Inhalt

Bei Frettchen und Kaninchen sind hypertrophe Kardiomyopathie (HCM) sowie dilatative Kardiomyopathie (DCM) beschrieben, beim Frettchen kommt außerdem die restriktive Kardiomyopathie (RCM) vor. Bei Kaninchen scheinen v.a. große Rassen betroffen zu sein. Die DCM kommt beim Kaninchen häufiger vor als andere Herzmuskelerkrankungen. Die häufigsten Kardiomyopathien beim Frettchen sind HCM und DCM, die RCM ist selten, wobei die DCM im Gegensatz zu den Kardiomyopathien der Katze eine bessere Prognose aufweist als die HCM [16][30][39][42].
Der zugrunde liegende Pathomechanismus der jeweiligen Kardiomyopathie entspricht dem der entsprechenden Erkrankung bei Hund und Katze, die genaue Ätiologie ist meist nicht wissenschaftlich geklärt. Es ist anzunehmen, dass auch hier v.a. hereditäre und bei der DCM unter Umständen auch toxische, nutritive oder infektiöse Ursachen vorkommen. Beim Kaninchen kann eine Vitamin-E-Defizienz zur muskulären Dystrophie mit myokardialer Beteiligung führen. Ein Taurinmangel beim Kaninchen ließ sich zwar nicht nachweisen, die Substitution von Taurin führte in einer experimentellen Studie nach Induktion einer Aortenklappeninsuffizienz jedoch zur Verbesserung der systolischen Funktion und der klinischen Symptome des Herzversagens [39][53]. Auch eine Sedation mit Ketamin und Xylazin scheint einen ischämie-mediierten Prozess im Myokard des Kaninchens zu bedingen, der im Rahmen von myokardialen Erkrankungen beim Kaninchen beschrieben ist. Myokardkrankheiten beim Kaninchen konnten experimentell auch durch Doxorubicin und Trypanosoma cruzi induziert werden, selten kommen auch infektiöse Myokarditiden, ausgelöst durch Pasteurella multocida, Salmonella spp., Clostridium piliforme,Encephalitozoon cuniculi und Coronaviren vor.
Beim Frettchen sind seltene Fälle von Herzversagen beschrieben, die durch Cryptococcus, Toxoplasma, fungal oder Parvovirus (Aleutenkrankheit) bedingt waren. Chronischer Stress bei Kaninchen (z.B. bei schlechten Haltungsbedingungen) kann α-adrenerg mediiert zu Fällen mit plötzlichem Herztod aufgrund koronarer Vasokonstriktion führen. Eine ähnliche Entität ist in der Humanmedizin als Broken-Heart-Syndrom (Tako-Tsubo-Kardiomyopathie) beschrieben, bei der es durch emotionalen Stress katecholaminbedingt zu herzinfarktähnlichen Symptomen kommt. Zu Prävalenz, Verlauf und Prognose der Kardiomyopathien der Heimtiere gibt es keine größeren wissenschaftlichen Untersuchungen [16][19][39][42][46][48][56].
Dilatative Kardiomyopathie bei Frettchen und Kaninchen
Die DCM ist eine Herzmuskelschwäche, die primär durch systolische Dysfunktion und sekundär durch einen volumenüberladenen linken Ventrikel und ein vergrößertes linkes Atrium gekennzeichnet ist. Unter Umständen ist auch das rechte Herz in ähnlicher Weise betroffen. Erkrankt sind mittelalte bis ältere Tiere.
