Inhalt

Was ist ein Megakolon?
Das Megakolon ist eine pathologische Dilatation des Dickdarms, die zu einer schweren Obstipation führt. Bei Katzen tritt das Megakolon häufig im mittleren bis höheren Alter auf und kann entweder primärer oder sekundärer Natur sein.
Die primäre Form wird als idiopathisch bezeichnet, da ihre Ursache unbekannt ist, während die sekundäre Form durch eine zugrunde liegende Erkrankung wie Beckenverletzungen, Strikturen oder neurologische Defekte verursacht wird.
Merke
Die häufigste Form des Megakolons bei Katzen ist das idiopathische Megakolon, das etwa 62 – 70% der Fälle ausmacht.
Es wird angenommen, dass eine neuromuskuläre Dysfunktion des Kolons die Hauptursache ist, die zu einer Störung der Darmmotilität beim idiopathischen Megakolon führt. Diese Funktionsstörung bewirkt eine unzureichende Propulsion des Kots, was zur Anhäufung von hartem, trockenem Stuhl führt und letztendlich den Darm erweitert.
Megakolon bei der Katze - kurz zusammengefasst
- Bei Katzen kann das Megakolon idiopathisch (primär) oder erworben (sekundär) sein; das idiopathische Megakolon stellt die häufigste Form dar.
- Ein erworbenes Megakolon kann durch mechanische Obstruktionen (hypertrophisches Megakolon) oder funktionelle Ursachen entstehen.
- Ein hypertrophisches Megakolon ist potenziell reversibel, wenn die Ursache der Obstruktion frühzeitig beseitigt wird.
- Das klinische Bild variiertstark; häufige Symptome sind z. B. chronische Verstopfung, Schwierigkeiten beim Kotabsetzen, abdominale Distension und Appetitlosigkeit.
- Die Diagnose erfolgt anhand von Anamnese, klinischer Untersuchung und bildgebenden Verfahren (v. a. Röntgenuntersuchung).
- In frühen Stadien kann eine konservative Therapie ausreichen, in fortgeschrittenen Fällen ist ein chirurgischer Eingriff (Kolektomie) nötig.
- Bei frühzeitiger Diagnose und effektiver Behandlung ist die Prognose gut.
- Prophylaktische Maßnahmen umfassen die Überwachung der Kotbeschaffenheit, eine ballaststoffreiche Diät und eine ausreichende Hydratation.
Ätiologie und Pathogenese
Beim Menschen wird das Megakolon entweder als angeboren (Morbus Hirschsprung) oder als erworben klassifiziert. Das angeborene Megakolon ist i. d. R. das Ergebnis einer angeborenen Aganglionose (Fehlen der myenterischen und submukosalen intramuralen Plexus) im distalen Teil des Kolons, was zu einer anhaltenden Kontraktion der glatten Muskulatur und folglich zu einer Dilatation des distalen Kolons und einer Stuhlretention führt [1]. Das angeborene Megakolon wurde bei Katzen bisher nicht eindeutig beschrieben, obwohl sein Auftreten vermutet wurde [2].
Da das angeborene Megakolon äußerst selten ist, wird das Megakolon bei Katzen i. d. R. als
- idiopathisch (primär) oder
- erworben (sekundär)
beschrieben [1].
Merke
Die Pathogenese des Megakolons ist komplex und multifaktoriell.
Idiopathisches Megakolon
In den meisten Fällen von idiopathischem Megakolon bei Katzen scheint die Ursache in einer Störung der neuromuskulären Kontrolle zu liegen. Diese beeinträchtigt die normale Peristaltik, wodurch der Darm seine Fähigkeit verliert, den Stuhl effizient zu transportieren. Im Laufe der Zeit führt die Akkumulation von Fäzes zu einer Dehnung und Verdickung der Darmwand, was den Zustand weiter verschlimmert.
