
Die Katze leckt sich vermehrt die Bauchdecke, eventuell auch den Zwischenschenkelbereich, und ggf. auch den Unterarm. Die Haare sind kurz geleckt, fehlen ganz oder das Abdomen ist schon wund geleckt. Der Hauptverdacht lautet „Psychogene Alopezie“, laut einem Vortrag über Katzenerkrankungen. Meine Anmerkung, dass es auch andere Ursachen haben könnte, wurde dankend zur Kenntnis genommen. Am Ende des zitierten Vortrages wurden Psychopharmaka für diese Katzen empfohlen. Was ist das Leben doch einfach und erst die Diagnostik bei der Katze.
Aber so einfach wie in dem Vortrag ist das alltägliche Praxisleben leider nicht. Wenn eine Katze beginnt, sich das Abdomen zu lecken, so versucht sie Schmerzen „weg zu lecken“ ([Abb. 1]). Die Diagnose lautet also erst einmal Schmerz. Es wäre zu einfach zu sagen, es kann nur eine psychogene Alopezie sein. Was könnten die Ursachen für die Schmerzen sein?

Alopezie infolge Schmerzen bei der Katze
Ausstrahlende Schmerzen können entstehen durch:
Schmerzen in der Wirbelsäule, meist im Übergang Lendenwirbelsäule/Kreuzbein ([Abb. 2])

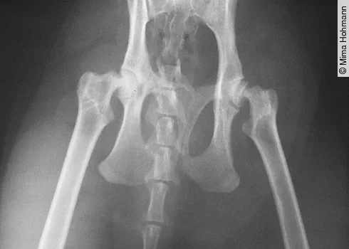
Schmerzen im Hüftgelenk oder den Hüftgelenken ([Abb. 4])
abdominale Schmerzen durch chronische Obstipation
chronische Zystitis durch Bakterien
chronische Zystitis durch Kristalle (Struvit- o. Oxalatkristalle)
Nierenerkrankungen durch Nierensteine
Cholezystitis durch Gallensteine
Schmerzen durch verstopfte Analdrüsen, die gerne vergessen werden bei der Katze
Wurmbefall, Milbenbefall
psychische „Schmerzen“ (Frust, Empörung, Zorn usw.)
eine (Schmerzen verursachende) Neoplasie

Was kann man tun? Man sollte eine ausführliche klinische Untersuchung durchführen mit Harnuntersuchung und eventuell auch einem Röntgenbild, wenn man bei der Untersuchung Schmerzen und/oder muskuläre Verspannungen an den Gelenken ([Abb. 3]), der Wirbelsäule oder im Abdomen feststellt. Dabei sollten die Gelenke auch passiv durchbewegt werden.