Klinische Präsentation
Klinisch zeigen Frettchen und Kaninchen ähnliche Symptome wie Hunde und Katzen mit DCM. Sie scheinen ebenfalls eine okkulte Phase zu durchlaufen, in der die Patienten für den Besitzer klinisch unauffällig sind. Erst im Spätstadium der Erkrankung treten offensichtliche klinische Symptome auf, oft erst, wenn das Tier bereits im kongestiven Herzversagen ist. Es kommt sowohl Links- als auch Rechtsherzversagen mit Lungenödem, Thoraxerguss und Aszites vor. Die reduzierte Kontraktilität kann außerdem ein Vorwärtsversagen mit entsprechenden klinischen Symptomen induzieren. In Anamnese und klinischer Untersuchung sind folgende Symptome auffällig: Anorexie, Gewichtsverlust, Schwäche (auch Hinterhandschwäche, insbesondere unter Belastung bei Frettchen, bei Kaninchen als Zeichen von kongestivem Herzversagen), Dys- und Polypnoe, Husten, Rechtsherzversagen mit vermehrtem Bauchumfang (Aszites), Exophthalmos (bei Kaninchen durch Schwellung der retrobulbären Venen) und Perikarderguss (Kaninchen), blasse Schleimhäute, schwacher Puls, Hypothermie, Herzgeräusch, Galopprhythmus, gedämpfte Herztöne und Arrhythmien [17][26][39][42][48].
Röntgen
Das Röntgen dient v.a. der Erkennung des kongestiven Herzversagens, wobei die ursächliche Herzerkrankung radiologisch nicht definitiv benannt werden kann. Im kongestiven Herzversagen im Rahmen der DCM kommt es zum Lungenödem, zudem kann auch Rechtsherzversagen mit Thoraxerguss und Aszites auftreten. Radiologisch fällt meist eine linksbetonte oder auch generalisierte Kardiomegalie mit links- oder biatrialer Vergrößerung auf. Unter Umständen können gestaute Lungenvenen gefunden werden. Die Lungenzeichnung beim kardiogenen Lungenödem ist interstitiell bis alveolär, die Befunde bei Thoraxerguss und Aszites entsprechen ebenfalls jenen bei Hund und Katze [39][42].
Elektrokardiografie
Das EKG dient der Diagnose von Rhythmusstörungen im Rahmen einer DCM. Fallen in der klinischen Untersuchung Arrhythmien auf, sollte in jedem Fall ein EKG angefertigt werden. Oft sind auskultierte Arrhythmien das einzige auffällige Anzeichen einer okkulten DCM. Liegen im EKG tatsächlich Rhythmusstörungen vor, sollte also in jedem Fall eine echokardiografische Untersuchung zur Auffindung der Grundursache durchgeführt werden. Häufige Herzrhythmusstörungen im Rahmen einer DCM sind Vorhofflimmern, andere supraventrikuläre Rhythmusstörungen sowie ventrikuläre Extrasystolen oder Tachykardien [39][42].
Echokardiografie
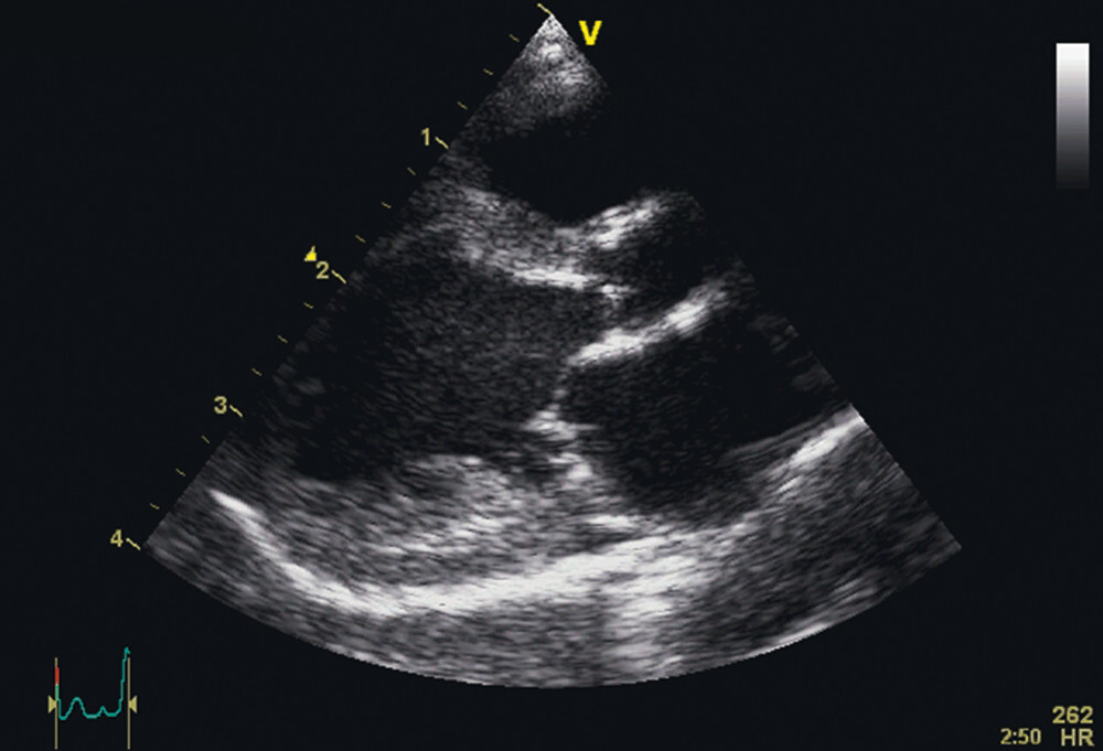
