Inhalt

Patienten mit Equinem Asthma sind in der täglichen Pferdepraxis häufig und meistens, auch aufgrund mangelnder Besitzercompliance, frustrierend. Dies liegt primär an der Tatsache, dass die für die Patienten zwingend notwendige Haltungs- und Fütterungsoptimierung oft nicht oder nicht ausreichend umgesetzt werden kann oder dies vom Besitzer aus unterschiedlichen Gründen nicht gewünscht ist [(Abb. 1)]. Kommt es dann nach initialer Verbesserung während der Therapie, nach dem Absetzen der Medikamente, zu einer erneuten Verschlechterung der Erkrankung, ist der Besitzer häufig unzufrieden. Die kürzlich im ACVIM Consensus Statement vorgeschlagene Umbenennung des Krankheitsbilds kann hier helfen, dem Besitzer das Wesen der Erkrankung durch den Vergleich mit Humanem Asthma näher zu bringen. Dieses ist auch nicht heilbar, sondern es steht ebenfalls die Kontrolle der Symptome bei gleichzeitiger Allergenvermeidung im Vordergrund.

Für das langfristige Management eines Pferdes mit Equinem Asthma (sowohl Inflammatory Airway Disease [IAD] als auch Recurrent Airway Obstruction [RAO]) ist es wichtig, den Kontakt zu den Allergenen, die für die Entzündung der unteren Atemwege und die Bronchokonstriktion verantwortlich sind, zu minimieren. Darüber hinaus gibt es auch viele unspezifische, die Lunge schädigende Einflussfaktoren, deren Reduktion ebenfalls bedacht werden muss.
Stallluft und Stallstaub
Die Qualität der Stallluft spielt eine große Rolle. Nicht nur der Staubanteil, auch die Luftbewegung, die Lufttemperatur und die Luftfeuchtigkeit sowie Schadgase und Kohlendioxid sind hier als wichtige Faktoren zu nennen. Am bedeutendsten sind die biologischen Klimafaktoren, d. h. die Belastung der Luft mit Schimmelpilzen, Milben, Bakterien, aber auch Viren sowie Pollen, Futter- und Einstreupartikel.
Bei Kohlendioxid handelt es sich nicht per se um ein Schadgas, es ist jedoch ein guter Anzeiger für die Luftqualität, da es in schlecht belüfteten Ställen mit „schlechter und verbrauchter“ Luft in zu großer Konzentration vorliegt. Der Ursprung von Kohlendioxid ist zum einen die Ausatemluft, zum anderen sind es Zersetzungsprozesse von Harn und Kot. Da es bei unzureichendem Luftaustausch entsteht, ist dieses Problem für gewöhnlich leicht zu beseitigen, indem ausreichend gelüftet und dem Pferd Frischluft zugeführt wird. Die klassischen Schadgase stellen Ammoniak und Schwefelwasserstoff dar, aber auch andere Schadgase wie Methan, Kohlenmonoxid und Stickstoffdioxid können auftreten.
Ammoniak ist das Hauptschadgas, das bei der bakteriellen Zersetzung von Harnstoff entsteht. Es ist ein farbloses, stechend riechendes Gas und wirkt reizend auf die Schleimhäute und kann so den Weg für Keime bereiten. Schwefelwasserstoff ist ein hochgiftiges Gas, das nach faulen Eiern riecht und bei der Zersetzung von schwefelhaltigen Aminosäuren entsteht. Wenn es festzustellen ist, spricht dies für sehr unhygienische Zustände. Grundsätzlich gilt es, die Schadgasbelastung so gering wie möglich zu halten. Je nach Entmistungsvariante und Einstreu kommt es zu unterschiedlich hoher Gasbildung.
Unter Stallstaub versteht man gewöhnlich feinste feste Partikel verschiedener Größen, die organischen oder anorganischen Ursprungs sind. Über 90% sind normalerweise organisches Material, das von Tieren, Futter und Einstreu verursacht wird. Die für Equines Asthma sehr bedeutenden Schimmelpilze stammen überwiegend aus hygienisch nicht einwandfreiem Heu und Stroh und stellen ca. 50% der Gesamtkeime in der Luft dar. Aspergillus und Penicillium bilden außerdem Mykotoxine. Die im Stallstaub enthaltenen Bakterien sind hauptsächlich Staphylokokken und Streptokokken, aber auch Enterobakterien werden gefunden. Zusätzlich sind Endotoxine, Zellwandbestandteile gramnegativer Bakterien, im Stallstaub enthalten. Viren im Stallstaub sind abhängig vom Infektionsstatus des Betriebs.
FAUSTREGEL
„Schlechtes“ Heu hat 12 × mehr Staub als „gutes“ Heu und „gutes“ Heu immer noch 6 × mehr Staub als Heulage.
Die Schadwirkung des Staubs ist auch abhängig davon, wie weit er in die Atemwege eindringen kann. Dies hängt von der Partikelgröße ab (< 5 µm sind alveolengängig). Aber auch die Verweildauer in der Luft spielt eine große Rolle. So weiß man, dass die mittlere Verweildauer von 5 µm großen Partikeln 100 Minuten ist. Dies ist gerade nach Aufschütteln von Heu oder auch nach dem Ausmisten zu berücksichtigen. Des Weiteren ist der Staubgehalt deutlichen Schwankungen unterworfen. Er ist tageszeitabhängig, je nach Arbeitsorganisation aber auch von der Arbeitsintensität abhängig (z. B. Misten, Füttern oder Kehren). Die größte Quelle des luftgetragenen Staubs sind Futter (Heu) und die Einstreu.
Aus diesem Grund sind die Stellschrauben, an denen gedreht werden kann, um die Staubbelastung im Stall zu verbessern, das Management, das Raufutter und die Einstreu. Die Staubbelastung durch Krippenfutter ist zwar im Vergleich eher gering, sollte aber ebenfalls durch Konfektionierung, z. B. Pelletierung, verbessert werden.
Managementfaktoren
Natürlich ist die Staubentwicklung in einem Stall nicht gänzlich vermeidbar, aber durchaus deutlich zu minimieren. So weiß man, dass zu Zeiten der Stallarbeitsphasen, wie Boxenreinigung, aber auch beim Einstreuen und Stallgasse kehren, die Schwebstaubkonzentration stark ansteigt und sich so die Staubbelastung der Pferde um den Faktor 6–7 erhöht. Das bedeutet, dass die Stallarbeiten in Abwesenheit der Pferde durchgeführt werden sollten. Weitere Maßnahmen sind eine ausreichende Frischluftzufuhr mit ausreichender Boxenhygiene zur Vermeidung von Ammoniakbildung.
