Inhalt

Die kanine monozytäre Ehrlichiose (CME), auch Zeckenfieber genannt, gehört zu den bekanntesten Reisekrankheiten des Hundes, ausgelöst durch das Bakterium Ehrlichia (E.) canis. Ihr Überträger, die braune Hundezecke (Rhipicephalus sanguineus), kommt vor allem in den Tropen und Subtropen vor, wobei bereits vereinzelt von autochthonen Infektionen mit E. canis in Deutschland berichtet wurde. Die Parasiten befallen Monozyten und Makrophagen und rufen je nach Krankheitsstadium eine unterschiedlich schwere klinische Symptomatik hervor.
Erreger
E. canis ist ein obligat pathogenes, kokkoides, pleomorphes, intrazelluläres gramnegatives Bakterium derOrdnung Anaplasmataceae (Rickettsiales). Aufgrund molekularbiologischer Analysen der 16S-rRNA-, Hitzeschock- und Oberflächenprotein-Gene erfolgte eine Reklassifizierung der Ordnung in die folgenden, für Haustiere und Menschen wichtigen 4 Genogruppen:
- Genus Ehrlichia (Hund: Ehrlichia canis, Ehrlichia chaffeensis, Ehrlichia ewingii, Candidatus Neoehrlichia mikurensis)
- Genus Anaplasma (Hund: Anaplasma phagocytophilum, Anaplasma platys)
- Genus Neorickettsia (Hund: Neorickettsia helminthocea)
- Genus Rickettsia (Rickettsia rickettsia, Rickettsia conorii)
Übertragung und andere Faktoren
Ehrlichien werden im Allgemeinen über Blut durch die braune Hundezecke (Rhipicephalus sanguineus) übertragen. Diese Zecke ist ein wahrer Künstler im Erregerübertragen und kann außer für E. canis auch als Vektor für eine Reihe weiterer Erreger fungieren: Babesia vogeli, Babesia gibsoni (?), Anaplasma platys (?), Hepatozoon canis, Dipetalonema dracunculoides, hämotrope Mycoplasmen, Rickettsia conorii und sogar Leishmania infantum wurde aktuell diskutiert. Im Unterschied zum Gemeinen Holzbock saugen auch die Männchen Blut: etwa 35 % springen von einem Hund auf den anderen, wenn diese zusammen gehalten werden, mit u. U. intrastadialer Erregerübertragung.
Ehrlichien werden nicht transovariell übertragen, somit muss sich jede Zeckenlarve oder Nymphe neu infizieren. Die braune Hundezecke ist daher kein wirklicher Reservoirwirt für Ehrlichien. Sie nimmt als Larve oder Nymphe mehrmals bei Blutmahlzeiten von verschiedenen Wirten Ehrlichien auf und überträgt diese als adulte Zecke mit jedem neuen Stich auf weitere Hunde. Als Erregerreservoir dienen demnach Hunde und Wildkarnivoren.
Da die Übertragung auch vektorunabhängig über Blutspenden erfolgen kann, müssen Blutspender aus endemischen Gebieten vor der Blutspende getestet werden.
Die Inkubationszeit wird im Allgemeinen mit 8-20 Tagen p.i. angegeben, wobei die Übertragung von E. canis bereits einige Stunden nach Festbeißen der Zecke beginnt.

Prädisposition
Es besteht eine Rasseprädisposition für Dobermann und Deutschen Schäferhund, die eine schwerere Verlaufsform der chronischen Ehrlichiose zeigen; im Durchschnitt sind die Hunde 5,2 Jahre alt (Altersspanne: 2 Monate bis 14 Jahre).
Ko-Infektionen
Eine Ko-Infektion von E. canis und B. vogeli kommt vor. Zudem kann Hepatozoon canis eine unterschätzte Ko-Infektion wegen des gemeinsamen Vektors R. sanguineus darstellen. Signifikant häufiger wird eine Klinik bei der Ko-Infektion von Leishmanien mit E. canis beobachtet; Ehrlichiose kann dazu beitragen, dass eine klinische Leishmaniose evident wird – etwa durch Immunsuppression.