Osteoarthrose
Osteophytäre Erkrankungen der Gelenke und der Wirbelsäule werden bei der Katze oft unterschätzt. Prävalenz der Osteoarthrose bei der Katze, dabei sind am häufigsten betroffen:
- Ellenbogengelenk
- Hüfte
- Knie
- Schulter
- Carpus, Tarsus
Im Alter leiden über 50 % der Katzen unter Osteoarthrose (DVG-Tagung Berlin, November 2016). Hier einige Beispiele für die Osteoarthrose bei der Katze:
Schmerzen im Kniegelenk, der Wirbelsäule und der inneren Organe können bis zum zentralen Abdomen ausstrahlen.
Wie man sieht, sollte man eine Katze, die sich die Haare am Abdomen ableckt, auf alle Fälle röntgen. Der Vorteil des Röntgens: Man sieht nicht nur die Veränderungen an den Gelenken und der Wirbelsäule, sondern auch die Obstipation, Kristalle, Blasen-, Nieren- und Gallensteine, sondern auch Neoplasien, die ebenfalls ausstrahlende Schmerzen verursachen können.
Therapie der Osteoarthrose
Die Behandlung der Osteoarthrose bei der Katze kann mit unterschiedlichen Methoden erfolgen.
1. Mit dem homöopathischen Konstitutionsmittel. Dazu sind folgende Rubriken hilfreich:
Extremitäten – Schmerz – Hüfte
Extremitäten – Schmerz – Hüfte – Bewegung – agg.
Extremitäten – Entzündung – Hüfte – Hüftgelenke
Extremitäten – Schmerz – Knie
Extremitäten – Schmerz – Knie – Bewegung – agg.
Extremitäten – Entzündung – Knie
Extremitäten – Schmerz – Bewegung, bei – agg.
Extremitäten – Entzündung – Gelenke
Allgemeines – Entzündung – Gelenke, der
Extremitäten – Schwellung
Extremitäten – Schmerz – Ellbogen
Extremitäten – Schwellung – Ellbogen
Extremitäten – Entzündung – Ellbogen u. a.
Da die Rubriken aber sehr groß sind, ist eine weitere Eingrenzung des homöopathischen Mittels notwendig. Zu berücksichtigen sind das Verhalten und das Aussehen der Katze, die Modalitäten usw.
2. Mit homotoxikologischen Mitteln wie Zeel und Traumeel.
3. Physiotherapeutisch mit Lasertherapie, therapeutischem Ultraschall, Magnetfeldtherapie (solange die Katze Schmerzen hat, bleibt sie liegen. Ist sie schmerzfrei, will sie nicht mehr auf der Magnetfeldmatte liegen bleiben).
4. Mit Akupunktur.
5. Mit phytotherapeutischen Mitteln wie Boswellia, Harpagophytum, Urticaria, u. a. zum Beispiel Hagebuttenschalen. Sie haben einen sehr hohen Anteil an natürlichem Vitamin C, Vitamin A, B1und B2. Sie sind nicht nur hilfreich, Gelenksentzündungen zu lindern, sondern sie stärken auch das Immunsystem. Aus den getrockneten Hagebuttenschalen kann man einen vitaminreichen Aufguss herstellen, der wegen seines hohen Gehaltes an Pflanzensäuren und Pektiden leicht harntreibend und abführend wirkt. Er eignet sich daher für die unterstützende Therapie bei Blasen- und Nierenleiden und bei Erkältungskrankheiten. Verabreichung: einmal täglich etwa 0,5 g pro 5 kg Körpergewicht (ein gestrichener Teelöffel sind ca. 3 g). Hagebutten haben eine leicht abführende Wirkung, deshalb je nach Kotbeschaffenheit im Einzelfall die Dosis reduzieren.
6. Mit Fertigpräparaten wie Arthroregen (Saluvet GmbH, Bad Waldsee), Doloral (navalis® nutraceuticals GmbH, Filderstadt), Canosan (Boehringer Ingelheim Vetmedica GmbH, Ingelheim) usw.
Obstipation
Bei der Palpation des Abdomens fallen bei der chronischen Obstipation die vermehrte Füllung der Darmschlingen und die harten Kotballen auf ([Abb. 5]).