Der Einsatz negativer Luftionisation zur Verbesserung der Luftqualität konnte in einer Studie keine Reduktion von Staub, Endotoxin und Pilzsporen erwirken. Auch in der Humanmedizin gibt es bislang keine klinischen Studien, die einen positiven Effekt auf Lungenfunktion oder Symptome von Asthmapatienten nachweisen konnten.
Da in Heulagerstätten eine deutlich höhere Belastung der Luft mit Keimen, Schimmelpilzen und Hefen vorliegt, sollte in den Stallungen selbst kein Heu oder Stroh gelagert werden. Optimalerweise sollte auch keine deckenlastige Raufutter-Einstreu-Lagerung bestehen.
Folgende Vorgehensweisen sollten bei Pferden mit Equinem Asthma unterlassen bzw. bedacht werden:
- Aufschütteln und Füttern von staubigem Heu sollte unbedingt vermieden werden.
- Es kommt zu einer weiteren Staubbelastung, wenn die anderen Pferde weiterhin trockenes Heu gefüttert bekommen.
- Das Waschwasser des Heus sollte auf keinen Fall mehrfach benutzt werden, sondern jedes Mal erneuert werden.
- Das Heu nur mit der Gießkanne nass zu machen, ist nicht zielführend.
- Der Einsatz selbstgebauter Heubedampfer ist stark zu hinterfragen, da die Wahrscheinlichkeit sehr groß ist, dass die Durchdringung nicht ausreichend ist.
Auch die Fütterung von Heu aus Heunetzen ist zu berücksichtigen: Hierbei kommt es zu einer Zunahme von einatembarem Staub in der Atmungszone des Pferdes, verglichen mit dem Füttern vom Boden.
Einstreu
Die Wahl der Einstreu ist von vielen Faktoren abhängig, vor allem von den materialspezifischen Eigenschaften, wie z. B. der Staubgenerierung, aber auch von der Wasseraufnahmekapazität und der Bindungskapazität von Ammoniak sowie der Schimmelpilzbelastung. Des Weiteren spielen betriebsabhängig weitere Eigenschaften eine Rolle, wie der Preis, die Verrottungsfähigkeit, die Mistmenge und auch der Arbeitsaufwand.
Zusätzliche Faktoren, die zu berücksichtigen sind, stellen z. B. das Fressverhalten der Pferde dar oder auch andere gesundheitliche Risiken, die mit bestimmten Einstreuarten einhergehen: Wenn Pferde vermehrt Einstreu fressen, kann dies im Fall von Lein- und Hanfstreu zu einem erhöhten Kolikrisiko, z. B. durch Verstopfungen, führen. Die Feuchtigkeit der Einstreu hat einen Einfluss auf die Hufe. Gerade auch was das Komfort- und Liegeverhalten von Pferden betrifft und eventuell die Entwicklung von Schlafdeprivation begünstigt, ist die Einstreu ein großer Einflussfaktor. So waren in einer Studie die Liegedauer auf Hobelspänen, Strohpellets und Langstroh vergleichbar. Pferde in Boxenhaltung können sich mit manchen Einstreuarten nicht genügend beschäftigen, was zu Langeweile führen kann. So beschäftigten sich Pferde mit Holzspänen und gehäckseltem Miscanthus deutlich weniger als mit Stroh. Fast gar keine Beschäftigung mit der Einstreu konnte bei Miscanthus-Pellets festgestellt werden.
Will man die verschiedenen Einstreumaterialien bezüglich ihrer Eignung für lungenkranke Pferde vergleichen, stößt man leider auf das Problem, dass nicht alle Einstreumaterialien in allen Studien verwendet werden und auch unterschiedliche Testmethoden angewandt werden.
Staubgenerierung
Weizenstroh hatte im Vergleich zu Strohpellets und Spänen die höchste Staubgenerierung. Auch Leinenstreu und Hanf hatten eine deutlich höhere Schwebstaubentwicklung als z. B. Strohpellets und Papierschnipsel.
Wasseraufnahmekapazität
In Studien, die die Saugfähigkeit unterschiedlicher Einstreumaterialien überprüften, stellten sich z. B. Strohpellets als sehr saugfähig dar, während Dinkelkornstreupellets und Holzpellets eher schlecht saugfähig waren, am schlechtesten schnitt hier auch das Weizenstroh ab.
Bindungskapazität von Ammoniak
Gerade zu neuen, alternativen Einstreuarten gibt es Studien: so hat Torf als Einstreu eine sehr gute Ammoniakbindung im Vergleich zu Spänen. Leinstroh und Hanf haben eine hohe Ammoniakemission, während bei Kokoseinstreu eine gute NH3-Absorptionskapazität festgestellt wurde. In einer anderen Studie zeigte eine Holzpelletseinstreu eine deutlich geringere Ammoniakemission als Stroh aufgrund der besseren Stickstoffbindung. In einer anderen Studie zeigte Stroh die höchste Ammoniakemission, Späne und Miscanthus-Hackschnitzel waren vergleichbar in ihrer Ammoniakbindung und eine sehr geringe Ammoniakemission war bei Miscanthus-Pellets vorhanden. Keimgehalt Die Gesamtkeimzahl und die Schimmelpilzbelastung sind bei Weizenstroh deutlich höher als bei Strohpellets und Spänen. Nach 2 Wochen zeigte sich jedoch auch ein deutlicher Anstieg bei den Strohpellets.
Einstreuempfehlung für lungenkranke Pferde
Da es nicht für alle Betriebe die einzig wahre Einstreu gibt, gilt es, folgende Punkte für lungenkranke Pferde zu berücksichtigen:
- wenig Staub
- gute Ammoniakbindung
- keine Belastung mit Schimmelpilzen
Bezüglich dem häufigen Vergleich von Spänen und Stroh ist zu sagen, dass die Kombination aus Späneeinstreu und Heulage der von Stroh und Heu deutlich überlegen war, so war in einer Studie die Staubbelastung um 86% geringer.
Raufutter
Bei Pferden mit Equinem Asthma ist eine Möglichkeit des Managements natürlich der 24-stündige Weidegang ohne Zufütterung von Heu oder Stroh. Dies ist in Deutschland das ganze Jahr über kaum möglich, weshalb die Alternative zur Fütterung von trockenem Heu, entweder nasses Heu oder Heulage/Silage bedeutet. Alternativ kann das Heu auch bedampft werden. Eine reine Heucobsfütterung ist zwar prinzipiell möglich, aber nur in absoluten Ausnahmefäll. en zu rechtfertigen, da es das Kaubedürfnis des Pferdes nicht befriedigt und das Pferd auch nicht ausreichend beschäftigt ist und sich so weitere Probleme, wie Verdauungs- oder Verhaltensprobleme, ergeben können.
Grundsätzlich ist auf eine hygienisch gute Qualität des Heus zu achten. Aber auch in qualitativ hochwertigem Heu finden sich Schimmelpilze.
