
Die Symptome der oralen Neoplasien sind unspezifisch: Foetor ex ore, gesteigerte Salivation, verändertes Fressverhalten wie einseitiges Kauen mit Kopfschiefhaltung, Zahnlockerung, Zahnfleischschwellungen oder Nasenausfluss können auftreten. Im fortgeschrittenen Stadium werden mitunter auch deutliche Asymmetrien des Gesichtsschädels beobachtet. Für eine korrekte Befunderhebung ist die eingehende klinische Untersuchung der Maulhöhle sowie die Palpation von Kehlbereich, Speicheldrüsen und regionalen Lymphknoten essentiell. Eine gründliche stomatologische Untersuchung mit den Regionen Rachenraum, Mundboden und Unterzungenbereich ist nur in Sedation möglich.
Orale Neoplasien
Maulhöhlentumore der Katze sind häufig maligne. Wir müssen davon ausgehen, dass dies für 90% aller oralen Neoplasien der Katze zutrifft [10] . In der Klassifikation wird meist zwischen Neoplasien odontogenen und nicht-odontogenen Ursprungs unterschieden. In der Gruppe der malignen Tumoren finden sich die Neoplasien nicht-odontogenen Ursprungs und unter diesen ist das Plattenepithelkarzinom mit 60 – 80% die mit Abstand häufigste maligne orale Neoplasie der Katze, gefolgt von Fibrosarkomen mit etwa 7 – 18% [10] . Außerdem werden unter anderem Osteosarkome, Melanome, Lymphome, Mastzelltumore, Nervenscheidentumore und odontogene Neoplasien festgestellt. Die mit etwa 5 – 8% eher seltenen odontogenen Neoplasien verhalten sich biologisch benigne [10] .
Benigne Maulhöhlentumore können ebenfalls mit ausgedehnten Knochendestruktionen einhergehen, haben jedoch bei kompletter Resektion eine gute Prognose.
Merke
Alle oralen Umfangsvermehrungen sollten frühzeitig bioptiert werden, um mögliche Therapiechancen für die Patienten zu wahren.
Das Plattenepitehlkarzinom
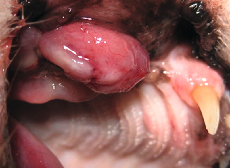
Orale Plattenepithelkarzinome (PEC) können gingival, sublingual und tonsillär lokalisiert sein, wobei die gingivale Form als das häufigste orale PEC der Katze sowohl maxillär als auch mandibular auftritt. Das Wachstum ist infiltrativ und Metastasen finden sich eher selten [6] . Die vorliegende ausgeprägte Osteolyse imponiert meist bereits bei der Diagnosestellung [3] und typischerweise werden beim gingivalen Plattenepithelkarzinom gelockerte Zähne beobachtet. Gerade dann, wenn bei Katzen Zähne gelockert oder „leicht“ zu extrahieren sind, ist besondere Aufmerksamkeit geboten und entsprechende Kieferabschnitte sollten unbedingt röntgenologisch untersucht werden. Begleitende orale Entzündungen können einerseits Tumore maskieren, während andererseits proliferative Entzündungen das Vorliegen eines Tumors vortäuschen können ( [Abb. 1] und [2] ).

Therapie des PEC
Die radikale Chirurgie nach den Postulaten der Onko-Chirurgie stellt auch beim PEC eine realistische Therapieoption dar, ist jedoch wegen des meist weit fortgeschrittenen Stadiums zum Zeitpunkt der Diagnosestellung und der geringen Patientengröße oft nicht mehr sinnvoll durchführbar. Wenig hilfreich ist die Bestrahlungstherapie, die als alleinige Therapieform eine ungünstige Prognose hat [6] . Ein Teil der oralen Plattenepithelkarzinome exprimiert COX-2 und die Gabe eines COX-2 Inhibitors sollte begleitend palliativ erwogen werden.
Dieser Inhalt unterliegt den Bestimmungen gemäß Heilmittelwerbegesetz (HWG) und darf nur berechtigten Personen zugänglich gemacht werden. Bitte loggen Sie sich ein, um diesen Inhalt zu sehen.
Gingivale und sublinguale PEC
Falls die Diagnose eines gingivalen Plattenepithelkarzinoms früh im Krankheitsverlauf gestellt wird, kann insbesondere bei den mandibulär lokalisierten Formen die radikale Chirurgie erwogen werden, die bei Katzen deutlich besser toleriert wird, als lange Zeit gemeinhin angenommen wurde [7] . Die Patienten profitieren dabei von einer Ernährungssonde, die im Anschluss an die Operation in gleicher Anästhesie platziert wird.
Sublinguale Plattenepithelkarzinome sind auf Grund ihrer Lokalisation für Tierbesitzer besonders schwer zu entdecken ( [Abb. 3] ). In frühen Stadien wird die Zunge betroffener Katzen unbeweglicher und aufmerksame Besitzer bemerken mitunter ein verändertes Fressverhalten. Therapeutisch kommt auch hier am ehesten eine multimodale Therapie infrage, da ein ausschließlich chirurgisches Vorgehen bei sublingualen Plattenepithelkarzinomen – außer in sehr frühen Stadien – meist nicht möglich ist.