Erworbenes Megakolon
Ein erworbenes Megakolon kann durch mechanische oder funktionelle Ursachen entstehen (Tab. 1).
| Kategorie | spezifische Ursachen |
|---|---|
| extraluminale Kompression |
|
| intraluminale Obstruktion |
|
| metabolisch |
|
| neuromuskuläre Anomalien |
|
| idiopathisch |
|
Mechanische Ursachen
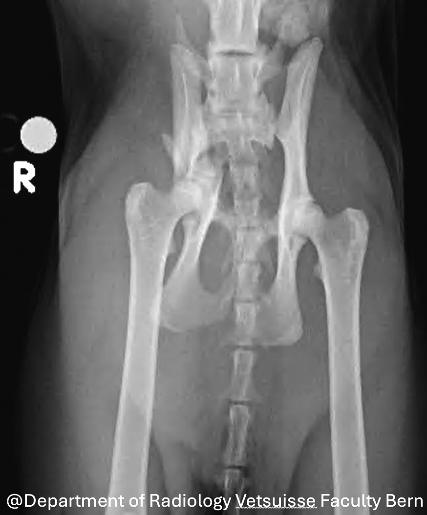
Mechanische Obstruktionen können durch Stenosen des Beckenkanals infolge von Beckenfrakturen, Narbengewebe, Tumore (Kolon- oder Rektumneoplasien), Fremdkörper oder extrakolische Massen verursacht werden. Ein erworbenes Megakolon, das durch mechanische Obstruktionen verursacht wird, wird auch als „hypertrophisches Megakolon“ bezeichnet. Ein hypertrophisches Megakolon kann sich bei jeder Form von Ausflussobstruktion entwickeln und ist potenziell reversibel, wenn die Ursache der Obstruktion frühzeitig im Krankheitsverlauf beseitigt wird [1], [3]. Wird die Ursache jedoch nicht behandelt, führt dies zu irreversiblen Veränderungen.
Eine Beckenstenose infolge einer fehlverheilten Beckenfraktur ist die häufigste Ursache für ein hypertrophisches oder obstruktives Megakolon bei Katzen (Abb. 1) [1], [3]. Basierend auf den Ergebnissen eines Berichts wird bei Katzen mit akuten Beckenfrakturen und medialer Verlagerung des kaudalen Ileumsegments, die zu einer Beckenverengung von mehr als 45% führt, eine frühzeitige chirurgische Intervention empfohlen [4]. Diese Studie hat jedoch keine Katzen untersucht, die konservativ behandelt wurden. Um ein irreversibles Megakolon zu verhindern, sollte jede chirurgische Intervention zur Erweiterung des Beckens innerhalb von 6 Monaten nach dem ersten Trauma durchgeführt werden.

Weitere obstruktive Ursachen für eine Verstopfung, die zu einem hypertrophischen Megakolon führen, umfassen:
- kolorektale und anale Tumoren
- perineale Hernien
- intrapelvine extraluminale Massen
- Prostatomegalie
sowie seltener Fremdkörper, Atresien des distalen Darmtrakts und eine unzureichende Ernährung [1].
Mehrere Fälle von Verstopfung oder Obstipation sowie Megakolon wurden nach Ovariektomie oder Ovariohysterektomie bei Katzen und Hunden beschrieben. In diesen Fällen trat die Obstruktion sekundär durch die Bildung einer extraluminalen Kolonstriktur auf und eine schnelle Diagnose und Entfernung des beeinträchtigenden Gewebes führten zur Lösung des klinischen Problems.
Perinealhernien, bei denen es zu einem Mangel an Unterstützung der Rektalwand kommt, führen häufig zu Verstopfung und Obstipation. Werden Hernie und deren klinische Folgen nicht beseitigt, kann dies zu einem erworbenen Megakolon führen. Bei Katzen, bei denen die Veränderungen des Kolons irreversibel sind, kann eine alleinige Kolektomie ausreichend sein, um den Zustand zu behandeln. Wenn eine perineale Herniorrhaphie ohne Kolektomie versucht wird, kann das mit dem Megakolon verbundene Pressen bei betroffenen Katzen zu einem Versagen der Herniorrhaphie führen.
