium
Das Kiwi-Stadium (Abb. 4) ist dagegen vor allem durch die hochgradig verdickte und auffällig lamellierte Wand und zentral gelegenem echogenem Sludge charakterisiert [8]. Das Stern- und Kiwi-Stadium sind verschiedene, voneinander unabhängige Manifestationen einer MZ.
Bei der Untersuchung muss zudem auf Anzeichen einer Peritonitis aufgrund von pericholezystärer Entzündung oder GB-Ruptur geachtet werden, die sich in hyperechogenem Fettgewebe und fokal bis generalisiertem Aszites äußern können. Es besteht eine sehr gute Übereinstimmung zwischen sonografischen Befunden und dem OP-Situs, nur in Einzelfällen wurde eine GB-Ruptur sonografisch nicht erkannt [2]. Interessant ist, dass auch bei einzelnen Hunden mit MZ ohne ausgeprägte Wandverdickung Rupturen beschrieben wurden [28].
Des Weiteren sind die GG hinsichtlich einer Cholangitis, einer umgebenden Peritonitis und insbesondere einer Obstruktion aufgrund von Neoplasie oder Cholelith zu beurteilen. Diese Veränderungen sind als prognostisch negativ zu werten.

Fazit
Die Diagnose einer MZ erfolgt am besten mittels sonografischer Untersuchung. Die Differenzierung von Frühstadien und den Endstadien mit Stern- oder Kiwi-Stadium ist zur Therapieplanung möglich und wichtig. Mittels Sonografie können Komplikationen einer MZ wie GB-Ruptur, Peritonitis und GG-Obstruktion diagnostiziert werden.
Eine frühzeitige Behandlung einer MZ bietet die Chance, dass eine Cholezystektomie vermieden werden kann. Für die konservative Therapie gibt es derzeit keine Placebo-kontrollierten, optimal Evidenz-basierte Daten, aber die medikamentöse Therapie und regelmäßige Kontrolle erscheint aufgrund des geringen Nebenwirkungspotenzials, überschaubarer Kosten, der potenziellen Verringerung des Risikos einer lebensbedrohlichen und kostenintensiven Operation viele Vorteile zu bieten.
Vorschlag für Literatur:
Penninck D, dʼAnjou MA. Atlas of Small Animal Ultrasound. Wiley-Blackwell 2015
- Aguirre AL, Center SA, Randolph JF. et al. Gallbladder disease in shetland sheepdogs: 38 cases (1995–2005). J Am Vet Med Assoc 2007; 231 (01) 79-88
- Pike FS, Berg J, King NW. et al. Gallbladder mucocele in dogs: 30 cases (2000–2002). J Am Vet Med Assoc 2004; 224 (10) 1615-1622
- Mesich MLL, Mayhew PD, Paek M. et al. Gall bladder mucoceles and their association with endocrinopathies in dogs: A retrospective case‐control study. J Small Anim Pract 2009; 50 (12) 630-635
- Bennett SL, Milne M, Slocombe RF. et al. Gallbladder mucocoele and concurrent hepatic lipidosis in a cat. Aust Vet J 2007; 85 (10) 397-400
- Woods KS, Brisson BA, Defarges AM. et al. Congenital duplex gallbladder and biliary mucocele associated with partial hepatic cholestasis and cholelithiasis in a cat. Can Vet J 2012; 53 (03) 269-273
- Center SA. Diseases of the gallbladder and biliary tree. Vet Clin North Am Small Anim Pract 2009; 39 (03) 543-598
- Smalle TM, Cahalane AK, Koster LS. Gallbladder mucocoele: A review. J S Afr Vet Assoc 2015; 86 (01) 1318
- Besso JG, Wrigley RH, Gliatto JM. et al. Ultrasonographic appearance and clinical findings in 14 dogs with gallbladder mucocele. Vet Radiol Ultrasound 2000; 41 (03) 261-271
- Mealey KL, Minch JD, White SN. et al. An insertion mutation in abcb4 is associated with gallbladder mucocele formation in dogs. Comp Hepatol 2010; 9: 6
- Kutsunai M, Kanemoto H, Fukushima K. et al. The association between gall bladder mucoceles and hyperlipidaemia in dogs: A retrospective case control study. Vet Journal 2014; 199 (01) 76-79