Das orale Fibrosarkom
Das orale Fibrosarkom als zweithäufigste maligne orale Neoplasie der Katze wächst lokal invasiv und metastasiert nur selten, ähnlich wie das bei Katzen seltene orale Osteosarkom [10] . Die Tumormasse des Fibrosarkoms nimmt oft enorme Ausmaße an und es kommt auch bei dieser Neoplasie häufig zur Zahnlockerung, sodass anfänglich das klinische Bild mit dem bei Katzen häufigen Gingivitis/Parodontitis Komplex verwechselt werden kann. Fibrosarkome rezidivieren bei unvollständiger Resektion. ( [Abb. 4] und [5] )
Dieser Inhalt unterliegt den Bestimmungen gemäß Heilmittelwerbegesetz (HWG) und darf nur berechtigten Personen zugänglich gemacht werden. Bitte loggen Sie sich ein, um diesen Inhalt zu sehen.

Diagnostik
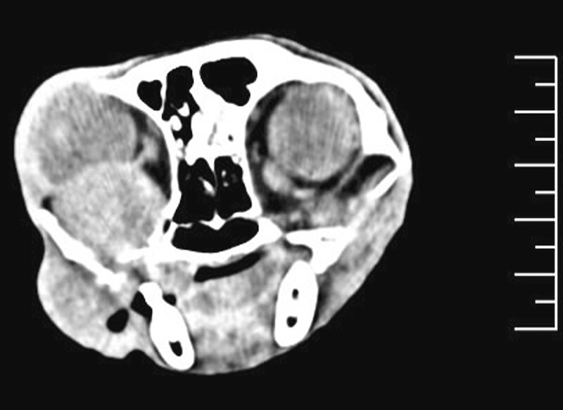
Die Modalität der Wahl bei Neoplasieverdacht ist die Computertomografie (CT) [8] . Als Schichtbildverfahren kann mittels CT eine Aussage über Größe, Lokalisation, Ausmaß, Invasivität der Veränderung und die regionalen Lymphknoten getroffen sowie geeignete Biopsieorte identifiziert werden [8] ( [Abb. 6] ). Die Möglichkeit zur multiplanaren Rekonstruktion stellt eine wichtige Unterstützung für die Planung von Resektionen oder Bestrahlung dar.

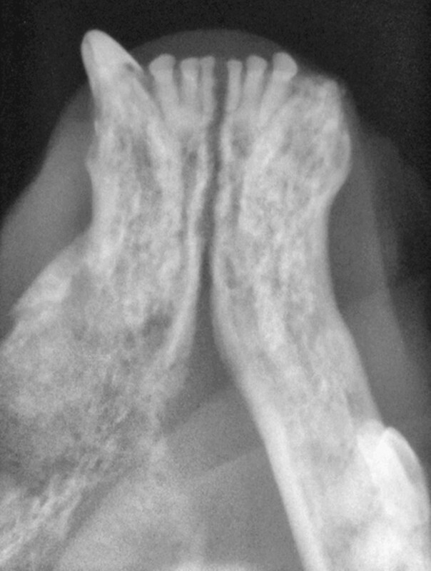
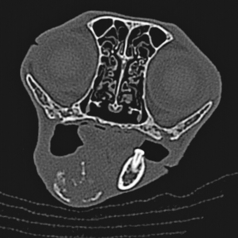
Dentale Röntgenaufnahmen sind gut geeignet zur Darstellung kleinerer Kieferabschnitte, ersetzen jedoch bei der diagnostischen Aufarbeitung von oralen Neoplasien nicht die Computertomografie. Die bei felinen Zahnpatienten routinemäßig angefertigten intraoralen Dentalröntgenaufnahmen aller Kieferabschnitte geben einen guten ersten Überblick über die Läsionen. Zahnröntgenaufnahmen sollten deshalb ohne Ausnahme angefertigt werden, auch von nicht zahntragenden Kieferabschnitten, um keine Befunde zu übersehen. Das Röntgenbild eines Patienten mit mandibulär lokalisiertem Plattenepithelkarzinom zeigt bereits die Destruktion des Knochengewebes mit Verlust der Kortikalis, während erst die Computertomografie das Ausmaß und die Ausdehnung der Läsion zeigt ( [Abb. 7] und [8] ).

Biopsie
Essentiell für die histologische Gewebediagnose ist die Entnahme einer tiefen Biopsie , die, wenn möglich, aus Bereichen entnommen wird, die bei potentiell nachfolgend notwendiger Resektion mit entfernt werden. Bereiche mit Nekrosen und hochgradigen Entzündungen sind bei der Biopsieentnahme zu meiden. Wird die Biopsie nicht genügend tief entnommen, kann unter Umständen lediglich die begleitende oberflächliche Infektion oder Ulzeration des Tumors erfasst werden. Feinnadelaspirationsproben sind aus gleichem Grund mit wenigen Ausnahmen meist nicht diagnostisch.