Nasses Heu, Heulage und Silage
Merke
Durch (10-minütiges) komplettes Wässern von Heu werden die lungengängigen Partikel sehr deutlich reduziert.
Längeres Wässern, wie z. B. bei Pferden mit Equinem Metabolischem Syndrom empfohlen, birgt jedoch die Gefahr der Vermehrung von Mikroorganismen und führt auch zu Nährstoffverlusten (wasserlösliche Kohlenhydrate und Mineralien). Das Waschwasser muss verworfen werden und sollte keinesfalls erneut benutzt werden. Probleme, die Besitzer beim Wässern des Heus häufig erwähnen, sind die Praktikabilität, speziell auch im Winter, wenn es friert und auch die Akzeptanz des gewässerten Heus durch die Pferde. Keine Alternative zum Wässern ist das reine Befeuchten von Heu, z. B. mit der Gießkanne.
Alternativ zum Wässern des Heus kann auch Heulage oder Silage zum Einsatz kommen. Hier ist jedoch die Herstellung und Verwendung zu berücksichtigen, gerade in Bezug auf Ballensilage vs. Fahrsilo und die Qualität der Silage (Trockensubstanzgehalt des Grases, Verdichtung, Milchsäuregärung, Verpackung). Auch die Haltbarkeit der Heulage/Silage nach dem Öffnen der Verpackung und die Relation zum Verbrauch durch das Pferd/die Pferde müssen bedacht werden. Und natürlich die potenziell mit der Fütterung von Heulage/Silage einhergehenden Risiken, wie z. B. Botulismus.
Heubedampfer
Durch die Bedampfung von Heu (50 min über 70 °C) mit einem kommerziell erhältlichen Heubedampfer, kommt es zur deutlichen Reduktion von Bakterien (86%), Pilze und Hefen waren in einer Studie nach Bedampfung nicht mehr nachweisbar, wobei jedoch davon auszugehen ist, dass die abgetöteten Pilze und Bakterien natürlich nach wie vor im Heu vorhanden sind.
Generell lassen sich durch Bedampfen die einatembaren Partikel um 94% reduzieren. Lagert man das bedampfte Heu für 24 h, weist es immer noch eine im Vergleich zu trockenem Heu um 79% reduzierte Keimzahl auf, wobei hier in der Realität sicher zu beachten ist, wie und wo das bedampfte Heu gelagert wird und deshalb dieses Vorgehen nicht unbedingt zu empfehlen ist.
In einer Studie stelle sich der kommerziell erhältliche Heubedampfer bezüglich des Abtötens von Bakterien und Pizen als auch der Reduktion von einatembaren Partikeln als genauso effektiv wie Heu nass heraus [26]. Durchflusszytometrisch konnte gezeigt werden, dass einatembare (< 5 µm) und inhalierbare (< 100 µm) Partikel durch einen kommerziellen Heubedampfer deutlich reduziert werden.

Problematisch wird es beim Einsatz selbst gebauter Heubedampfer. Diese können laut einer Studie heterogene, teils suboptimale Temperaturen im Heu aufweisen und so die Kontamination des Heus noch verstärken[(Abb. 2)].
Weitere Studien mit Heubedampfung konnten zeigen, dass das bedampfte Heu eine bessere Akzeptanz aufweist und darüber hinaus kaum Nährstoffverluste vorliegen, da es zwar zu einer Reduktion der wasserlöslichen Kohlenhydrate um ca. 20% kommt, aber kaum zu Mineralstoffverlusten.
Weitere Verfahren
Weitere Möglichkeiten, die Staubbelastung durch Heu zu minimieren, sind technische Verfahren, wie die Heutrocknung oder auch der Einsatz von Heuentstaubern, auf die hier nicht näher eingegangen werden soll.
Kraftfutter
Beim Kraftfutter ist ebenfalls auf die Reduktion der Staubbelastung zu achten. Das Getreide sollte, wenn möglich, entstaubt sein oder es können pelletierte oder extrudierte Futtermittel verwendet werden. Auch entstaubtes Getreide mit Zusatz von 3% Rapsöl oder 3% Melasse ist möglich. Selbst der Zusatz von Wasser kann bereits die luftgetragenen Partikel bei Fütterung von Hafer reduzieren, wenn auch nicht so stark wie der Zusatz von Rapsöl oder Melasse. Die Verwendung großer Krippen ermöglicht es den Pferden darüber hinaus das Futter zu schieben.
Faktor Zeit
Für gewöhnlich sind mehr als 3 Monate in der staubreduzierten Umgebung notwendig, bevor die maximale Verbesserung der Lungenfunktion zu beobachten ist. Wird dies nicht berücksichtigt, führt dies beim Pferdebesitzer häufig zu der Meinung, dass die Haltungsoptimierung nicht geholfen hat. Selbst wenn die Pferde über längere Zeit unter optimierten Haltungsbedingungen klinisch gut sind, führt eine erneut suboptimale Umgebung bei vielen und im Fall von hochgradig asthmatischen Pferden bei allen zum rezidivierenden Auftreten der Symptome. Dies macht man sich experimentell im Rahmen der sog. „Moldy Hay Challenge“ zunutze, da man weiß, dass Pferde mit Equinem Asthma, wenn sie schimmligem Heu ausgesetzt sind, innerhalb kürzester Zeit anfangen, klinische Symptome zu zeigen.
Weitere Umweltfaktoren
Weitere Umweltfaktoren, die Einfluss auf die Lungengesundheit des Pferdes haben können, sind die Reitböden. So sind die Staubexposition, aber auch die verwendeten Materialien zu berücksichtigen. Anorganische Silikate (Sand, Quarz) können potenziell zu chronischen Lungenschäden und Silikose (Quarzstaublunge) führen. Auch Holzstäube von Hackschnitzeln können bedenklich sein, so werden z. B. der Eiche und der Buche kanzerogene Eigenschaften nachgesagt. Hackschnitzel von Robinie und Schwarznuss sollten generell aufgrund ihrer Toxizität bei Aufnahme oder auch Berührung nicht bei Pferden eingesetzt werden
Sand-Textil-Reitplatz-Gemische haben deutlich mehr einatembare Staubpartikel. Noch ungeklärt ist unter anderem, was Vlies- oder Teppichschnitzel-Abrieb in der Lunge des Pferdes verursacht, da es sich hier durchaus um lungengängige Faserfragmente handelt. Auch ist noch unklar, welche Auswirkungen anorganische Zuschlagstoffe der modernen Reitplatzböden auf die Lunge haben (synthetische Stoffe, Mikroplastik etc.). In einer Publikation aus dem Jahr 2019 konnte eine Assoziation zwischen hochgradigem Equinen Asthma und IgE-Antikörpern gegen Latexproteine gefunden werden.