Besteht die Obstipation längere Zeit, versucht die Katze durch Belecken des Abdomens wieder Bewegung in den Darm zu bekommen und die bestehenden Schmerzen zu „entfernen“, was ihr aber leider nicht gelingt. Fragen an den Besitzer, wie der Kot der Katze aussieht, wie die Konsistenz des Kotes beschaffen ist und wie oft die Katze Kot absetzt, helfen bei der Behandlung. Aus meiner Erfahrung kann ich sagen, dass oft ein „Leber-Feuer“ vorliegt.
Das Leber-Feuer entsteht durch eine Leber-Qi-Stagnation und ist somit die wichtigste und häufigste Qi-Störung der Leber. Es gibt nur wenige pathologische Vorstufen einer Leber-Qi-Stagnation, da dieses Muster selbst gewöhnlich die Anfangsphase eines pathologischen Prozesses darstellt, der häufig von emotionalem Stress ausgeht und unter dem häufig Katzen leiden. Bei der Leber-Qi-Stagnation handelt es sich in der Regel um ein Fülle-Syndrom. Darüber sollten scheinbare Leere-Symptome wie z. B. Müdigkeit nicht hinwegtäuschen. Ursächlich für die Stagnation sind meist eine Unterdrückung von Emotionen wie Zorn, Wut, Enttäuschung, Ärger, Eifersucht, Überforderung, was zur Behinderung der Qi-Zirkulation führt. Umgekehrt ist ein beweglicher Leber-Qi-Fluss die Voraussetzung für einen harmonischen Fluss der Emotionen. Die Stagnationen sind das Resultat aus der Unterdrückung der Emotionen. Dies kann schließlich zu einer Ausbildung von Hitze kommen, welche wiederum die Körpersäfte konsumieren und so zu einer Verstärkung des Ungleichgewichtes führt. Ein übermäßiger Verzehr von fetten, thermisch heißen Nahrungsmitteln (z. B. Trockenfutter) kann auch zu einem Leber-Feuer führen. Eine Nieren-Schwäche kann auch eine sekundäre Leber-Qi-Stagnation verursachen, da das Nieren-Yin das Leber-Yin erzeugt.
Therapie der chronischen Obstipation
Die chronische Obstipation kann behandelt werden mit:
Futterwechsel, eventuell ist der Fleischanteil zu gering und die Ballaststoffe zu hoch. Das Leber-Feuer wird durch zu viel erhitzende Nahrungsmittel und eine ungesunde Ernährung geschürt. Am besten kein Trockenfutter mehr verfüttern und kühlende oder neutrale Nahrungsmittel nach der TCM verwenden, wie z. B. Gans, Krabben, Milchprodukte, Hering u. a.
Die Katze dazu zu bringen, mehr zu trinken (Trinkbrunnen, Thunfischwasser ins Trinkwasser geben lassen, Glas- oder Porzellanschale statt Metallschale fürs Trinkwasser verwenden, Kristalle ins Trinkwasser geben (Bergkristall, Amethyst und Rosenquarz), mehrere Trinkgefäße in der Wohnung verteilen).
Laktulosegaben (je nach Größe der Katze), Flohsamen (eine Messerspitze täglich).
Wenn die Ursache für die Obstipation Haarballen sind, die Katze regelmäßig kämmen. Ich wundere mich manchmal, dass die Katzenbesitzer auf so einfache Dinge nicht mehr von alleine kommen.
Ursachenbehandlung, wenn das Leber-Feuer die Ursache ist:
die Leber detonisieren mit phytotherapeutischen Mitteln, z. B. Plantahepar, Hepato K oder
Akupunktur oder
mit Homöopathika als Tiefpotenzen (Carduus marianus D 6, Flor de piedra D 6, Leptandra D 6, Berberis D 12, Chelidonum D 12, Nux vomica D 6 u. a.)
Im Rahmen der konstitutionellen Behandlung der Obstipation sind folgende Rubriken hilfreich:
Rektum – Obstipation – begleitet von – Leber; Beschwerden von
Rektum – Obstipation – chronisch
Rektum – Obstipation – entfernt werden; Stuhl muss mechanisch
Gemüt – Beschwerden durch – Enttäuschung
Gemüt – Beschwerden durch – Bestrafung
Gemüt – Beschwerden durch – Ehre, verletzte
Gemüt – Beschwerden durch – Eifersucht
Gemüt – Beschwerden durch – Erregung
Gemüt – Beschwerden durch – Kränkung, Demütigung
Gemüt – Beschwerden durch – Kummer
Die Behandlung kann auch mit homotoxikologischen Mitteln, wie z. B. Hepar comp. erfolgen.

Blasenbeschwerden
Auch bei Blasenschmerzen durch eine chronische Zystitis, Kristalle (Struvit- oder Oxalatkristalle [[Abb. 6]]) oder Blasensteine ([Abb. 7]) leckt sich die Katze das Abdomen. Ist der Blasen- oder Nierenbereich druck- und/oder schmerzempfindlich, sollte man eine Harnuntersuchung durchführen, ggf. auch einen abdominalen Ultraschall.