Die Echokardiografie ist notwendig, um die definitive Diagnose DCM stellen zu können. Hier fällt eine linksventrikuläre und linksatriale oder generalisierte Volumenüberladung auf (Abb. 1), zudem liegt eine deutliche systolische Dysfunktion vor. Enddiastolischer und endsystolischer linksventrikulärer Kammerdurchmesser sind vergrößert. Das linke Atrium ist je nach Schweregrad der Erkrankung mehr oder weniger stark dilatiert. In der Farbdopplerechokardiografie können sekundäre, durch die Volumenüberladung und die Dilatation des Atrioventrikularklappenannulus bedingte Mitral- und Trikuspidalklappeninsuffizienzen gefunden werden [39][42].

Therapie
Grundlage der Therapie ist die Behandlung des kongestiven Herzversagens sowie die Verbesserung der systolischen Funktion. Alle Dosierungen finden sich in Tab. 1.
Dieser Inhalt unterliegt den Bestimmungen gemäß Heilmittelwerbegesetz (HWG) und darf nur berechtigten Personen zugänglich gemacht werden. Bitte loggen Sie sich ein, um diesen Inhalt zu sehen.
In der folgenden Tab. 1 werden die wichtigsten, beim Frettchen und Kaninchen eingesetzten Kardiaka und ihre Dosierungen zusammengefasst.
Dieser Inhalt unterliegt den Bestimmungen gemäß Heilmittelwerbegesetz (HWG) und darf nur berechtigten Personen zugänglich gemacht werden. Bitte loggen Sie sich ein, um diesen Inhalt zu sehen.
Hypertrophe Kardiomyopathie bei Frettchen und Kaninchen
Die primäre HCM kommt bei Frettchen und Kaninchen vor und scheint, laut einer Publikation von Malakoff et al. [30], die häufigste Herzmuskelerkrankung des Frettchens zu sein. Andere Erkrankungen, die sekundär zu einer linksventrikulären Hypertrophie führen können, sind in der Literatur nicht beschrieben, vermutlich kommen diese jedoch genau wie bei Hund, Katze und Mensch vor. Ätiologie, Pathogenese und Pathophysiologie wie auch klinischer Verlauf scheinen jenen bei der Katze zu gleichen und sind größtenteils bei den Heimtieren nicht untersucht [42][48].
Klinische Symptome sowie elektrokardiografische und radiologische Befunde sind kaum unterschiedlich zu den Befunden bei der DCM. Asymptomatische Verläufe scheinen genauso vorzukommen wie Fälle mit plötzlichem Herztod. Radiologisch ist die Kardiomegalie vermutlich weniger stark und erst in späteren Krankheitsstadien ausgeprägt als bei der DCM. Zur Diagnosestellung HCM ist daher die Echokardiografie essenziell. Wie bei der felinen HCM sind interventrikuläres Septum und posteriore linksventrikuläre Wand verdickt. Die konzentrische Hypertrophie kann fokal oder generalisiert und regional unterschiedlich stark ausgeprägt sein. Der linksventrikuläre Innendurchmesser ist reduziert. Im weiteren Verlauf der Erkrankung kann es zur Vergrößerung des linken Atriums und schlussendlich zum kongestiven Herzversagen kommen, welches wiederum radiologisch nachweisbar ist. Auch systolic anterior motion und einfache Mitralklappeninsuffizienzen sind bei Frettchen im Rahmen der HCM echokardiografisch nachweisbar. Die Parameter der diastolischen Funktion können abnormal sein, insofern speziesspezifische Referenzwerte existieren [30][42][48].