Aber nicht nur das Material ist hier ausschlaggebend, sondern auch das Management des Reitplatzes bzw. der Reithalle. So kann mit Bewässerung der Tretschicht eine deutliche Staubreduktion erreicht werden. Die Entfernung von Staubnestern aus der Reithalle vermindert die luftgetragene Schimmelpilzkonzentration. Ist die Halle direkt an den Stall angebaut, hilft es hier, die Verbindungstüren geschlossen zu halten und einen Luftaustausch zwischen Stall und Reithalle zu vermeiden.
In Einzelfällen muss ermittelt werden, ob es in der Umgebung Faktoren gibt, die das von Equinem Asthma betroffene Einzelpferd negativ beeinflussen, z. B. Misthaufen direkt vor der Box des Pferdes.
Weitere betriebsabhängige Faktoren, die in Überlegungen mit einbezogen werden können, wenn in einem Betrieb vermehrt Fälle mit Equinem Asthma sind:
- Die Belegung und Belegungsdichte sollte angepasst werden, gerade wenn in einem Gebäude viele Tiere untergebracht sind. Hier empfiehlt es sich, Untereinheiten zu bilden und auch das Personal entsprechend zuzuteilen.
- Die Nutzungsrichtung der Pferde im Betrieb ist ebenfalls von großer Bedeutung. So führen Handel und häufiger Transport zu einem höheren Infektionsrisiko. Es sollten Quarantänemöglichkeiten zur Verfügung stehen und auch Wert auf eine regelmäßige Grundreinigung mit Desinfektion gelegt werden.
- Mit hinein spielt hier auch das Alter der Pferde. So haben Jungpferde eine erhöhte Infektionsgefahr und sollten deshalb von den anderen Pferden, welche u. U. regelmäßig auf Turniere gehen, getrennt sein.
- Auch Stress und andere Erkrankungen wirken sich insgesamt negativ aus. Ein gutes Betriebsmanagement auch im Hinblick auf Entwurmungen und Impfungen ist hier anzuraten.
Bewegung
Die Bewegung von Pferden mit Equinem Asthma ist sinnvoll, da hierdurch die Clearance der Atemwege stimuliert wird. Die Bewegung ist der Leistungsfähigkeit des individuellen Pferdes anzupassen und sollte nur in staubarmer Umgebung stattfinden. Husten als Reinigungsmechanismus ist hierbei zu tolerieren, allerdings dürfen keine Hustenanfälle auftreten. Auch ist darauf zu achten, dass das Pferd keine pumpende Atmung entwickelt.
Die Umsetzung der Haltungsoptimierung und die Einbeziehung der anderen Pferde, z. B. in einem Pensionsstall, ist häufig sehr schwierig und nicht zu realisieren. Jedoch sind immer Verbesserungen möglich und es muss für den individuellen Fall festgestellt werden, ob diese ausreichend sind, um das Krankheitsbild zu kontrollieren. Auch ist es wichtig, dem Besitzer klar zu machen, dass diese Haltungsumstellung nur erfolgreich sein kann, wenn sie langfristig beibehalten wird.
Medikamentelle Therapie
Die Therapie mit Medikamenten ist nur symptomatisch und zusätzlich zur Haltungsoptimierung zu sehen. Sie hat zum Ziel, die klinischen Symptome zu verbessern (bei mildem, moderatem und schwerem Equinen Asthma) und den Patienten auf einem zufriedenstellendem Niveau zu stabilisieren sowie Exazerbationen möglichst zu verhindern (bei schwerem Equinen Asthma).
Bei der Wahl der Medikamente besteht ein Unterschied in der Herangehensweise zwischen dem deutschsprachigen und dem angloamerikanischen Raum, da im angloamerikanischen Raum primär Kortikosteroide bei Equinem Asthma zum Einsatz kommen.
In Deutschland wird meist zunächst laut Stufentherapie ein Bronchodilatator, evtl. auch als Kombinationsprodukt mit einem Schleimlöser, eingesetzt und erst mit zunehmender Schwere des Krankheitsverlaufs Kortikosteroide. Auch bezüglich der Schleimlöser scheiden sich die Geister. Während in Deutschland traditionell so gut wie immer ein Schleimlöser eingesetzt wird, ob als Einzelmedikament, wie ACC oder Dembrexin oder als Kombination mit Clenbuterol, wird dies vom ACVIM Consensus Statement als Therapie für mildes und moderates Equines Asthma nicht näher ausgeführt und scheint auch bei der Therapie von hochgradigem Equinen Asthma im angloamerikanischen Raum nicht üblich zu sein. Der alleinige Einsatz eines Schleimlösers bei Equinem Asthma wird außerdem als wenig erfolgversprechend angesehen.
Für die Therapie von Equinem Asthma stehen uns, neben der zwingend notwendigen Haltungs- und Fütterungsoptimierung, mehrere Wirkstoffgruppen zur Verfügung. Der Einsatz der meisten dieser Therapieoptionen beruht auf der klinischen Erfahrung und/oder auf Daten von Studien an Pferden mit RAO (hochgradigem Equinen Asthma). Bezüglich der in der angloamerikanischen Literatur manchmal im Vergleich höheren Dosierungsvorschläge ist anzumerken, dass diese oft darauf beruhen, dass in den Studien meist Pferde mit höchstgradigem Krankheitsverlauf verwendet wurden.
Systemisch oder inhalativ?
Bei Equinem Asthma besteht sowohl die Möglichkeit des systemischen Einsatzes der Wirkstoffe oder auch die der inhalativen Anwendung. Zu berücksichtigen sind hier allgemeine Vor- und Nachteile:
Vorteile bei systemischer Verabreichung:
- meist besser bei akutem Problem, aufgrund des großen Totraums kommen inhalativ verabreichte Medikamente schlecht in die terminalen Bronchioli
- leichtere Verabreichung durch den Besitzer, da weniger zeitaufwändig und kostenintensiv (verglichen mit der Anschaffung eines Inhalators)
Nachteil bei systemischer Verabreichung:
- Bei Kortikosteroiden sind die systemischen Auswirkungen bezüglich der Suppression der HPA-Achse größer und damit das Risiko von Nebenwirkungen, wie z. B. Immunsuppression und Hufrehe, beim prädisponierten Pferd
Vorteile bei Inhalation:
- Besser, wenn Remission gefördert werden soll oder um eine Verschlechterung zu verhindern sowie präventiv ▪ Effektivität ist stark abhängig von physikalischen, chemischen und auch mechanischen Eigenschaften und der Partikelgröße (< 5 µm)
- geringere Suppression der HPA-Achse bei Kortikosteroiden
- schneller Wirkeintritt und kürzere Eliminationszeit
Nachteile bei Inhalation:
- initial hohe Kosten (Inhalator)
- Dosierungsungenauigkeiten, da ein mehr oder weniger großer Teil des Medikaments die tiefen Atemwege nicht erreicht (Wirkstoff wird über Mukosa des Pharynx resorbiert oder auch abgeschluckt
Außerdem spielen natürlich die Verfügbarkeit der Medikamente und die Zulassung eine Rolle.
