Inhalt

Stabilisierung und Anamnese
Atemnot bei der Katze ist ein echter Notfall! Doch Vorsicht: Gerade Katzen mit deutlichen respiratorischen Symptomen sollten – bevor mit einer ausführlichen Diagnostik begonnen wird – zunächst stabilisiert werden. Erst im Anschluss sollte dann mit der Differenzierung der Ursache begonnen werden.
Sauerstoff rauf, Stress runter
Die Supplementierung von Sauerstoff ist zu Beginn eine der ersten therapeutischen Maßnahmen. Auch sollten die Tiere nicht unnötigem Stress ausgesetzt werden [1]. Anschließend wird ein kurzer und fokussierter Vorbericht durch eine gezielte Befragung des Besitzers aufgenommen. Hierbei ist wichtig, nach der Dauer und Progredienz der Beschwerden zu fragen sowie nach Vorerkrankungen und Medikamentengabe.
Die Frage, ob es sich um eine Hauskatze oder einen Freigänger handelt, kann wichtige Rückschlüsse auf ein Trauma als mögliche Ursache der Atemnot ziehen lassen. Des Weiteren sollte kurz abgeklärt werden, ob die Gefahr der Fremdkörper- oder Toxinaufnahme besteht. Durch die erhaltenen Informationen kann die Ursache der Atemnot bereits oft eingeschränkt werden.
Merke
Für Katzenpatienten gilt: erst stabilisieren, dann diagnostizieren und unnötigen Stress vermeiden!
Klinische Untersuchung
Ist der Patient stabilisiert, kann mit einer klinischen Untersuchung fortgefahren werden. Hierbei ist es weiterhin nötig, möglichst stressfrei für das Tier zu arbeiten. Auf unnötiges Fixieren oder auf Zwangsmaßnahmen sollte verzichtet werden. Von Vorteil ist es, wenn der Patient eine ihm angenehme Haltung einnehmen kann und eine Rückzugsmöglichkeit (z. B. Decke) hat [1].
Atmung und Kreislaufsituation
Der erste Schritt in der Untersuchung stellt die Betrachtung der Atmung und die Bestimmung des Atemtyps dar, inklusive Beurteilung der Schleimhäute und der kapillären Rückfüllzeit. Auch eine Auskultation des Thorax gehört zu den ersten wichtigsten klinischen Untersuchungsschritten. Die Auskultation des Thorax umfasst auch eine Herzauskultation zum Nachweis von Arrhythmien oder Herzgeräuschen.
Bei Patienten mit Dyspnoe sollte neben dem Atmungstyp auch die Atemfrequenz, die Unterscheidung in inspiratorische oder exspiratorische Bewegungen, der Auskultationsbefund und hörbare Atemgeräusche festgehalten werden. Diese Punkte können wichtige Hinweise für die Lokalisation des Problems geben. Zu den pathologischen Atmungstypen gehören Dyspnoe, Orthopnoe, paradoxe Atmung und inverse Atmung.
Eine inspiratorische Dyspnoe spricht für das Vorliegen eines Problems in den oberen Atemwegen, eine exspiratorische Dyspnoe eher für eines in den unteren Atemwegen. Eine gemischte Dyspnoe hingegen tritt bei Herzerkrankungen oder bei Lungenparenchymveränderungen auf.
Thoraxerguss und kongestives Herzversagen
Typische Symptome bei Katzen mit Thoraxerguss sind eine erhöhte Atemfrequenz, oft kombiniert mit Maulatmung, Atemgeräusche, Streckung von Kopf und Hals, abgewinkelte Ellbogen und eine flache Atmung mit einer erhöhten Bauchkomponente [2] – [4].
Katzen im kongestiven Herzversagen zeigen typischerweise ein restriktives Atemmuster, d. h., die Bewegung des Brustkorbs ist frequent und oberflächlich. Husten wird bei kongestivem Herzversagen der Katze im Vergleich zum Hund nicht verursacht. Im Gegensatz zum Hund entwickelt sich bei der Katze eine Atemnot sehr zügig und wird schnell lebensbedrohlich [5].
Weiterführende Diagnostik
Die erste weiterführende Diagnostik bei Patienten mit Dyspnoe sollte immer ein Thoraxröntgenbild sein. Allein durch die Auskultation von Herz und Lunge kann z. B. nicht eindeutig zwischen Pneumothorax oder Thoraxerguss unterschieden werden.