Die Therapie der HCM richtet sich wie bei der Katze zum einen auf die Verbesserung der diastolischen Funktion. Dieses Therapieziel ist bei Heimtieren nur fraglich zu erreichen, klinische Studien fehlen vollkommen.
Dieser Inhalt unterliegt den Bestimmungen gemäß Heilmittelwerbegesetz (HWG) und darf nur berechtigten Personen zugänglich gemacht werden. Bitte loggen Sie sich ein, um diesen Inhalt zu sehen.
Der Originalbeitrag zum Nachlesen:
Herzmuskelerkrankungen bei Frettchen und Kaninchen. In: Killich M, Hrsg. Kleintierkardiologie. 1. Auflage. Stuttgart: Thieme; 2018.
(IR)
- Atkins C, Bonagura J, Ettinger S et al. Guidelines for the diagnosis and treatment of canine chronic valvular heart disease. J Vet Intern Med 2009; 23(6): 1142–1150
- Beaufrère HP, Pimobendan R. J Ex Pet Med 2009; 18(4): 311–313
- Blair LS, Campbell WC. Suppression of maturation of Dirofilaria immitis in Mustela putorius furo by single dose of ivermectin. J Parasitol 1980; 66(4): 691–692
- Blair LS, Williams E, Ewanciw DV. Efficacy of ivermectin against third-stage Dirofilaria immitis larvae in ferrets and dogs. Res Vet Sci 1982; 33(3): 386–387
- Bradbury C, Saunders AB, Heatley JJ et al. Transvenous heartworm extraction in a ferret with caval syndrome. J Am Anim Hosp Assoc 2010; 46(1): 31–35
- Bublot I, Wayne Randolph R, Chalvet-Monfray K et al. The surface electrocardiogram in domestic ferrets. J Vet Cardiol 2006; 8(2): 87–93
- Campbell WC, Blair LS. Dirofilaria immitis: experimental infections in the ferret (Mustela putorius furo). J Parasitol 1978; 64(1): 119–122
- Casamian-Sorrosal D, Saunders R, Browne WJ et al. M-mode, two-dimensional and Doppler echocardiografic findings in 40 healthy domestic pet rabbits. J Vet Cardiol 2014; 16(2): 101–108
- Casamian-Sorrosal D, Saunders R, Browne W et al. Left ventricular radial colour and longitudinal pulsed-wave tissue Doppler echocardiography in 39 healthy domestic pet rabbits. Res Vet Sci 2014; 97(2): 376–381
- Di Girolamo N, Critelli M, Zeyen U et al. Ventricular septal defect in a ferret (Mustela putorius furo). J Small Anim Pract 2012; 53(9): 549–553
- Drolet MC, Couet J, Arsenault M. Development of aortic valve sclerosis or stenosis in rabbits: role of cholesterol and calcium. J Heart Valve Dis 2008; 17(4): 381–387
- Dudas-Gyorki Z, Szabo Z, Manczur F et al. Echocardiografic and electrocardiografic examination of clinically healthy, conscious ferrets. J Small Anim Pract 2011; 52(1): 18–25
- Dzyban LA, Garrod LA, Besso JG. Pericardial effusion and pericardiocentesis in a guinea pig (Cavia porcellus). J Am Anim Hosp Assoc 2001; 37(1): 21–26
- Fontes-Sousa AP, Bras-Silva C, Moura C et al. M-mode and Doppler echocardiografic reference values for male New Zealand white rabbits. Am J Vet Res 2006; 67(10): 1725–1729
- Fontes-Sousa AP, Moura C, Carneiro CS et al. Echocardiografic evaluation including tissue Doppler imaging in New Zealand white rabbits sedated with ketamine and midazolam. Vet J 2009; 181(3): 326–331
- Fox RP. Biology and Diseases of the Ferret. 3. Aufl. West Sussex: Wiley Blackwell; 2014
- Gabrisch KZ. Krankheiten der Heimtiere. 6. Aufl. Hannover: Schlütersche; 2005