Nierensteine ([Abb. 8]) kommen bei der Katze nicht so häufig vor, müssen aber auch in Betracht gezogen werden, da auch sie ausstrahlende Schmerzen verursachen.

Behandlungsmöglichkeiten bei Harnkristallen
Infusion von 200 bis 300 ml NaCl-Lösung zur Durchspülung der Blase mit gleichzeitiger Gabe von Solidao viraurea C 200 oder C 1000 und Sabal serrulatum C 200 oder C 1000, je nach Gesamtzustand der Katze, 2 Tage hintereinander. Damit werden aus eigener Erfahrung die Kristalle sehr effektiv aus der Blase entfernt. Bei Blasensteinen kommt es auf die Größe der Steine an. Wenn sie zu groß sind, besteht die Gefahr, dass die Steine in der Harnröhre hängen bleiben! Bei eingeschränkter Herz- und Nierenfunktion ist die Infusionstherapie allerdings kontraindiziert.
Futterwechsel: Man kann konventionelles Katzenfutter verwenden, das harnansäuernde Substanzen enthält oder auf Barfen umsteigen. Bei ordentlich gebarften Katzen habe ich noch nie gesehen, dass sie unter Kristallen litten.
Harnansäuernde Pasten verwenden, so z. B. Urocid-Paste (CP-Pharma Handelsgesellschaft mbH, Burgdorf) oder Tabletten, die den Harn ansäuern, wenn die Katze Struvitkristalle hat. Wenn Oxalatkristalle vorliegen, sollte man konventionelles Katzenfutter verwenden, das den pH-Wert anhebt.
Homöopathische Behandlung bei Erkrankungen der Blase und Niere
Blasen- und Nierenerkrankungen lassen sich aber auch homöopathisch gut behandeln. Allerdings sind hier die Rubriken sehr groß und man muss sie weiter eingrenzen. Man sollte bei der Repertorisation auch auf das Aussehen und den Geruch des Harns eingehen. Bei der konstitutionellen Behandlung sind folgende Rubriken hilfreich:
Blase – Entzündung – chronisch
Nieren – Schmerz – Nierengegend – begleitet von
Urin – Sediment – Kristalle
Blase – Blasensteine
Urin – Sediment – Sand – Harngrieß
Nieren – Nierensteine
Allgemeines – Harnsäure – Diathese; harnsaure
Urin – Sediment – Phosphate
Urin – Sediment – Sand
Die Präparate der Firma vitOrgan Arzneimittel GmbH (Ostfildern) kann man auch bei Blasen- und Nierenerkrankungen einsetzen. So kann NeyDIL Nr. 7 und 27 bei einer chronischen Zystitis eingesetzt werden, sowie Neybronchin, welches die Blasenschleimhaut wieder zur Regeneration bringt. NeyDIL 34 enthält Mucosa vesicae urinariae (Harnblasenschleimhaut) und unterstützt die Abheilung bei einer Zystitis.
Man kann die Präparate als Injektionskur anwenden, aber da bei der Katze die Gefahr der Fibrosarkombildung besteht, empfehle ich eine Ampulle des gewünschten Präparates der Stärke II als orale Gabe zu verabreichen. Dazu werden je eine Ampulle des Präparates in eine 20 ml Flasche gefüllt und mit ⅛ Alkohol und ⅞ stillem Wasser aufgefüllt. Die Mischung potenzieren. Die Katze bekommt 2 × 5 Tropfen täglich bis zur Besserung der Beschwerden. Die Tropfen am besten auf einen Plastiklöffel geben, der dünn mit Leberwurst, Butter oder Joghurt bestrichen ist. Da freut sich auch die Katze auf die Medikamenteneingabe.
D-Mannose zur Therapie der chronischen bakteriellen Zystitis
D-Mannose kann auch bei der Therapie der chronischen Zystitis angewendet werden, wenn die Ursache für eine chronische Zystitis Bakterien sind. Die D-Mannose ist eine Zuckerart, die aber nicht wie der normale Haushaltszucker oder Glukose verstoffwechselt, sondern größtenteils unverändert mit dem Harn ausgeschieden wird. In der Blase bindet sich die D-Mannose an die Bakterien an und sorgt dafür, dass diese mit dem Harn ausgespült werden können. Im Gegensatz zu herkömmlichen Antibiotika-Therapien hat die Einnahme der D-Mannose keine Nebenwirkungen und beeinträchtigt die Darmflora nicht. Außerdem sollte man konsequent auf Zucker in jeglicher Form verzichten (außer D-Mannose), da ein zu hoher Zuckergehalt im Urin ebenfalls die Vermehrung von Bakterien fördern kann. Also weg vom Dosenfutter, das Glukose, Fruktose oder andere Zucker als Geschmacksverstärker enthält. Diese fördern außerdem nur die Zahnsteinbildung.
Phytotherapeutische Therapie von Blasensteinen
Blasensteine kann man mithilfe der Phytotherapie ebenso positiv beeinflussen.
Die angewandten Phytotherapeutika führen zu einer Harnverdünnung und einer Steigerung des Harnvolumens. Dadurch wird die Blase durchspült. Spasmolytisch wirken Goldruten-, Petersilien- und Liebstöckelkraut, die Petersilienwurzel und die Ammi visnaga-Früchte. Sie alle fördern den Abgang von Harngrieß und Steinen. Bis auf Petersilie habe ich jedoch leider noch keine Katze überzeugen können, ein anderes Kraut oder Wurzel zu fressen. Sie sind wirklich sehr kritisch, wenn sich etwas anderes in ihrem Futter befindet und es anders riecht.
Wenn der Blasenstein zu groß ist, muss man ihn operativ entfernen.
Gallensteine
Gallensteine ([Abb. 9]) bei der Katze führen ebenso zu ausstrahlenden Schmerzen, kommen aber bei der Katze sehr selten vor. Gallensteine entstehen durch eine Störung im Cholesterin- und Lipidstoffwechsel (Fettstoffwechsel), die zu einer Abflussstörung der Gallenflüssigkeit und somit zu einem Gallenstau führen. Ursachen für die Abflussstörung können sein: bakterielle Entzündung, Parasitenbefall, Hepatopathie.