- Mori N, Lee P, Muranaka S. et al. Predisposition for primary hyperlipidemia in miniature schnauzers and shetland sheepdogs as compared to other canine breeds. Res Vet Sci 2010; 88 (03) 394-399
- Kook PH, Schellenberg S, Rentsch KM. et al. Effects of iatrogenic hypercortisolism on gallbladder sludge formation and biochemical bile constituents in dogs. Vet Journal 2012; 191 (02) 225-230
- Tsukagoshi T, Ohno K, Tsukamoto A. et al. Decreased gallbladder emptying in dogs with biliary sludge or gallbladder mucocele. Vet Radiol Ultrasound 2012; 53 (01) 84-91
- Center SA. Interpretation of liver enzymes. Vet Clin North Am Small Anim Pract 2007; 37 (02) 297-333
- Malek S, Sinclair E, Hosgood G. et al. Clinical findings and prognostic factors for dogs undergoing cholecystectomy for gall bladder mucocele. Vet Surg 2013; 42 (04) 418-426
- Bonczynski JJ, Ludwig LL, Barton LJ. et al. Comparison of peritoneal fluid and peripheral blood ph, bicarbonate, glucose, and lactate concentration as a diagnostic tool for septic peritonitis in dogs and cats. Vet Surg 2003; 32 (02) 161-166
- Penninck D, dʼAnjou MA. Atlas of small animal ultrasonography. Wiley; 2015
- Spaulding KA. Ultrasound corner gallbladder wall thickness. Vet Radiol Ultrasound 1993; 34 (04) 270-272
- Brömel C, Barthez PY, Léveillé R. et al. Prevalence of gallbladder sludge in dogs as assessed by ultrasonography. Vet Radiol Ultrasound 1998; 39 (03) 206-221
- Hittmair KM, Vielgrader HD, Loupal G. Ultrasonographic evaluation of gallbladder wall thickness in cats. Vet Radiol Ultrasound 2001; 42 (02) 149-155
- Woods KS, Brisson BA, Defarges AM. Congenital duplex gallbladder and biliary mucocele associated with partial hepatic cholestasis and cholelithiasis in a cat. Can Vet J 2012; 53 (03) 269-273
- Moentk J, Biller DS. Bilobed gallbladder in a cat: Ultrasonographic appearance. Vet Radiol Ultrasound 1993; 34 (05) 354-356
- Thiel C, Steinbach S, Schmidt M. et al. Extrahepatic biliary atresia in a 4‐week‐old pug. Vet Surg 2015; 44 (01) 35-40
- Kamishina H, Katayama M, Okamura Y. et al. Gallbladder agenesis in a chihuahua. J Vet Med Sci 2010; 72 (07) 959-962
- Austin B, Tillson DM, Kuhnt LA. Gallbladder agenesis in a maltese dog. J Am Anim Hosp Assoc 2006; 42 (04) 308-311
- Ramstedt KL, Center SA, Randolph JF. et al. Changes in gallbladder volume in healthy dogs after food was withheld for 12 hours followed by ingestion of a meal or a meal containing erythromycin. Am J Vet Res 2008; 69 (05) 647-651DeMonaco SM, Grant DC, Larson MM. et al. Spontaneous course of biliary sludge over 12 months in dogs with ultrasonographically identified biliary sludge. J Vet Int Med 2016; 30 (03) 771-778
- Choi J, Kim A, Keh S. et al. Comparison between ultrasonographic and clinical findings in 43 dogs with gallbladder mucoceles. Vet Radiol Ultrasound 2014; 55 (02) 202-207
- Peters LM, Glanemann B, Garden OA. et al. Cytological findings of 140 bile samples from dogs and cats and associated clinical pathological data. J Vet Int Med 2016; 30 (01) 123-131
- Guess SC, Harkin KR, Biller DS. Anicteric gallbladder rupture in dogs: 5 cases (2007–2013). J Am Vet Med Assoc 2015; 247 (12) 1412-1414
- Mayhew ID, Mehler SJ, Radhakrishnan A. Laparoscopic cholecystectomy for management of uncomplicated gall bladder mucocele in six dogs. Vet Surg 2008; 37 (07) 625-630
- Norwich A. Gallbladder mucocele in a 12-year-old cocker spaniel. Can Vet J 2011; 52 (03) 319-321
- Walter R, Dunn ME, dʼAnjou M-AA. et al. Nonsurgical resolution of gallbladder mucocele in two dogs. J Am Vet Med Assoc 2008; 232 (11) 1688-1693