- Gibbs C, Hinton MH. Radiological examination of the rabbit. The head, thorax and vertebral column. J Small Anim Pract 1981; 22(11): 687–703
- Greenlee PG, Stephens E. Meningeal cryptococcosis and congestive cardiomyopathy in a ferret. J Am Vet Med Assoc 1984; 184(7): 840–841
- Häggström J, Boswood A, O'Grady M et al. Effect of pimobendan or benazepril hydrochloride on survival times in dogs with congestive heart failure caused by naturally occurring myxomatous mitral valve disease: the QUEST study. J Vet Intern Med 2008; 22(5): 1124–1135
- Klawitter, A. Echokardiografische Untersuchungen im M-Mode und mit Hilfe des CW-Dopplers von herzgesunden Kaninchen und Meerschweinchen [Dissertation]. Hannover: Tierärztliche Hochschule Hannover; 2005
- Kottwitz JJ, Luis-Fuentes V, Micheal B. Nonbacterial thrombotic endocarditis in a ferret (Mustela putorius furo). J Zoo Wildl Med 2006; 37(2): 197–201
- Kraft W, Emmerich J. Dosierungsvorschläge für Arzneimittel bei Kleinnagern, Kaninchen und Frettchen. 1. Aufl. Stuttgart: Schattauer; 2013
- Laniesse D, Hebert J, Larrat S et al. Tetralogy of Fallot in a 6-year-old albino ferret (Mustela putorius furo). Can Vet J 2014; 55(5): 456–461
- Li X, MurphyJC, Lipman NS. Eisenmenger's syndrome in a New Zealand white rabbit. Lab Anim Sci 1995; 45(5): 618–620
- Lipman NS, Murphy JC, Fox JG. Clinical, functional and pathologic changes associated with a case of dilatative cardiomyopathy in a ferret. Lab Anim Sci 1987; 37(2): 210–212
- Long HJ, Diamond SS, Burningham RA et al. Systolic time interval recordings as a measure of cardiac function in the healthy rabbit: reference values. Am J Vet Res 1982; 43(8): 1497–1499
- Lord B, Boswood A, Petrie A. Electrocardiography of the normal domestic pet rabbit. Vet Rec 2010; 167(25): 961–965
- Lord B, Devine C, Smith S. Congestive heart failure in two pet rabbits. J Small Anim Pract 2011; 52(1): 46–50
- Malakoff RL, Laste NJ, Orcutt CJ. Echocardiografic and electrocardiografic findings in client-owned ferrets: 95 cases (1994–2009). J Am Vet Med Assoc 2012; 241(11): 1484–1489
- McCall JW. Dirofilariasis in the domestic ferret. Clin Tech Small Anim Pract 1998; 13(2): 109–112
- Miller WR, Merton DA. Dirofilariasis in a ferret. J Am Vet Med Assoc 1982; 180(9): 1103–1104
- Molnar V, Pazar P, Rigo D et al. Autochthonous Dirofilaria immitis infection in a ferret with aberrant larval migration in Europe. J Small Anim Pract 2010; 51(7): 393–396
- Moreland AF, Battles AH, Nease JH. Dirofilariasis in a ferret. J Am Vet Med Assoc 1986; 188(8): 864
- Moura C, Fontes-Sousa AP, Teixeira-Pinto A et al. Agreement between echocardiografic techniques in assessment of the left ventricular myocardial performance index in rabbits. Am J Vet Res 2009; 70(4): 464–471
- Nelson CT, McCall JW, Rubin SB et al. 2005 Guidelines for the diagnosis, prevention and management of heartworm (Dirofilaria immitis) infection in cats. Vet Parasitol 2005; 133(2–3): 267–275
- Onuma M, Kondo H, Ono S et al. Radiografic measurement of cardiac size in 64 ferrets. J Vet Med Sci 2009; 71(3): 355–358