Wenn der Gallenstein zu groß ist, empfiehlt es sich, ihn operativ entfernen zu lassen.
Behandlung von Gallensteinen
Für die Behandlung von Gallensteinen bei Katzen stehen folgende Möglichkeiten zur Verfügung:
Futterwechsel
Parasitologische Untersuchung
Bei der konstitutionellen homöopathischen Behandlung sind folgende Rubriken hilfreich:
Abdomen – Gallensteine
Abdomen – Schmerz – Leber – Gallenkolik
Abdomen – Gallensteine
Abdomen – Gallensteine – begleitet von – Obstipation
Mit Eurologist/Lysium kann man sowohl Blasen- als auch Gallensteine auflösen. Außerdem kann Lysium auch präventiv eingesetzt werden. Die Behandlung dauert etwa drei Monate. Zu finden unter www.naturheilkunde-für-tiere.de.
Wenn der Gallenstein zu groß ist, muss man ihn operativ entfernen.

Parasitosen
Auch bei Wurmbefall (innerlich) oder Milbenbefall (äußerlich) kann es zum Lecken des Abdomens kommen. Durch ein Tesafilm-Abklatschpräparat kann man auf einfachstem Wege Abhilfe schaffen, ob es sich um einen Milbenbefall handelt oder nicht. Dabei den Tesafilm nicht nur leicht auf die Haut drücken, sondern die Haut unter dem Tesafilm leicht quetschen. Dadurch kann man auch Demodex oder Sarkoptesmilben ([Abb. 10]) oder auch Haarlinge ([Abb. 11]) finden. Allerdings kommt es relativ selten vor, dass sich die Katze dann nur das Abdomen leckt.