Verbreitung
Die kanine monozytäre Ehrlichiose tritt vor allem dort auf, wo die braune Hundezecke als Hauptvektor verbreitet ist. Daher ist die Krankheit in den tropischen und subtropischen Gebieten südlich des 45. Breitengrades, z.B. in den Mittelmeeranrainerstaaten, Südostasien und Afrika, endemisch. Auch Teile der gemäßigten Zonen (35°S bis 56°N) stellen ein Endemiegebiet der Reisekrankheit dar.
In Deutschland kann die braune Hundezecke aufgrund der niedrigen Temperaturen als Freilandzecke keine stabile Population aufbauen, jedoch findet sie in Häusern und Hundezwingern geeignete Voraussetzungen für ihre Entwicklung, sodass auch in Deutschland mit R.-sanguineus-Befall gerechnet werden muss. Vereinzelt wurden bereits autochthone Infektionen mit E. canis in Deutschland beschrieben, die sich so erklären lassen.
Symptome
Pathogenese
Während der Inkubationszeit gelangen die Ehrlichien in den Blutstrom, befallen Monozyten und Makrophagen (v. a. in Milz und Leber) und werden durch Endozytose in die Zelle aufgenommen, wo sie die Fusion von Endosom und Lysosom verhindern. Sie können so überleben und sich intrazellulär in intrazytoplasmatischen Vakuolen durch Zweiteilung vermehren (Bildung von Morulae), was letztendlich zur Inhibition der Zellfunktion führt. Folglich kommt es zu Störungen in der Immunabwehr. Schlussendlich setzen sich Ehrlichien an den Gefäßendothelien verschiedener Organe wie Lunge, Nieren, Meningen und auch Kardiomyozyten fest, wo sie eine Vaskulitis und evtl. Blutungen auslösen. Bei Immundefizienz oder zusätzlichen Erkrankungen ist der Verlauf schwerer. Im chronischen Stadium sind Knochenmarksuppression und Panzytopenie möglich.
Die Ausbildung von hohen, nicht protektiven Antikörperspiegeln, eine polyklonale oder monoklonale Hypergammaglobulinämie (mit Hyperviskosität) und Immunpathologie (u. a. zirkulierende Immunkomplexe, Autoantikörper) spielen auch eine Rolle in der Pathogenese der kaninen monozytären Ehlichiose.
Krankheitsverlauf
Nach der Inkubationzeit schließt sich die akute Phase an, die ohne oder nur mit milden Symptomen verläuft und oft in ein subklinisches Stadium übergeht. Dieses kann Wochen bis Jahre dauern, wobei Hunde im subklinischen Stadium persistent infiziert bleiben, ohne dass sie klinische Symptome zeigen. Lediglich eine milde Thrombozytopenie und eine Hyperglobulinämie können beobachtet werden. In diesem subklinischen Stadium ziehen sich die Ehrlichien bevorzugt in die Milz zurück.
Die CME wird meistens in der klinisch apparenten, chronischen Phase der Infektion festgestellt.
Im Krankheitsverlauf werden folgende Stadien unterschieden:
Akute Phase
- 1–4 Wochen
- häufig: Lethargie, Fieber, Gewichtsverlust, Lymphadenopathie, Splenomegalie
Die häufige Thrombozytopenie kann immunbedingt sein (Nachweis von thrombozytengebundenen Antikörpern), durch Mehrverbrauch der Thrombozyten wegen disseminierter intravasaler Koagulopathie oder infolge Sequestrierung in der Milz entstehen. In der Folge treten Petechien, Ekchymosen und Epistaxis auf. Der Coombs-Test kann positiv sein (sekundär immunbedingte Anämie).
- selten: Vomitus, seröser bis eitriger Nasenausfluss und Dyspnoe
Darüber hinaus sind EKG-Veränderungen, linksventrikuläre Dilatation/Hypertrophie, eine verminderte Verkürzungsfraktion und erhöhte Serum-Tropoinin-I-Konzentrationen möglich [41]. Neurologische Symptome infolge einer Meningitis bzw. Meningoenzephalitis oder einer intrakraniellen Blutung sind Anfälle, Stupor, Ataxie, Dysfunktion des Vestibularapparates und Kleinhirns und Tetraparese.