Thoraxröntgenaufnahmen sind äußerst hilfreich bei der Diagnose und Quantifizierung von Pleuraraumerkrankungen und anderen intrathorakalen Pathologien ([Abb. 1]). Wiederholte Röntgenaufnahmen nach Thorakozentese können von diagnostischem Nutzen sein, um Verbesserungen zu beurteilen und intrathorakale Strukturen besser sichtbar zu machen [6].

Beim Röntgen fertigt man in der Regel als erstes eine laterolaterale Aufnahme in rechter Seitenlage an und – wenn der Zustand des Patienten es zulässt – danach auch eine ventrodorsale oder dorsoventrale Aufnahme. In sehr schwerwiegenden Fällen mit Atemnot kann es jedoch nötig sein, zur Vermeidung von zusätzlichem Stress, auf diese seitliche Lagerung zu verzichten und lediglich eine dorsoventrale Aufnahme in Bauchbrustlage anzufertigen. In jedem Fall gilt: Auf eine ventrodorsale Lagerung sollte eher verzichtet werden, da eine Atemnot in Rückenlage immer deutlich verschlimmert wird [6], [7].
Ultraschall
Die Ultraschalluntersuchung ist bei Notfällen sehr hilfreich für die schnelle Identifizierung von Pleuraflüssigkeit und für die Führung der Thorakozentese. Darüber hinaus ist die TFAST-Ultraschalluntersuchung (Thoracic Focussed Assessment with Sonography for Trauma) in der Notaufnahme gängige Praxis, um das Vorhandensein und den Schweregrad zu beurteilen [8]. In der Ultraschalldiagnostik kann unmittelbar zwischen Pneumothorax, alveolären Infiltraten und Flüssigkeit im Thorax unterschieden werden. Ein Pleuraerguss zeigt sich als anechogene Zone, die Herz und Lunge umgibt [5].
Aufgrund der längeren Untersuchungsdauer und der dafür erforderlichen Positionierung der Katze kann eine ausführliche Echokardiografie zur Diagnose von Herzerkrankungen, Herzbasistumoren und Perikarderkrankungen erst nach einer gewissen Stabilisierung der Atmung durchgeführt werden. In jedem Fall sollte die sonografische Untersuchung im Sitzen durchgeführt und auf Zwangsmaßnahmen verzichtet werden. Durch Ermittlung der Größe des Herzens, insbesondere des linken Vorhofs, kann schnell und sicher bestimmt werden, ob es sich um eine Herzerkrankung als Ursache für den Notfall handelt, oder nicht.
Thorakozentese
Die Thorakozentese ist ein diagnostisches und therapeutisches Werkzeug zur raschen Linderung der Atemwegssymptome [6]. Sie gehört zu den ersten Notfallmaßnahmen, die bei dyspnoischen Patienten zum Einsatz kommen sollte, um die akute Notfallsituation zu beheben ([Abb.2]).

In der Regel erfolgt der Zugang für eine Thorakozentese an der linken Brustwand im ventralen Drittel oder Viertel des Brustkorbes im 8. Interkostalraum. Die Punktionsstelle wird hierbei großflächig geschoren und aseptisch vorbereitet. Es empfiehlt sich, das Punktionsbesteck bei der Thorakozentese durch einen Dreiwegehahn zu unterbrechen, um das Risiko eines punktionsassoziierten Pneumothorax zu minimieren. Eine Punktion unter Ultraschallkontrolle ist einer blinden Punktion aufgrund der Risikominimierung für unbeabsichtigte Verletzungen vorzuziehen, sollte jedoch immer unter Abwägung des Stress- und Zeitfaktors erfolgen [9].
Klassifizierung des Punktates
Die durch die Thorakozentese gewonnene Flüssigkeit hat einen großen diagnostischen Nutzen bei Patienten mit Pleuraerguss unbestimmter Ätiologie. Es sollte immer eine Flüssigkeitsanalyse durchgeführt werden [6]. Schon die Farbe des Punktats lässt häufig eine Verdachtsdiagnose stellen. So ist eine weiße, milchige Punktionsflüssigkeit hinweisend auf ein Chylus; ein eher grauer, trüber Erguss kombiniert mit einem unangenehmen Geruch, ist typisch für einen Pyothorax.