Bei Verdacht auf eine Verwurmung ist eine parasitologische Untersuchung des Kotes zu empfehlen.
Analbeutelobstipation
Die einfachste, aber am häufigsten übersehene Ursache, warum sich die Katze das Abdomen leckt, sind verstopfte Analdrüsen ([Abb. 12]).

Bei der klinischen Untersuchung der Katze sollte man stets den Schwanz anheben und die Analdrüsen kontrollieren. Sind diese verstopft, die Katze gut fixieren, bevor man die Analdrüsen leert. Das Analdrüsensekret kann stark eindicken und der Vorgang des Ausdrückens ist dann sehr schmerzhaft. Die Besitzer bitte auf das Schreien oder Jammern der Katze vorbereiten, nicht dass diese erschrecken.
Ist die Katze vom Tierbesitzer oder dem Tierarzt nicht zu händeln, bitte eine kleine Sedierung durchführen (wenn gesund; keine Hyperthyreose, keine HCM).
Psychogene Alopezie
Bei der psychogenen Alopezie leckt sich die Katze oft nicht nur das Abdomen kahl, sondern auch die Unterarme oder die Außenschenkel. Auch hier sollte auf alle Fälle ein Röntgenbild angefertigt werden, um eine andere Erkrankung ausschließen zu können.
Ursachen und Therapie der psychogenen Alopezie
Die Katze mit einer psychogenen Alopezie kann ein Problem mit der neuen Umgebung, den Besitzern, der neuen Katze, dem neuen Sofa, dem neuen Katzenstreu u. a. haben ([Abb. 13]). Man kann Psychopharmaka verabreichen. Aber so einfach ist das nicht. Setzt man die Psychopharmaka wieder ab, kann die Leckerei wieder von vorne beginnen. Man kann als erstes Feliway® (CEVA Tiergesundheit GmbH, Düsseldorf) als Halsband oder für die Steckdose oder Zyklene® (Vetoquinol GmbH, Ravensburg) versuchen, aber bitte erst nach Ausschluss anderer Erkrankungen.