Eine spontane Erholung der Hunde ist durch Elimination oder Sequestrierung des Erregers in der Milz möglich.
Subklinische symptomlose Phase
- Monate bis Jahre persistierende Ehrlichia-Infektion
- Ehrlichien halten sich v. a. in den Milzmakrophagen auf
- häufig: geringgradige Thrombozytopenie
- Spontanheilungen kommen vor
Chronische Phase
Nicht alle Ehrlichiose-Fälle erreichen die chronische Phase. Typisch sind:
- Panzytopenie (evtl. mit Sekundärinfektionen, Blutungen)
- polyklonale, selten monoklonale Hyperglobulinämie, deren Immunglobuline (v. a. IgM, IgA und IgG) keinen protektiven Effekt haben
Das Hyperglobulinämie-bedingte Hyperviskositätssyndrom kann zu Komplikationen wie plötzlicher Erblindung wegen Retinablutungen führen. Infolge einer Thrombozytopathie kann trotz normaler Thrombozytenzahl die Blutungszeit verlängert sein. Die Ablagerung von Immunkomplexen kann zu Polyarthritis, Uveitis, Glomerulopathie und Niereninsuffizienz führen. Neurologische Symptome können ebenfalls auftreten. Polymyositis ist selten. Weitere mögliche Komplikationen, wie eine reaktive Amyloidose mit Proteinurie und Glomerulopathie sowie periphere Ödeme, insbesondere von Hintergliedmaßen und Skrotum, kommen vor.
Manchmal wird, entgegen der gängigen Lehrmeinung, auch über Husten und Herzvergrößerung (im Herzen wurden Ehrlichien in einigen Fällen auch tatsächlich gefunden) berichtet.
Diagnostik
Direkter Erregernachweis
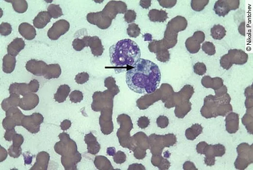
Beweisend für eine akute Infektion ist der Nachweis von intrazytoplasmatischen Morulae in Monozyten oder Makrophagen (nach Giemsa gefärbte Blutausstriche, besser Buffy-Coat-Ausstrich; Feinnadelaspirate aus Milz oder Leber). Während der akuten Phase (etwa 1–2 Wochen post infectionem) sind diese allerdings nur in etwa 4 % der Fälle zu finden [72].
Für den direkten Erregernachweis in Leukozyten hat sich aufgrund der höheren Sensitivität die PCR etabliert, die bereits ab dem 4.–10. Tag p. i. (bevor eine Serokonversion eintritt) durchgeführt werden kann. Als Probenmaterial können hierfür Lymphknoten- und Milz-Feinnadelaspiraten bzw. Knochenmark dienen.

Indirekter Erregernachweis
Antikörpernachweise können mittels indirekter serologischer Tests erfolgen. Ein geeignetes Verfahren ist hierbei der IFAT (indirekter Immun-Fluoreszenz-Antikörper-Test), der i. d. R. ab 14 Tage p. i. möglich (frühestens nach 7 Tagen), manche Hunde zeigen jedoch erst ab 28 Tage p. i. eine Serokonversion.
Merke!
Ein positiver Titer kann nicht zwischen Erregerkontakt und Infektion unterscheiden. Fragliche Titer sollten nach 2-3 Wochen wiederholt werden. Eine Serokonversion (4-facher Anstieg) spricht für eine akute Infektion.
Da die Titer über Monate erhöht bleiben können, ist der positive Nachweis nicht gleichbedeutend mit einer klinisch manifesten Erkrankung. Darüber hinaus besteht keine Korrelation zwischen Titerhöhe und Schweregrad der Erkrankung [43] und auch eine „stumme“ Serokonversion ohne klinische Symptome ist möglich ist.