Inhalationstherapie
Für die Inhalationstherapie bei Equinem Asthma des Pferdes gibt es verschiedene Möglichkeiten.
So ist der Einsatz von sog. MDIs (Metered Dose Inhalers) möglich. Hierbei handelt es sich um eine Mischung aus Gas und Flüssigkeit: die MDIs müssen immer gut geschüttelt werden (mind. 30 sec). Der MDI muss Raumtemperatur haben und man sollte den ersten Sprühstoß verwerfen. Er ist vertikal zu halten und in der Inspiration zu benutzen, immer in Kombination mit einer Inhalierhilfe (Spacer), die luftdicht abschließen sollte, da sonst zu viel Medikament verloren geht. Es sollten nicht mehr Sprühstöße verabreicht werden, als auf der Packung stehen, da dann nicht mehr die richtige Menge bzw. kein Wirkstoff mehr enthalten ist.
Im Gegensatz zu MDIs, die unabhängig vom Respirationsfluss sind, sind die sog. Trockenpulverinhalatoren (Dry Powder Inhaler = DPI) abhängig vom Respirationsfluss des Patienten, d. h. müssen direkt eingeatmet werden. Aus diesem Grund sind diese Mischungen aus Wirkstoff in Pulverform und Laktose nicht für den Einsatz beim Pferd geeignet.
Eine weitere Art der inhalativen Verabreichung bietet der Ultraschallvernebler.
Allen Nebulisatoren und MDIs ist gemeinsam, dass sie aus 3 Elementen bestehen müssen, um sie beim Pferd einsetzen zu können: dem Aerosolgenerator, einem Spacer (Inhalierhilfe) sowie einer Maske für die Nüstern.
Bei der Verabreichung von Inhalationsmedikamenten muss immer das Augenmerk auf der Sauberkeit und Hygiene der Maske und der Inhalierhilfe liegen. Auch auf eine korrekte Handhabung ist zu achten, um sicherzustellen, dass das inhalierte Medikament auch tatsächlich die Lunge erreicht. Aus der Humanmedizin weiß man, dass häufig Anwenderfehler vorliegen und es so durch eine nicht korrekte Handhabung zu angeblichem Therapieversagen bei Asthma kommt. Dies sollte man auch bei Pferden im Hinterkopf haben und bei einem Nicht-Ansprechen auf Therapie überprüfen, ob nicht doch Anwenderfehler vorliegen. Je nach Applikationssystem, Medikament, Atemtyp des Pferdes etc. gelangen unterschiedliche Mengen an Wirkstoff in die unteren Atemwege, was bei der Dosierung zu berücksichtigen ist und weshalb die Dosisempfehlungen immer individuell an die Wirkung anzupassen sind.
Auch sollte bei der inhalativen Verabreichung von Medikamenten an Pferde bedacht werden, dass in der Nähe des Patienten die Luft mit dem Medikament kontaminiert ist.
Inhalation unter Belastung?
Eine in der Pferdemedizin häufig gestellte Frage ist die, ob die Inhalation besser in Ruhe oder unter Belastung stattfinden sollte. Bei einer Studie, in der 12 Pferde mit Equinem Asthma während einer Haltungsoptimierung für 10 Tage mit Budesonid inhaliert haben, konnten keine signifikanten Unterschiede zwischen der Gruppe, die in Ruhe inhaliert hat und der, die unter Belastung inhaliert hat, gefunden werden. Beide Gruppen zeigten eine signifikante Verbesserung der klinischen Anzeichen.
Aufgrund der physikalischen Grundlagen empfiehlt sich die Inhalation in Ruhe, da unter Belastung die eingeatmeten Partikel deutlich mehr Beschleunigung erfahren und somit die Wahrscheinlichkeit steigt, dass sie nicht bis in die Lunge gelangen, sondern im Pharynx an der Schleimhaut haften bleiben, von wo sie abgeschluckt werden.
Bronchodilatatoren
Bei den Bronchienweitstellern, die zur Entspannung der glatten Bronchialmuskulatur führen, gibt es 2 unterschiedliche Wirkstoffgruppen: die Anticholinergika (Parasympatholytika) und die Beta2-Agonisten (Sympathomimetika). Bei ihrem Einsatz sollte sichergestellt sein, dass Noxen und Infektionserreger nicht dadurch die Bronchioli und Alveoli erreichen.
Parasympatholytika
N-Butylscopolamin
Der bekannteste Vertreter der Parasympatholytika ist das N-Butylscopolamin, das aufgrund seines guten und schnellen bronchodilatatorischen Effekts bei Pferden mit akuter Exazerbation von schwerem Equinen Asthma eingesetzt werden kann.
Dieser Inhalt unterliegt den Bestimmungen gemäß Heilmittelwerbegesetz (HWG) und darf nur berechtigten Personen zugänglich gemacht werden. Bitte loggen Sie sich ein, um diesen Inhalt zu sehen.
Aus diesem Grund eignet es sich auch nicht für eine längere Therapie, sondern sollte nur im Fall akuter Dyspnoe eingesetzt werden. Das Ansprechen auf N-Butylscopolamin gibt zudem einen Hinweis, welchen reversiblen Anteil die Bronchokonstriktion am klinischen Bild hat. Neben der Bronchodilatation sind zwar eine Erschlaffung der glatten Muskulatur des Gastrointestinaltrakts und eine Tachykardie als systemische Wirkungen zu erwarten, allerdings ist der Einsatz von N-Butylscopolamin insgesamt als relativ risikoarm, also ohne relevante Nebenwirkungen, zu bewerten.
Atropin
Atropin kann ebenfalls bei akuter Dyspnoe oder auch zu diagnostischen Zwecken, zur Bestätigung der Bronchokonstriktion, die dann verschwindet, eingesetzt werden
Dieser Inhalt unterliegt den Bestimmungen gemäß Heilmittelwerbegesetz (HWG) und darf nur berechtigten Personen zugänglich gemacht werden. Bitte loggen Sie sich ein, um diesen Inhalt zu sehen.
Ipratropium
Das inhalativ oder per MDI in der Humanmedizin eingesetzte Ipratropium ist ein synthetisches Anticholinergikum, das neben der Bronchodilatation, welche einen besseren Effekt auf die zentralen größeren Bronchien und weniger auf die Peripherie hat, auch eine Hustenunterdrückung bewirkt. Es hat einen Wirkeintritt von ca. 15– 30 min, und die Wirkung hält für 4–6 h an.