Funktionelle Ursachen
Das erworbene Megakolon infolge einer neuromuskulären Dysfunktion tritt als Folge von Erkrankungen des Rückenmarks, Verletzungen des Beckennervs, Dysautonomie, Stoffwechselerkrankungen (Hypokaliämie, Hypothyreose) und autonomer Ganglioneuritis auf [1]. Ältere Manx-Katzen gelten als besonders gefährdet für die Entwicklung eines Megakolons. Die Pathogenese bei dieser Rasse ist nicht vollständig geklärt, könnte jedoch sekundär auf sakrale Fehlbildungen des Rückenmarks zurückzuführen sein, die den Defäkationsreflex beeinträchtigen, oder auf eine physische Obstruktion durch deformierte Schwanzwirbel. Auch neurologische Defizite, beispielsweise infolge einer Verletzung des lumbosakralen Nervensystems, können zu einer gestörten Motilität führen.
Merke
Es gibt Hinweise darauf, dass chronische Dehydratation und ein ballaststoffarmes Futter die Prädisposition für die Entwicklung eines Megakolons erhöhen können.
Klinisches Bild
Die klinische Präsentation des Megakolons variiert je nach Schweregrad der Erkrankung. Zu den häufigsten Symptomen zählen:
- Chronische Verstopfung: Katzen haben Schwierigkeiten beim Stuhlgang und zeigen oft Anzeichen von Unbehagen oder Schmerzen beim Absetzen von Kot.
- Lethargie und Appetitlosigkeit: In schweren Fällen kann die Katze lethargisch wirken und das Interesse an Futter verlieren.
- Abdominale Distension: Der Bauch ist oft stark aufgebläht, was auf die Ansammlung von Fäzes hinweist.
- Gewichtsverlust: Chronische Fälle führen oft zu Gewichtsverlust aufgrund einer verminderten Nahrungsaufnahme.
- Erbrechen: Dieses Symptom tritt bei Katzen häufig als Folge von starkem Kotstau und toxischen Effekten auf.
In fortgeschrittenen Fällen kann es zu einer sogenannten toxischen Megakolonbildung kommen, bei der sich toxische Substanzen im Körper der Katze ansammeln und einen lebensbedrohlichen Zustand hervorrufen.
Diagnostik
Die Diagnose des Megakolons erfolgt primär durch die Kombination von:
- Anamnese
- klinischer Untersuchung
- bildgebenden Verfahren
Die Anamnese umfasst typischerweise wiederholte Episoden von Verstopfung, die oft mit Diäten und medikamentöser Therapie nur unzureichend behandelt werden konnten. Bei der klinischen Untersuchung kann eine abnormale Dickdarmerweiterung durch Palpation des Abdomens festgestellt werden.
Bildgebende Verfahren
Röntgenuntersuchung
Merke
Das primäre diagnostische Mittel zur Beurteilung des Megakolons ist die Röntgenaufnahme.
Das Röntgenbild zeigt eine massive Dilatation des Dickdarms mit Ansammlung von stark verdichtetem Kot (Abb. 2).

Sonografische Untersuchung
Ultraschalluntersuchungen können hilfreich sein, um begleitende Erkrankungen auszuschließen und den Zustand der Darmwand zu beurteilen.
CT und MRT
Computertomografie (CT) und Magnetresonanztomografie (MRT) sind besonders nützlich bei der Differenzierung struktureller Anomalien und können in komplexen Fällen indiziert sein.
Labordiagnostik
Zusätzliche diagnostische Maßnahmen wie Laboruntersuchungen (Blutbild, Biochemie) können verwendet werden, um systemische Erkrankungen zu identifizieren, die zur Entstehung oder Verschlechterung eines Megakolons beitragen.
Therapieansätze
Die Behandlung eines Megakolons kann sowohl konservative als auch chirurgische Ansätze umfassen. Die Wahl der Therapie hängt vom Schweregrad, der zugrunde liegenden Ursache und dem allgemeinen Gesundheitszustand der Katze ab.
