
Eine unkastrierte 2,5-jährige American-Cocker-Hündin wurde bereits erstmals im Alter von 1 Jahr wegen einer Hinterhandproblematik beim Tierarzt vorgestellt. Es wurde eine Coxarthrose diagnostiziert und Goldimplantate wurden gesetzt.

Zunehmend fallen nun Laufunlust, Leistungsintoleranz und eine Auftreibung der Gelenke und Knochen auf.
Fragen
- Welche Befunde können Sie anhand der Röntgenaufnahmen erheben?
- Wie lautet Ihre Verdachtsdiagnose?
- Welche weitere Diagnostik empfehlen Sie?
- Welche Therapie ziehen Sie in Betracht?
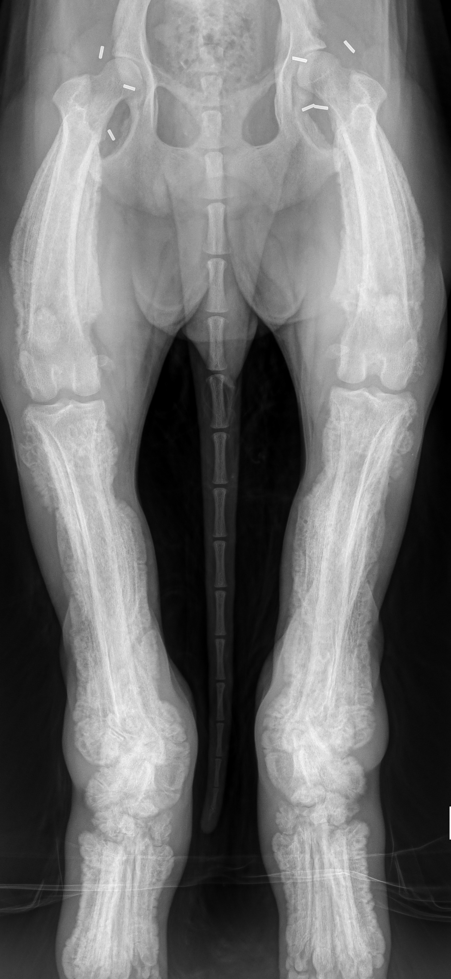
Befunde Röntgen
Bilateral symmetrische hochgradig spikula- bis palisadenähnliche periostale Reaktionen an den langen Röhrenknochen.

Weiterführende Untersuchungen
Zur weiteren Diagnostik erfolgte vorerst ein Thoraxröntgen. Es zeigte sich ein weichteildichter Rundherd im kaudalen Lungenfeld. Rat zur Computertomografie zur Evaluation der Operabilität und zum Metastasen-Screening.

Primäre Lungentumoren treten meist beim älteren Hund auf und neigen zur frühen Metastasierung [1] . Klassische Symptome beim Lungentumor sind chronischer unproduktiver Husten und seltener Dyspnoe und Lethargie [2] . Zusätzlich kann es zu einer hypertrophen Osteopathie kommen.
Die hypertrophe Osteopathie ist ein seltenes paraneoplastisches Syndrom, das bei etwa 3% der Hunde auftritt und durch proliferative periostale Reaktionen in den diaphysären Bereichen der Röhrenknochen gekennzeichnet ist [1] , [2] . Eine lokale Hypoxie, Wachstumsfaktoren (VEGF, PDGF) und eine chronische Entzündung werden als Ursache diskutiert [3] . Auch bei nicht tumorösen Veränderungen im Thorax kann es zu einer hypertrophen Osteopathie kommen.
Die Therapie der Wahl stellt eine Lungenlappenresektion mit Biopsie der tracheobronchealen Lymphknoten dar. Eine Chemotherapie (bspw. Vinorelbin) kann bei einer Metastasierung versucht werden. Die hypertrophe Osteopathie bildet sich nach Tumorresektion zurück.
Der Originalbeitrag zum Nachlesen:
Gedon J. "Fall 30: 2,5-jährige Cocker-Hündin mit Leistungsintoleranz und Knochenauftreibungen" kleintier konkret 2018; 21(06): 43 - 44. doi:10.1055/a-0639-1265
(IR)
- Kessler M. Kleintieronkologie. 3. Aufl. Stuttgart: Enke; 2013
- Ogilvie GK, Haschek WM, Withrow SJ. et al. Classification of primary lung tumors in dogs: 210 cases (1975–1985). J Am Vet Med Assoc 1989; 195 (01) 106-108
- Callemeyn J, Van Haecke P, Peetersmans WE. et al. Clubbing and hypertrophic osteoarthropathy: insights in diagnosis, pathophysiology, and clinical significance. Acta Clin Belg 2016; 71 (03) 123-130