Dieser Inhalt unterliegt den Bestimmungen gemäß Heilmittelwerbegesetz (HWG) und darf nur berechtigten Personen zugänglich gemacht werden. Bitte loggen Sie sich ein, um diesen Inhalt zu sehen.
Eine Kombination mit einem beta2-Agonisten ist möglich, z. B. gleichzeitiger Einsatz eines oralen beta2-Agonisten und zusätzliche Inhalation mit Ipratropium.
Tiotropium
Des Weiteren gibt es humanmedizinische Präparate mit Anticholinergika, wie z. B. dem langwirksamen muscarinergen Antagonisten Tiotropium, wobei hier noch keine ausreichenden Daten zum Einsatz beim Pferd vorliegen.
Beta2-Agonisten
Die zweite Gruppe der Bronchienweitsteller sind die zu den Sympathomimetika gehörenden beta2-Agonisten. Diese wirken spezifisch an den beta2-Rezeptoren der Muskelzellen der Atemwege, aber natürlich auch an den beta2-Rezeptoren des tragenden Uterus
Clenbuterol
Clenbuterol ist für die orale Anwendung und die Indikation Bronchodilatation beim Pferd zugelassen. Es hat eine dosisabhängige Wirkung
Dieser Inhalt unterliegt den Bestimmungen gemäß Heilmittelwerbegesetz (HWG) und darf nur berechtigten Personen zugänglich gemacht werden. Bitte loggen Sie sich ein, um diesen Inhalt zu sehen.
Clenbuterol wird primär bei Patienten mit hochgradigem Equinen Asthma eingesetzt, wo eine Ruhedyspnoe vorliegt. Bei Patienten mit mildem und moderatem Equinen Asthma (IAD) gilt der Einsatz als eher empirisch, da hier keine Ruhedyspnoe vorliegt. Man geht davon aus, dass aber die Hemmung des Hustens und die Förderung der mukoziliären Clearance durch Clenbuterol sich hier positiv auswirkt. Insgesamt gesehen ist jedoch der Nutzen von Clenbuterol bei Patienten mit mildem und moderatem Equinen Asthma unklar.
Salbutamol, Levobuterol und Salmeterol
Dieser Inhalt unterliegt den Bestimmungen gemäß Heilmittelwerbegesetz (HWG) und darf nur berechtigten Personen zugänglich gemacht werden. Bitte loggen Sie sich ein, um diesen Inhalt zu sehen.
Kortikosteroide
Kortikosteroide werden als das effektivste Medikament für Equines Asthma angesehen und sowohl systemisch als auch inhalativ eingesetzt. Ziel der Wirkung ist die Verminderung der Schleimhautschwellung, die wohl auch die Ursache für die innerhalb weniger Stunden nach Verabreichung zu beobachtende Verbesserung ist. Interessanterweise besteht jedoch eine Insensitivität der neutrophilen Granulozyten in der Lunge gegenüber Kortikosteroiden. Selbst eine 6-monatige Therapie führt nicht zur Normalisierung der Atemwegs-Neutrophilie.
Dexamethason und Prednisolon
Zur systemischen Therapie des Equinen Asthmas kommen primär Dexamethason und Prednisolon zum Einsatz, wobei Dexamethason das potentere ist. Nachteile der systemischen Verabreichung sind die Suppression der Nebenniere, eine Immunsuppression sowie möglicherweise Hufrehe. Hier sind vor allem die prädisponierten Patienten, wie Pferde mit PPID (Pituitary Pars Intermedia Dysfunction, syn. Equines Cushing Syndrom) oder EMS (Equines Metabolisches Syndrom) oder auch Adipositas und der Einsatz von Dexamethason zu erwähnen.
Der Einsatz von Prednisolon oder Dexamethason führt gewöhnlich innerhalb von 3 –7 Tagen zu einer Besserung.
Dieser Inhalt unterliegt den Bestimmungen gemäß Heilmittelwerbegesetz (HWG) und darf nur berechtigten Personen zugänglich gemacht werden. Bitte loggen Sie sich ein, um diesen Inhalt zu sehen.
Bei der Inhalation von Kortikosteroiden ist die systemische Wirkung abhängig von der Absorption durch den Respirations- und Gastrointestinaltrakt. Außerdem der Stärke, der systemischen Halbwertszeit sowie der Verabreichungseffizienz (kommt das Kortikosteroid tatsächlich in der Lunge an oder wird ein Großteil aus dem Pharynx abgeschluckt). Auch die Rezeptoraffinität des Kortikosteroids spielt eine Rolle und wie lange das Medikament in der Lunge verbleibt. Dies erklärt, warum auch inhalierte Kortikosteroide, wie Beclomethason, Fluticason oder Budesonid die systemische Zirkulation erreichen und die Serumkortisolkonzentration reduzieren können (Wirkung auf HPA-Achse). In keiner dieser Studien konnte jedoch eine klinisch bemerkbare Suppression der Immunantwort oder andere schwere, systemische Nebenwirkungen beobachtet werden.
Beclomethason, Budesonid und Fluticason
Sowohl Beclomethason als auch Budesonid und Fluticason wurden mittels Inhalation erfolgreich bei Equinem Asthma eingesetz
Dieser Inhalt unterliegt den Bestimmungen gemäß Heilmittelwerbegesetz (HWG) und darf nur berechtigten Personen zugänglich gemacht werden. Bitte loggen Sie sich ein, um diesen Inhalt zu sehen.
Bei Budesonid gab es in einer Studie eine dosisabhängige Verbesserung der Lungenfunktion. Die Dosierungen sind als Orientierung anzusehen und sollten individuell nach Wirkung überprüft werden.
Ciclesonid
Ciclesonid, ein inhalativ zu verabreichendes Kortikosteroid der 3. Generation, das bereits seit längerem in der Humanmedizin eingesetzt wird, hat seit kurzem in Kombination mit dem Soft Mist™ Inhalationssystem EquiHaler®, der auf der humanmedizinischen Respimat ® Technologie basiert, als Inhalationsprodukt eine Zulassung für schweres Equines Asthma. Bei Ciclesonid handelt es sich um eine Medikamentenvorstufe (sog. Prodrug) mit sehr geringer Affinität zu Glucocorticoidrezeptoren, weshalb es keine systemischen Effekte hat. Unterstützt wird dies durch die Tatsache, dass es eine sehr niedrige (< 1%) orale Bioverfügbarkeit besitzt, eine hohe Plasmabindung (99%) sowie schnell ausgeschieden wird. Erst nach Inhalation wird es in der Lunge zum eigentlichen Wirkstoff enzymatisch aktiviert, womit sich die Affinität zu den Glucocorticoidrezeptoren um den Faktor 100–120 verstärkt.