Konservative Therapie
In den frühen Stadien kann eine konservative Therapie ausreichen.
Diätetische Maßnahmen
Eine ballaststoffreiche Ernährung oder die Verabreichung spezieller, faserreicherDiätfuttermittel können helfen, den Kot weicher zu machen und die Darmmotilität zu fördern. Zudem sollte eine ausreichende Hydratation gewährleistet werden, da Dehydratation die Obstipation verschlimmern kann. Im Falle einer klinischen Dehydratation muss der Patient eine intravenöse Flüssigkeitstherapie erhalten, um die Dehydratation zu korrigieren.
Laxantien
Medikamente wie Lactulose oder Polyethylenglykol (PEG) werden oft eingesetzt, um den Stuhlgang zu erleichtern. Diese Substanzen binden Wasser im Darm, was zu einer Erweichung des Kots führt.
Prokinetika
Cisaprid, ein serotonerges Prokinetikum, kann bei der Verbesserung der Darmmotilität hilfreich sein und wird häufig in Kombination mit Laxantien verabreicht.
Klistiere und manuelle Entfernung des Kots
In schweren Fällen, in denen eine sofortige Entlastung erforderlich ist, können Klistiere oder eine manuelle Evakuation unter Sedierung notwendig sein.
Chirurgische Therapie
Wenn die konservative Therapie versagt oder wenn die Erkrankung fortschreitet, kann eine chirurgische Intervention erforderlich sein, die sogenannte Kolektomie. Eine chirurgische Entfernung des betroffenen Abschnitts des Dickdarms (teilweise oder vollständig) ist die häufigste und effektivste Lösung in fortgeschrittenen Fällen (Abb. 3).

Die Bedeutung der ileokolischen Verbindung wurde viel diskutiert [1]. Das ileokolische Ostium fungiert als Sphinkter, um einen Rückfluss des Koloninhalts zu verhindern. Die Entfernung der ileokolischen Klappe kann zu einer retrograden Bewegung von Kolonbakterien in den Dünndarm führen, was die Entstehung eines bakteriellen Überwuchses im Dünndarm zur Folge haben kann [1]. Einige Autoren berichteten über eine erhöhte Inzidenz und Schwere von postoperativem Durchfall nach Resektion der ileokolischen Verbindung, jedoch keine höhere Inzidenz von wiederkehrender Obstipation bei Katzen, bei denen die Verbindung nicht entfernt wurde [1], [5]. Basierend auf diesen Erkenntnissen wird der Erhalt der ileokolischen Verbindung, wenn möglich, empfohlen [1], [5]. In einigen Fällen kann jedoch die Resektion der ileokolischen Klappe erforderlich sein, um die Beweglichkeit des proximalen Darmabschnitts zu maximieren. In diesen Fällen kann die Hypertrophie des verbleibenden Darms zu einer allmählichen Verbesserung der Kotbeschaffenheit führen [1]. Weitere prospektive Studien sind erforderlich, um diese Kontroverse vollständig zu klären.
Techniken, die nach der Resektion eines Megakolons erfolgreich zur Anastomose eingesetzt werden, umfassen End-zu-End-, End-zu-Seit- und Seit-zu-Seit-Kolokolostomie oder Enterokolostomie [6]. Die Autorin bevorzugt es, die ileokolische Verbindung zu erhalten und durchtrennt das aufsteigende Kolon 1 – 2 cm distal des Zäkums. Das absteigende Kolon wird 2 cm kranial des Beckenkamms reseziert [1], [5]. Eine End-zu-End-Anastomose wird durchgeführt, wobei jede luminale Diskrepanz durch die Spatulation des kleineren Lumens an seinem antimesenterischen Rand ausgeglichen wird. Eine genähte Anastomose mit 4 – 0 Polydioxanon-Nähten wird in einem einfachen unterbrochenen appositionellen Muster bevorzugt (Abb. 4). Vorsicht ist geboten, wenn ein kontinuierliches Muster verwendet wird, da es einen „Purse-String“-Effekt auf den luminalen Durchmesser haben kann [1].