Für die Klassifizierung des Punktates können der Eiweißgehalt und das spezifische Gewicht in der Praxis einfach mittels Refraktometer bestimmt werden. Im Labor sollte dann noch ergänzend eine Bestimmung der Zellzahl erfolgen ([Tab. 1]). Im Wesentlichen wird zwischen Transsudat und Exsudat unterschieden: Während das Transsudat eine sehr niedrige Zellularität und einen sehr geringen Gesamtproteingehalt aufweist, ist das Exsudat zell- und proteinreich.
| Klassifikation | Eiweiß | Zellzahl | Ätiologie |
|---|---|---|---|
| Reines Transsudat | < 2,5 mg/dl | < 1000 | Hypalbuminämie, Leberzirrhose |
| Proteinreiches Transsudat | > 2,5 mg/dl - 5 mg/dl | < 5000 | Congestive Heart Failure, Neoplasie, Torsion |
| Exsudat | > 3 g/dl | > 5000 | FIP, Neoplasie, Pankreatitis, Fremdkörper |
Transsudate, Exsudate und Zytologie
Reine Transsudate zeichnen sich durch ein niedriges Gesamtprotein und eine niedrige Zellzahl aus und entwickeln sich im Allgemeinen sekundär durch einen verminderten onkotischen Druck (z. B. Hypalbuminämie) innerhalb des Gefäßsystems. Proteinreiche Transsudate sind mit einem erhöhten posthepatischen hydrostatischen Druck (z. B. Herzinsuffizienz) oder einer vaskulären Permeabilität (z. B. Vaskulitis, Lungenlappentorsion, Zwerchfellhernie) verbunden.
Exsudative Ergüsse sind das Ergebnis von Veränderungen in der Durchlässigkeit der Gefäße. Sie zeichnen sich durch einen hohen Eiweißgehalt und eine hohe Zellzahl aus, wobei degenerierte neutrophile Leukozyten in der Regel überwiegen [6].
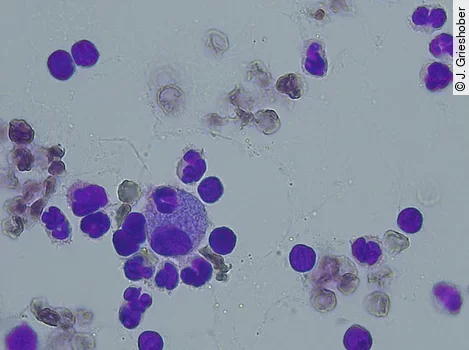
Eine Zytologie vervollständigt die Ergussanalyse. Bei zellarmen Flüssigkeiten kann es nötig sein, vor dem Anfertigen des Ausstriches eine Probe zu zentrifugieren und einen gefärbten Sedimentausstrich anzufertigen. Hier kann man wichtige Erkenntnisse über das Vorliegen einer Neoplasie und das Auftreten von Neutrophilen, Erythrozyten oder Bakterien als Anzeichen bestimmter Erkrankungen erlangen ([3]).

Blutuntersuchungen
Nach Stabilisierung und Erstbehandlung sollten auf jeden Fall zu den bereits aufgeführten Punkten noch weitere Untersuchungen durchgeführt werden. Hierzu gehören eine ausführliche Blutuntersuchung, inklusive der Bestimmung der Schilddrüsen- und Nierenwerte, um weitere grundlegende Erkrankungen zu diagnostizieren und therapieren zu können. Auch eine Blutuntersuchung auf mögliche Infektionskrankheiten ist sehr empfehlenswert, vor allem, um Hinweise auf das Vorliegen einer felinen infektiösen Peritonitis (FIP) zu bekommen, die auch Ursache eines Thoraxergusses sein kann. Ebenfalls im Blut bestimmt werden kann auch der NT-proBNP-Wert (brain natriuretic peptide). Mithilfe dieses Wertes kann man, zusammen mit den klinischen Symptomen, zwischen kardialer und respiratorisch bedingter Dyspnoe unterscheiden [5]. Bei Katzen mit zugrunde liegender Herzerkrankung ist in jedem Fall auch eine Blutdruckmessung indiziert.
Therapie
Die Notfallversorgung und Erstbehandlung eines Patienten mit Atemnot aufgrund eines Thoraxergusses besteht darin, die Flüssigkeit in der Pleurahöhle mittels Thorakozentese zu entfernen und dem Tier zusätzlich Sauerstoff zur Verfügung zu stellen [11]. Es kann außerdem für die Stressreduktion von Vorteil sein, eine Sedierung vorzunehmen.