Weitere Möglichkeiten zur Diagnostik in der Praxis bieten serologische Schnelltests (z. B. SNAP 4Dx; AK gegen die äußeren Membranproteine p30 und p30-1), die den gleichzeitigen Nachweis von Herzwurm-Antigen, Borrelia-C6- und auch Anaplasma-Antikörpern erlauben.
Labor
Häufig veränderte Laborparameter in der akuten Phase schließen eine Thrombozytopenie (schon vor Beginn der klinischen Symptome; 82 %), Anämie (i. d. R. nicht regenerativ; 82 %), Leukopenie (32 %, davon 20 % mit Neutropenie), Leukozytose und Monozytose (bei Chronifizierung), erhöhte Leberenzyme (ALT, 43 %, AP, 31 %), Hyperglobulinämie (steigt progressiv 1–3 Wochen p. i.; 39 %), Hypalbuminämie (Verlust über die Niere, 43 %) sowie eine Proteinurie mit ein.
Die chronische Phase ist durch Panzytopenie (18 %, häufig beim Schäferhund), Monozytose und Lymphozytose, Hyperglobulinämie (wird immer höher im Laufe der Infektion; normalerweise polyklonal, jedoch gelegentlich auch monoklonal), Hypalbuminämie sowie erhöhten Harnstoff/Kreatinin gekennzeichnet. Bei natürlich infizierten Hunden mit ausgeprägten Symptomen waren zudem die CRP-Werte erhöht.
Differenzialdiagnosen
Andere Erkrankungen, die mit Hyperglobulinämie einhergehen, z.B. multiples Myelom, Leukämie und Leishmaniose. Autoimmunbedingte Thrombozytopenie oder sekundäre immunbedingte Thrombozytopenie in Zusammenhang mit Neoplasien, Entzündungen oder anderen Infektionskrankheiten. Bei jeder potenziell immunmediierten Krankheit wie z.B. Polyarthritis, Glomerulonephritis, Thrombozytopenie ist an eine Ehrlichiose zu denken. Eine hochgradige Lymphozytose (large granular lymphocytosis) kann besonders bei gleichzeitigem Vorliegen einer monoklonalen Gammopathie mit einer chronischen lymphatischen Leukämie verwechselt werden [75]. Weiterhin sind andere, ebenfalls durch die braune Hundezecke übertragene Erkrankungen, wie Babesiose und/oder Hepatozoonose, sowie weitere Reisekrankheiten auszuschließen.
Behandlung
Nach initialer Stabilisierung bei Anämie und Blutungsneigung aufgrund der Thrombozytopenie (Bluttransfusion wenn indiziert), kann die Chemotherapie mit regelmäßiger Überwachung der Hämatologie/klinischen Chemie erfolgen.
Hierbei gilt Doxycyclin als erstes Mittel der Wahl:
Dieser Inhalt unterliegt den Bestimmungen gemäß Heilmittelwerbegesetz (HWG) und darf nur berechtigten Personen zugänglich gemacht werden. Bitte loggen Sie sich ein, um diesen Inhalt zu sehen.
Monitoring
Eine erneute PCR-Untersuchung 2 Wochen nach Therapieende wird empfohlen. Die serologische Untersuchung ist nicht geeignet, da genesene Hunde über einen langen Zeitraum einen unverändert hohen oder auch niedrigen Antikörpertiter über Monate bis Jahre aufweisen können. Bei erneutem Erregernachweis ist die Therapie mit Doxycyclin über 4 Wochen zu wiederholen. Eine negative PCR nach weiteren 2 Monaten könnte auf eine Elimination des Erregers hinweisen, allerdings ist eine Sequestrierung in Milz und Knochenmark möglich [43].
Prognose
Vor allem in der subklinischen und chronischen Phase gelingt trotz antibiotischer Behandlung nicht immer eine vollständige Erregerelimination. Eine Panzytopenie und Neutropenie waren in einer Studie mit schlechter Prognose assoziiert [153]. Das Vorliegen einer Ko-Infektion z.B. mit Babesia spp. ist ebenfalls ein negativer prognostischer Faktor.