Dieser Inhalt unterliegt den Bestimmungen gemäß Heilmittelwerbegesetz (HWG) und darf nur berechtigten Personen zugänglich gemacht werden. Bitte loggen Sie sich ein, um diesen Inhalt zu sehen.
Kombinationspräparate aus Bronchodilatator und Corticosteroid
In der Humanmedizin stehen unterschiedliche Kombinationspräparate zur Inhalation zur Verfügung. So konnte in einer Studie gezeigt werden, dass der Einsatz einer Fluticason-Salbutamol-Kombination bei 10 asthmakranken Pferden zu einer signifikanten Verbesserung der klinischen Befunde als auch der Endoskopie-, Labor und Zytologiebefunde führte.
Sekretolytika, Mukolytika und Expektorantien (Sekretomotorika)
Der Einsatz von Mukolytika und Sekretolytika sowie Expektorantien ist in Deutschland seit jeher weit verbreitet, jedoch erstaunlich wenig dokumentiert und evidenzbasiert. In vielen Fällen ist der Nutzen unklar oder die Wirkung nicht zufriedenstellend. Ziel dieser Medikamente ist die Beeinflussung der Dyskrinie.
Sekretolytika
Sekretolytika sollen die wässrige Sekretion des Bronchialepithels steigern und so zur Ablösung des zähen Mukus von den Wänden der Atemwege und dessen Abtransport beitragen.
Dembrexin
Dembrexin ist hierfür zur oralen Gabe beim Pferd zugelassen
Dieser Inhalt unterliegt den Bestimmungen gemäß Heilmittelwerbegesetz (HWG) und darf nur berechtigten Personen zugänglich gemacht werden. Bitte loggen Sie sich ein, um diesen Inhalt zu sehen.
Es soll zudem über eine vermehrte Synthese von Surfactant die Adhäsivität des Bronchialschleims vermindern. Das vermehrt gebildete wässrige Sekret führt außerdem zu einer vermehrten Zilienaktivität und soll so die mukoziliäre Clearance verbessern.
Bromhexin und Ambroxol
Bromhexin und Ambroxol sind weitere Sekretolytika, die beim Pferd zum Einsatz komme
Dieser Inhalt unterliegt den Bestimmungen gemäß Heilmittelwerbegesetz (HWG) und darf nur berechtigten Personen zugänglich gemacht werden. Bitte loggen Sie sich ein, um diesen Inhalt zu sehen.
Reflexsekretolytika
Weitere Substanzen, die als sog. Reflexsekretolytika zum Einsatz kommen, sind z. B
Dieser Inhalt unterliegt den Bestimmungen gemäß Heilmittelwerbegesetz (HWG) und darf nur berechtigten Personen zugänglich gemacht werden. Bitte loggen Sie sich ein, um diesen Inhalt zu sehen.
Mukolytika
Mukolytika werden eingesetzt, um die Viskosität des Sekrets zu vermindern. Der Wirkmechanismus ist der einer Spaltung von Disulfidbrücken in Mukopolysacchariden und Mukoproteinen, um kleinere, wasserlöslichere Moleküle zu erhalten, die leicht abtransportiert werden können.
Das für die Schleimlösung beim Pferd zugelassene Medikament ist Acetylcytein.
Dieser Inhalt unterliegt den Bestimmungen gemäß Heilmittelwerbegesetz (HWG) und darf nur berechtigten Personen zugänglich gemacht werden. Bitte loggen Sie sich ein, um diesen Inhalt zu sehen.
Bei der Therapie humaner Asthmaerkrankungen spielen Schleimlöser im medikamentösen Stufenschema keine Rolle.
Sekretomotorika
Unter Sekretomotorika fallen Wirkstoffe, die die Aktivität des Flimmerepithels der Bronchialschleimhaut steigern und so zur Verbesserung der mukoziliären Clearance beitragen. Sowohl Clenbuterol als auch Dembrexin wird eine sekretomotorische Wirkung nachgesagt. Bei mildem und moderatem Equinen Asthma (vormals IAD) erscheint der Einsatz von Expektorantien in den Fällen sinnvoll, wo in der Endoskopie eine vermehrte Sekretbildung zu sehen ist.

Weitere Therapien für Patienten mit Equinem Asthma
Mastzellstabilisatoren
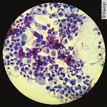
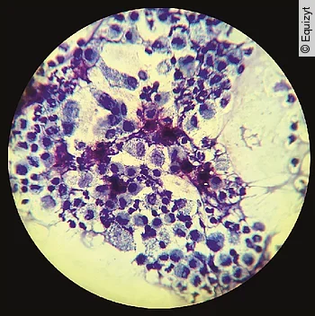
Der Einsatz von Mastzellstabilisatoren, wie Chromoglycin, wird nur dann als sinnvoll erachtet, wenn bei dem von Equinen Asthma betroffenen Pferd (meist Pferde mit mildem und moderatem Equinen Asthma) in der Bronchoalveolarlavage Zytologie der Anteil der Mastzellen deutlich erhöht ist [(Abb. 3)].
Dieser Inhalt unterliegt den Bestimmungen gemäß Heilmittelwerbegesetz (HWG) und darf nur berechtigten Personen zugänglich gemacht werden. Bitte loggen Sie sich ein, um diesen Inhalt zu sehen.
Die Wirkung, die mit einigen Tagen Verzögerung eintritt, wird jedoch nur dann als zuverlässig erachtet, wenn der Einsatz des Mastzellstabilisators prophylaktisch erfolgt, um eine verminderte Freisetzung der Entzündungsmediatoren aus der Mastzellgranula zu bewirken. Es ist jedoch noch nicht abschließend geklärt, welche Rolle Mastzellen bei Equinem Asthma spielen und welche klinische Signifikanz sie haben, wenn sie vermehrt in der Bronchoalveolarlavage gefunden werden.
Interferon alpha
Die orale Verabreichung von Interferon alpha schien die neutrophile Entzündung bei Trabrennpferden mit IAD positiv zu beeinflussen.
Dieser Inhalt unterliegt den Bestimmungen gemäß Heilmittelwerbegesetz (HWG) und darf nur berechtigten Personen zugänglich gemacht werden. Bitte loggen Sie sich ein, um diesen Inhalt zu sehen.