Odontogene Neoplasien
Odontogene orale Neoplasien verhalten sich biologisch benigne , obwohl auch diese mit enormen Tumorvolumina in Erscheinung treten können. Bei der Katze kommen Ameloblastom, Amyloid produzierender odontogener Tumor und feliner induktiver odontogener Tumor vor [1] , [2] . Alle genannten Tumore wachsen lokal expansiv und metastasieren nicht, deshalb ist die Prognose für die chirurgische Therapie gut, wenn die Größe der Läsion die großzügige Exzision noch erlaubt [1] . Bei einem akanthomatösen Ameloblastom ist die frühzeitige Resektion kurativ, und das klinische Bild sollte nicht dazu verleiten, auf die zur Diagnosestellung unerlässliche Biopsie zu verzichten ( [Abb. 9] ).

Periphere odontogene Fibrome ( [Abb. 10] ), früher als „Epulis“ bezeichnet, zählen ebenfalls zu den odontogenen Tumoren. Sie treten oft multipel auf und könnten kurativ behandelt werden, wenn bei Exzision auch der entsprechende Zahn sowie das komplette Parodontalligament mit entfernt werden.

Fazit
Bei der Aufarbeitung von felinen Patienten mit oralen Veränderungen sollte immer das potentielle Vorliegen einer Neoplasie in Betracht gezogen werden, da Neoplasien oft durch Entzündungen maskiert werden und sich wie eine Zahnpathologie darstellen können.
Die Dentalröntgenuntersuchung aller Kieferabschnitte ist hilfreich für die Detektion von Zahn- und Kieferknochenalterationen und sollte deshalb routinemäßig durchgeführt werden.
Unerlässliche Voraussetzung für eine korrekte Therapieplanung ist die bildgebende Diagnostik mittels Computertomografie sowie das Vorliegen der histologischen Gewebediagnose.
Wenn orale Neoplasien in einem frühen Stadium erkannt werden, sind auch bei malignen Tumoren realistische Therapiechancen gegeben. Die zeitnahe Aufarbeitung kann für den Patienten lebensrettend sein.

Der Originalartikel ist erschienen in:
van Suntum M, Klasen J. Maulhöhlentumore der Katze. Veterinärspiegel 2018; 28(02): 43 - 49. doi:10.1055/a-0623-1001.
(RG)
1 Chamberlain TP, Lommer M. Clinical behaviour of odontogenic tumors. In: Verstraete FJM, Lommer M. Hrsg. Oral and Maxillofacial Surgery in Dogs and Cats. 1. Aufl. Edinburgh: Saunders Elsevier; 2012: 406-407
2 Gardner DG, Dubielzig RR. Feline inductive odontogenic tumor (inductive fibroameloblastoma) – a tumor unique to cats. J Oral Path Med 1995; 24: 185-190
3 Gendler A. et al. Computed tomographic features of oral squamous cell carcinoma in cats: 18 cases (2002–2008). JAVMA 2010; 236 (03) 319-325
4 Hayes A. et al. COX-1 and COX-2 expression in feline oral squamous cell carcinoma. J Comp Pathol 2006; 135 (2 – 3): 93-99
5 Kessler M. Tumoren des Gastrointestinaltrakts. In: Kleintieronkologie. 3. Aufl., Stuttgart: Enke, Stuttgart; 2013: 262-280
6 Marconato L. et al. Multimodal therapeutic approach and interdisciplinary challenge for the treatment of unresectable head and neck squamous cell carcinoma in six cats: a pilot study. Vet Comp Oncol 2013; 11 (02) 101-112
7 Reiter AM. Controversial issues in veterinary dentistry. Pers comm and Proc 12 WVDC Prague 2013: 325.
8 Schwarz T. Oral Cavity, Mandible, Maxilla and Dental Apparatus. In: Schwarz T, Saunders J. Hrsg. Veterinary Computed Tomography. 1. Ausg. Chichester: Wiley-Blackwell; 2011: 111-136
9 Snyder LA. et al. p 53 expression and environmental tobacco smoke exposure in feline oral squamous cell carcinoma. Vet Pathol 2004; 41: 209-214
10 Stebbins KE. et al. Feline oral neoplasia: a ten-year survey. Vet Path 1989; 26 (02) 121-128
11 Steinhauer D. Pathologische Befunde bei FIV-infizierten Sektionskatzen [Diss Vet Med]. Giessen: 1999
12 Wiles V. et al. Retrospective evaluation of toceranib phosphate (Palladia) in cats with oral squamous cell carcinoma. J Fel Med Surg 2016; 19: 185-193