- Onuma M, Ono S, Ishida T et al. Radiografic measurement of cardiac size in 27 rabbits. J Vet Med Sci 2010; 72(4): 529–531
- Orcutt, CJ. BSAVA Manual of Rabbit Medicine. 1. Aufl. Gloucester: British Small Animal Veterinary Association; 2014
- Parrott TY, Greiner EC, Parrott JD. Dirofilaria immitis infection in three ferrets. J Am Vet Med Assoc 1984; 184(5): 582–583
- Pelosi A, St John L, Gaymer J et al. Cardiac tissue Doppler and tissue velocity imaging in anesthetized New Zealand white rabbits. J Am Assoc Lab Anim Sci 2011; 50(3): 317–321
- Quesenbery KEW. Ferrets, Rabbits, and Rodents. Clinical Medicine and Surgery. 3. Aufl. St. Louis: Saunders Elsevier; 2012
- Riley KB. Scout's Story: A Case Report on Treating Congestive Heart Failure in a Ferret. Int J Pharm Compd 2009; 13(5): 370–371
- Sanchez-Migallon Guzman D, Mayer J, Melidone R et al. Pacemaker implantation in a ferret (Mustela putorius furo) with third-degree atrioventricular block. Vet Clin North Am Exot Anim Pract 2006; 9(3): 677–687
- Sasai H, Kato K, Sasaki T et al. Echocardiografic diagnosis of dirofilariasis in a ferret. J Small Anim Pract 2000; 41(4): 172–174
- Simons M, Downing SE. Coronary vasoconstriction and catecholamine cardiomyopathy. Am Heart J 1985; 109(2): 297–304
- Snyder SB, Fox JG, Campbell LH et al. Disseminated staphylococcal disease in laboratory rabbits (Oryctolagus cuniculus). Lab Anim Sci 1976; 26(1): 86–88
- Stamoulis ME. Cardiac Disease in Ferrets. J Ex Pet Med 1995; 4(1): 43–48
- Stepien RL, Benson KG, Forrest LJ. Radiografic measurement of cardiac size in normal ferrets. Vet Radiol Ultrasound 1999; 40(6): 606–610
- Stepien RL, Benson KG, Wenholz LJ. M-mode and Doppler echocardiografic findings in normal ferrets sedated with ketamine hydrochloride and midazolam. Vet Radiol Ultrasound 2000; 41(5): 452–456
- Stypmann J, Engelen MA, Breithardt AK et al. Doppler echocardiography and tissue Doppler imaging in the healthy rabbit: differences of cardiac function during awake and anaesthetised examination. Int J Cardiol 2007; 115(2): 164–170
- Summerfield NJ, Boswood A, O'Grady MR et al. Efficacy of pimobendan in the prevention of congestive heart failure or sudden death in Doberman Pinschers with preclinical dilated cardiomyopathy (the PROTECT Study). J Vet Intern Med 2012; 26(6): 1337–1349
- Takihara K, Azuma J, Awata N et al. Beneficial effect of taurine in rabbits with chronic congestive heart failure. Am Heart J 1986; 112(6): 1278–1284
- Thomas WP, Gaber CE, Jacobs GJ et al. Recommendations for standards in transthoracic two-dimensional echocardiography in the dog and cat. Echocardiography Committee of the Specialty of Cardiology, American College of Veterinary Internal Medicine. J Vet Intern Med 1993; 7(4): 247–252
- Voros K, Seehusen F, Hungerbuhler S et al. Ventricular septal defect with aortic valve insufficiency in a New Zealand White rabbit. J Am Anim Hosp Assoc 2011; 47(4): e42–49
- Weber HW, Van Der Walt JJ. Cardiomyopathy in crowded rabbits. Recent Adv Stud Cardiac Struct Metab 1975; 6: 471–477
- Williams BH. Therapeutics in ferrets. Vet Clin North Am Exot Anim Pract 2000; 3(1): 131–153, vi