Prognose
Die Prognose des Megakolons variiert stark und hängt von der Ursache und der Schwere der Erkrankung ab. Bei frühzeitiger Diagnose und effektiver Behandlung – insbesondere durch chirurgische Maßnahmen – können viele Katzen eine gute Lebensqualität erreichen. In schweren Fällen und v. a. bei einer verzögerten Behandlung kann die Prognose jedoch schlechter ausfallen [1].
Merke
Nach einer Kolektomie dauert es experimentell 8 Wochen, bis sich die normale Darmmotilität wiederhergestellt hat [7].
Anfangs ist daher weicher Stuhlgang zu erwarten, da die Absorptionskapazität und die Transitzeit verringert sind [1], [5]. Mit der Zeit passt sich der verbleibende Darm an, indem die Höhe der Zotten sowie die Anzahl und Dichte der Enterozyten zunehmen [8]. Schließlich ist die enterische Funktion bei Katzen, die sich einer subtotalen Kolektomie unterzogen haben, sehr ähnlich der von normalen Katzen [9].
Prävention
Präventive Maßnahmen umfassen eine regelmäßige Überwachung der Kotbeschaffenheit, die Fütterung einer ballaststoffreichen Diät und eine adäquate Hydratation. Besitzer sollten darauf achten, frühzeitig veterinärmedizinischen Rat einzuholen, wenn ihre Katze Anzeichen von Obstipation zeigt.
Fazit
Das Megakolon ist eine schwerwiegende, aber behandelbare Erkrankung bei Katzen, die eine rechtzeitige Diagnose und eine individuell angepasste Therapie erfordert. Durch die Kombination aus diätetischen, medikamentösen und ggf. chirurgischen Maßnahmen kann die Lebensqualität betroffener Tiere erheblich verbessert werden. Die präventive Betreuung ist ebenso entscheidend, um das Risiko eines Rückfalls zu minimieren und die Gesundheit der Katze langfristig zu erhalten.
Der Originalbeitrag zum Nachlesen:
Vincenti S. "Megakolon bei Katzen: Diagnose und Behandlungsmöglichkeiten" kleintier konkret 2024; 27(06): 16 - 21. doi:10.1055/a-2418-5672
(IR)
- Tobias KM, Johnston SA. Veterinary Surgery: Small Animal. St. Louis (MO): Elsevier Saunders; 2012
- Rosin E, Walshaw R, Mehlhaff C. et al. Subtotal colectomy for treatment of chronic constipation associated with idiopathic megacolon in cats: 38 cases (1979–1985). J Am Vet Med Assoc 1988; 193: 850-853
- White RN. Surgical management of constipation. J Feline Med Surg 2002; 4: 129-138
- Hamilton MH, Evans DA, Langley Hobbs SJ. Feline ileal fractures: assessment of screw loosening and pelvic canal narrowing after lateral plating. Vet Surg 2009; 38: 326-333
- Sweet DC, Hardie EM, Stone EA. Preservation versus excision of the ileocolic junction during colectomy for megacolon: a study of 22 cats. J Small Anim Pract 1994; 35: 358-363
- Williams Jr FA, Bright RM, Daniel GB. et al. The use of colonic irrigation to control fecal incontinence in dogs with colostomies. Vet Surg 1999; 28: 348-354
- Jimba Y, Nagao J, Sumiyama Y. Changes in gastrointestinal motility after subtotal colectomy in dogs. Surg Today 2002; 32: 1048-1057
- Bertoy RW, MacCoy DM, Wheaton LG, Gelberg HB. Total colectomy with ileorectal anastomosis in the cat. Vet Surg 1989; 18: 204-210
- Gregory CR, Guilford WG, Berry CR. et al. Enteric function in cats after subtotal colectomy for treatment of megacolon. Vet Surg 1990; 19: 216-220