Die psychogene Alopezie kann sehr gut homöopathisch behandelt werden. Hier kann über das Konstitutionsmittel die Katze wieder in ihr Gleichgewicht gebracht werden.
Ursachen für psychogene Alopezie können sein:
Angstreaktion und/oder Ängstlichkeit
Liegeplatz wird von Artgenossen belagert
Die Artgenossen attackieren ständig die Katze
Schlaf-, Fress- und Ausscheidungsplatz sind räumlich zu nah beieinander
Unangenehme Erfahrung (Katze hatte eine Blasenentzündung. Beim Urinabsatz hatte sie Schmerzen. Nun ist die Entzündung weg, aber die Erinnerung noch da = Phantomschmerz!)
Verunsicherung der Katze durch Veränderungen im sozialen Umfeld
Wohnungswechsel, neue Möbel, Umstellung der Möbel
Krasse Änderung des Tagesablaufes u. a. (Langeweile, Baby)
Verlust eines geliebten Wesens (Mensch, Mitkatze)
Abwesenheit der Halter oder anderer Familienmitglieder (Urlaub, Berufstätigkeit)
Neue Katzen oder andere Tiere in der Nachbarschaft oder im Haushalt
Veränderung der Beziehung mit dem Tierhalter, anderen Menschen, neuer Freund oder anderen Tieren
Geänderte familiäre Situation (Nachwuchs, Partner, Scheidung usw.)
Einschränkung des gewohnten Freiganges, verschlossene Räume
Heimweh
Aufmerksamkeit erregen
Stress
Angst, Aufregung, Schreck
Tadel, Eifersucht, Wut, Zorn
Wie man sieht, muss man genau hinsehen bei der homöopathischen Behandlung der psychogenen Alopezie.
Hier ein paar Rubriken, die helfen, das richtige Konstitutionsmittel zu finden:
Gemüt – Beschwerden durch … Zorn, Wut, Eifersucht, enttäuschte Liebe, Kummer
Gemüt – Beißen – sich selbst
Gemüt – Gesten, Gebärden; macht
Gemüt – Manie – reißt-Haaren; sich an den
Gemüt – Monomanie
Gemüt – schlagen – sich; schlägt – Kopf – seinen Kopf
Gemüt – schlagen – sich; selbst
Gemüt – Verstümmelt seinen Körper
Gemüt – Ziehen – Haaren; an den – verlangen zu ziehen
Allgemeines – Schmerzhaftigkeit gewöhnlich schmerzhafter Beschwerden
Die wichtigsten homöopathischen Mittel bei einer Katze mit psychogener Alopezie sind:
Aconitum, Arsenicum album, Aurum metallicum, Belladonna, Carcinosinum, Causticum, Ignatia, Lachesis, Lycopodium, Natrium muriaticum, Nux vomica, Opium, Platinum, Silicea, Staphisagria, Stramonium u. a.
Die einzelnen Mittel zu differenzieren würde hier zu weit führen.
Futtermittelallergie
Die Katze kann sich auch aufgrund einer Futtermittelallergie das Abdomen lecken. Dies kommt zwar selten bei der Katze vor, muss aber auch bedacht werden.
Fazit
Es ging mir in diesem Artikel darum aufzuzeigen, wie schwierig es sein kann, die richtige Diagnose zu finden bei einer Katze, die sich das Abdomen leckt. Die Katze ist kein einfacher Patient und auch sie verdient es, dass wir als ganzheitlich arbeitende Tierärztinnen und Tierärzte genau hinsehen. Auf dass sich unsere Patientinnen und Patienten immer gut aufgehoben bei uns fühlen.
Der Originalartikel ist erschienen in:
Hohmann M. Die Katze leckt sich den Bauch kahl, was tun?. Zeitschrift für Ganzheitliche Tiermedizin 2017; 31(01): 25 - 32. doi:10.1055/s-0042-123435.
(RG)
1 Brunner F. Die unverstandene Katze. Augsburg: Naturbuch Verlag; 1994
2 Boericke W. Handbuch der homöopathischen Arzneimittellehre mit Repertorium. Stuttgart: Narayana Verlag; 2017
3 Fraefel DN. Homöopathische Anamnese und Repertorisation bei Hund und Katze. Stuttgart: Sonntag Verlag; 2007
4 Hesse A, Neiger R. Harnsteine bei Kleintieren. Stuttgart: Enke Verlag; 2008
5 Hohmann M. Eigene Aufzeichnungen und Erfahrungen.
6 Krüger CP. Praxisleitfaden Tierhomöopathie. Stuttgart: Sonntag Verlag; 2010
7 Mohinder Singh Jus. Praktische Materia Medica, Band 1 – 3. Zug: Homöosana Verlag; 2009
8 Millemann J. Materia medica der homöopathischen Veterinärmedizin, Band 1 und 2. Stuttgart: Sonntag Verlag; 2005: 2007
9 Rakow B, Rakow M. Bewährte Indikationen in der Tiermedizin. 2. Aufl. Stuttgart: Sonntag Verlag; 1995
10 Radar-Expert Programm 10 und Encyclopaedia Homeopathica von Radar.
11 Schilcher H, Kammerer S. Leitfaden Phytotherapie. 2. Aufl. München, Jena: Urban & Fischer; 2003
12 Scholl S. et al. Verhaltensmedizin bei der Katze. Stuttgart: Enke Verlag; 2004
13 Späth H, Löw G, Reinhart E. Gesunde Tiere durch Homöopathie und Antihomotoxische Medizin. Baden-Baden: Aurelia-Verlag; 1999