Dieser Inhalt unterliegt den Bestimmungen gemäß Heilmittelwerbegesetz (HWG) und darf nur berechtigten Personen zugänglich gemacht werden. Bitte loggen Sie sich ein, um diesen Inhalt zu sehen.
Weiterführende therapeutische Maßnahmen
Nach einer Thorakozentese sollten neue Röntgenaufnahmen angefertigt werden, da sich die Lunge ohne die belastende Flüssigkeit wieder ausdehnen kann und mögliche zugrunde liegende Ursachen, die vorher durch den Erguss überlagert waren, sichtbar werden. Hier lässt sich auch der intrathorakale Flüssigkeitszustand beurteilen – einige Patienten benötigen mehr als eine Thorakozentese und profitieren daher vom Legen einer Thoraxsonde [11].
Dieser Inhalt unterliegt den Bestimmungen gemäß Heilmittelwerbegesetz (HWG) und darf nur berechtigten Personen zugänglich gemacht werden. Bitte loggen Sie sich ein, um diesen Inhalt zu sehen.
Fazit
Für die Atemnot bei der Katze kommen kardiale, respiratorische, traumatische oder neoplastische Ursachen infrage. Um Patienten mit Atemnot rasch und zielgerichtet zu helfen, ist es wichtig, ruhig vorzugehen und den Patienten zuerst zu stabilisieren, bevor eine weitere Diagnostik durchgeführt wird. Sichtbar gestresste Patienten sollten in einer ruhigen Sauerstoffbox untergebracht und gegebenenfalls zur weiteren Vermeidung von Stress leicht sediert werden. Bei einem Thoraxerguss ist es unumgänglich, diesen abzupunktieren, um die Atmung zu erleichtern und anschließend eine Punktatanalyse inklusive Zytologie durchzuführen. Dies liefert wichtige Anhaltspunkte zur Einordnung der Genese, der Prognose und der Therapiemöglichkeiten.
Lesen Sie alle Thieme Fachzeitschriften im VetCenter. Jetzt 2 Wochen kostenlos testen.
Der Originalbeitrag zum Nachlesen:
(JD)
1 Sigrist N. Hrsg. Notfallmedizin für Hund und Katze. 2. Stuttgart: Thieme; 2022
2 Lee JA, Drobatz KJ. Respiratory distress and cyanosis in dogs. In: King LG. Hrsg. Textbook of respiratory disease in dogs and cats. Philadelphia: WB Saunders; 2004
3 Mandell DC. Respiratory distress in cats. In: King LG. Hrsg. Textbook of respiratory disease in dogs and cats. Philadelphia: WB Saunders; 2004
4 Tseng LW, Waddell LS. Approach to the patient in respiratory distress. Clin Tech Small Anim Pract 2000.
5 Kresken J, Wendt R, Modler P. Hrsg. Praxis der Kardiologie Hund und Katze. 2. Stuttgart: Thieme; 2019
6 Suave V. Pleural space disease. In: Silverstein DC, Hopper K. Hrsg. Small Animal Critical Care Medicine. Philadelphia: WB Saunders; 2009: 125-130
7 Hecht S. Hrsg. Röntgendiagnostik in der Kleintierpraxis. 2. Stuttgart: Schattauer; 2012
8 Lisciandro GR, Lagutchik MS, Mann KA. Evaluation of thoracic focused assessment for trauma (TFAST) protocols to detect pneumothorax and concurrent thoracic injury in 145 traumatized dogs. J Vet Emerg Crit Care 2008; 18 (03) 258
9 Rizzi TE, Cowell RL, Tyler RD. et al. Effusions: Abdominal, Thoracic and Pericardial. In: Cowell RL, Tyler RD, Meinkoth JH, DeNicola D. Hrsg. Diagnostic Cytology and Hematology of the Dog and Cat. Oxford: Elsevier; 2008
10 Stokol T. Fluid Analysis: Thoracic, Abdominal, Joint. In: Ettinger SJ, Feldman EC, Cote E. Hrsg. Textbook of Veterinary Internal Medicine. St. Louis, Missouri: Saunders Elsevier; 2017
11 Silverstein DC. Pleural space disease. In: King LG. Hrsg. Textbook of respiratory disease in dogs and cats. Philadelphia: WB Saunders; 2004