Prophylaxe
Um das Risiko einer Infektion mit Ehrlichien oder mit anderen durch Zecken übertragbaren Krankheiten zu vermindern, ist eine Zeckenprophylaxe ratsam. Hierfür stehen für die Vektorprophylaxe verschiedene Anti-Zecken-Mittel mit akarizider und repellenter Wirkung zur Verfügung.
Da derzeit noch keine Impfung gegen die kanine monozytäre Ehrlichiose zur Verfügung steht, sollte neben der Anwendung von Anti-Zecken-Mitteln auch das tägliche Absammeln von Zecken Teil der Prophylaxe sein.
Des Weiteren soll eine Imidocarb-Injektion zur Babasioseprophylaxe vor Reiseantritt auch eine Ehrlichioseinfektion verhindern.
Merke!
Die Zeckenprophylaxe sollte den gesamten Zeitraum abdecken, in dem Zecken aktiv sein können (in Zentraleuropa typischerweise von März bis Juni und von September bis November) und sich zudem nach dem jeweiligen Risikolevel (z. B. Gebiete mit hoher Zeckendichte, milde Winter) und Lebensstil des Hundes richten. Dies bedeutet, dass in einigen Fällen zu einem ganzjährigen Zeckenschutz geraten werden sollte.
Fazit
Die kanine monozytäre Ehrlichiose ist eine Erkrankung, die je nach Krankheitsstadium mehr oder weniger gut behandelbar ist. Da eine vollständige Erregerelimination selten erreicht wird, gilt es vor allem eine Ehrlichiose-Infektion zu verhindern. Hierbei ist eine konsequente Zeckenprophylaxe, vor allem für Hunde aus endemischen Gebieten wichtig, aber auch für Hunde, welche in solche Gebiete reisen.
Die Originalartikel sind erschienen in:
Pantchev N. Zeckenübertragene Reiseinfektionen beim Hund: Ehrlichiose und Babesiose. Veterinärspiegel 2012; 22(04): 162 - 170. doi:10.1055/s-0032-1327972
Ehrlichiosen des Hundes. In: Selbitz H, Truyen U, Valentin-Weigand P, Hrsg. Tiermedizinische Mikrobiologie, Infektions- und Seuchenlehre. 10., aktualisierte Auflage. Stuttgart: Enke Verlag; 2015.
Ehrlichiose, Anaplasmose, Neorickettsiose. In: Kohn B, Schwarz G, Hrsg. Praktikum der Hundeklinik. 12., aktualisierte Auflage. Stuttgart: Enke Verlag; 2017.
(JD)
41 Diniz PP, de Morais HS, Breitschwerdt EB et al. Serum cardiac troponin i concentration in dogs with Ehrlichiosis. J Vet Intern Med 2008; 22: 1136–1143
75 Heeb HL, Wilkerson MJ, Chun R et al. Large granular lymphocytosis, lymphocyte subset inversion, thrombocytopenia, dysproteinemia, and positive Ehrlichia serology in a dog. J Am Anim Hosp Assoc 2003; 39: 379–384
72 Harrus S, Waner T, Bjöersdorff A, Shaw S. Ehrlichiosis and anaplasmosis. In: Shaw S, Day M, eds. Arthropod-borne Infectious Diseases of the Dog and Cat. London: Manson Publishing; 2005: 120–133
43 Eddlestone SM, Neer TM, Gaunt SD et al. Failure of imidocarb dipropionate to clear experimentally induced Ehrlichia canis infection in dogs. J Vet Intern Med 2006; 20: 840–844
126 Neer TM, Harrus S. Canine monocytotropic ehrlichiosis and neorickettsiosis. In: Greene CE, ed. Infectious Diseases of the Dog and Cat. 3rd ed. Philadelphia: Elsevier Saunders; 2006: 203–216
153 Shipov A, Klement E, Reuveni-Tager L et al. Prognostic factors for canine monocytic ehrlichiosis. Vet Parasitol 2008;153: 131–138