Hyperinfusionstherapie
Bei der Hyperinfusionstherapie, die auch unter dem Begriff „Lungenspülung“ bekannt ist, versteht man die Verabreichung großer Mengen Flüssigkeit, entweder intravenös und/oder per Nasenschlundsonde. Durch die große Menge an Flüssigkeit kommt es zum Absinken des osmotischen Drucks sowie zur pulmonalen Hypertension (Überdruck im Lungenkreislauf) mit Übertritt von Flüssigkeit in die Alveolen und so zu einer Verflüssigung des Schleims in der Lunge. Die Hyperinfusionstherapie mit Erzeugung eines „künstlichen Lungenödems“ wird kontrovers diskutiert und ist sicherlich Einzelfällen von hochgradigem Equinen Asthma vorbehalten. Über die positive Wirkung auf Sekretmenge und ‑zytologie wurde bereits unter anderem 1981 berichtet. In einer späteren Studie konnte gezeigt werden, dass sich die Lungenfunktion kurz nach der Hyperinfusion zunächst verschlechtert, was vermutlich auf das entstehende Lungenödem zurückzuführen ist. Eine Verbesserung der Lungenfunktion direkt nach Hyperinfusion war jedoch auch nicht zu erwarten, da die Hyperinfusionstherapie primär auf die Sekretolyse mit Verflüssigung des zähen Schleims abzielt.
Als Indikationen und Voraussetzung für eine Hyperinfusionstherapie werden angegeben
- Unbefriedigende Besserung der klinischen Symptomatik trotz Haltungsoptimierung und medikamentöser Bronchospasmolyse sowie Expektorantieneinsatz und Einsatz von Kortikosteroiden über 5–7 Tage
- Da mit einem vorübergehend verschlechtertem Gasaustausch zu rechnen ist, sollte die Hyperinfusion erst vorgenommen werden, wenn keine deutliche exspiratorische Dyspnoe mehr besteht und die arteriellen Blutgaswerte annähernd in der Norm sind und auch endoskopisch nicht mehr als ein Drittel des Lumens der Luftröhre durch Schleim verlegt ist
- Sie ist bei kardialen Erkrankungen kontraindiziert
Die Verabreichung von 67 ml/kg 0,9% NaCl an 3 aufeinanderfolgenden Tagen erfolgt über die Nasenschlundsonde und/oder intravenös. Eine engmaschige Überwachung des Patienten ist unumgänglich, da das Auftreten von akutem Kreislaufversagen bekannt ist und es in der Folge auch zu Todesfällen gekommen ist.
Solekammer/Halotherapie
Der in den letzten Jahren stark angestiegene Einsatz von Solekammern oder auch Solevernebelung in umgebauten Pferdehängern zeigt, dass die osmotische Wirkung und die dadurch erfolgende Sekretolyse den Zustand vieler Pferde mit Equinem Asthma verbessert. Dies stimmt mit den Meldungen aus der Humanmedizin (Einsatz von Halotherapie bei chronischen Lungenpatienten) überein. Leider gibt es jedoch hierzu keine wissenschaftlichen Studien.
Wichtig ist beim Einsatz von Sole, dass die Pferde tierärztlich untersucht sein müssen und die Indikation von einem Tierarzt bestätigt wird. Ansonsten läuft man Gefahr, Pferde mit infektiösen Atemwegserkrankungen in der Solekammer zu therapieren, was bei nicht optimalen Hygiene- und Desinfektionsmaßnahmen zu einem Infektionsrisiko für weitere Patienten werden kann. Gerade bei umgebauten Pferdehängern ist das Hygienerisiko nicht zu unterschätzen.
Auch die Inhalation von leicht hypertonen Lösungen (z. B. 3%iger NaCl oder Emser Sole nach Herstellerangaben) ist empirisch oft hilfreich.
Weitere Medikamente
Medikamente, die immer wieder diskutiert werden, aber beim Pferd bei der Therapie des Equinen Asthmas keine ausreichenden Effekte zeigen konnten, sind NSAIDs, Antihistaminika und Leukotrienantagonisten. Auch der Einsatz von Antibiotika ist bei Equinem Asthma nicht angezeigt.
Zusätzliche Maßnahmen
Die Supplementation mit Omega-3-Fettsäuren verbesserte in einer Studie die klinischen Symptome und reduzierte auch die Entzündung der Atemwege, jedoch nur in Verbindung mit der Reduktion der Exposition zu Stallstaub. Bezüglich der zahlreichen Zusatzfuttermittel mit unterschiedlichen Zusammensetzungen von Atemwegskräutern gibt es aktuell keine wissenschaftlichen Empfehlungen.
Forschung
Gerade in den letzten Jahren gab es auch einige Studien mit anderen Therapieansätzen: So konnte zwar mit der Infusion von Magnesiumsulfat eine klinische Verbesserung der Patienten erreicht werden (Infusion alleine oder in Kombination mit Salbutamol), es kam jedoch zu keiner signifikanten Verbesserung der Lungenfunktion. Man geht davon aus, dass die klinische Verbesserung primär auf einem veränderten Atemmuster beruht.
Als vielversprechend stellt sich bisher die Forschung basierend auf der Inhalation von an Nanopartikel gebundenen bakteriellen DNA-Segmenten (CpG Motive) heraus. Diese immunmodulierende, antiinflammatorische Therapie, die antigen-unabhängig angewendet werden kann, führt über die Bindung der CpG Motive an Toll-like-Rezeptoren zu einer Stimulation der TH-1-Antwort und so zu einer Abschwächung der TH-2-Antwort.
Eine Studie konnte zeigen, dass Tamoxifen sich nicht zur antiinflammatorischen, auf die neutrophilen Granulozyten in der Lunge abzielenden Therapie von hochgradigem Equinen Asthma eignet.
Ausblick
Kortikosteroide und Bronchodilatatoren verbessern die Lungenfunktion, aber normalisieren nicht die Neutrophilie und die Gewebeumbauvorgänge in der Lunge. Die Umbauvorgänge in der Lunge sind nur partiell reversibel. Die Masse an glatter Muskulatur der Atemwege ist bei hochgradigem Equinen Asthma 2- bis 3-fach vermehrt, verglichen mit gesunden Pferden. Leider wird sie auch mit Therapie nur um ca. 30% weniger und ist damit immer noch ca. doppelt so viel wie bei gesunden Pferden. Auch die mit Equinem Asthma einhergehenden vermehrten Kollagenablagerungen sind erst nach 12-monatiger Behandlung (Antigenvermeidung und Corticosteroidinhalation) reversibel.
Das bedeutet, dass, wenn es zu Umbauvorgängen in der Lunge gekommen ist, diese mit der derzeitigen Therapie nur partiell reversibel sind. Deshalb sollten die von Equinem Asthma betroffenen Pferde frühzeitig identifiziert und behandelt werden.
Der (hier aktualisierte) Originalartikel ist erschienen in:
Schwarz Bianca, Equines Asthma – Empfehlungen zu Therapie und Haltung. Pferdespiegel 2020; 23(03): 103 - 114. DOI: 10.1055/a-1215-4448.



