Inhalt

Dioctophyma renale ist ein parasitärer Nematode der Ordnung Enoplida und der Familie Dioctophymatidea [3]. Die deutsche Bezeichnung Riesennierenwurm hat der Parasit aufgrund der Größe, die er erreichen kann und da er sich überwiegend im Harntrakt seines Wirts einnistet. Adulte Weibchen können bis zu 130cm, adulte Männchen bis zu 45cm lang werden [2].
Erreger und Übertragung
Die Infektion mit Dioctophyma renale erfolgt über die orale Aufnahme der Larven (L3) aus dem obligatorischen Zwischenwirt, des aquatisch lebenden Gürtelwurms Oligochaeta, zu deutsch Wenigborster. Als paratenische Zwischenwirte werden zudem Frösche oder Fische befallen, die sich durch Ingestion des Wenigborsters infizieren [4]. Endwirte sind überwiegend Hunde, die den Wenigborster über kontaminiertes Wasser oder rohes Fleisch der infizierten Zwischenwirte aufnehmen [4].
Auch andere Säugetiere wie Frettchen [4], Waschbären [4], Otter [5], Marder [5], Nerze [5], Haus- und Wildkatzen [3,4], Wölfe [3,6], Kojoten [6] und Füchse [3,6], Schweine [5] und Pferde [5] können betroffen sein. Zudem besteht zoonotisches Potential, wobei der Mensch als Fehlwirt gilt [3,4].
Nach oraler Aufnahme durchwandern die Larven L3 den Dünndarm und die rechte Nierenkapsel und nistet sich überwiegend in der rechten Niere ihres Endwirtes ein, wo sie sich zu adulten Würmern weiterentwickeln und sich paaren. Seltener sind die linke Niere oder beide Nieren betroffen und es sind auch bilaterale Niereninfektionen bei Hund und Mensch beschrieben [4].
Ektop kommt der Parasit frei in der Peritonealhöhle, Brusthöhle, Urethra, Blase, dem Uterus, den Ovarien, in der Mamma, im Skrotum, Magen, der Leber, subkutan und in der Wirbelsäule vor [4].
Während ein einseitiger Nierenbefall durch die Kompensationsmechanismen der kontralateralen Seite oder ektope Infektionen lange Zeit asymptomatisch verlaufen und häufig einen Zufallsbefund in der pathologischen Untersuchung darstellen [4,7], kann ein einseitiger Befall bei bereits bestehender Nierenerkrankung oder eine beidseitige Niereninfektion sich in Form einer fulminanten chronischen Nierenerkrankung äußern [7].
Das Krankheitsbild ist dementsprechend abhängig von Anzahl und Lokalisation der Parasiten, sowie der Infektionsdauer und Co-Morbiditäten [7].
Die Eier, die das Weibchen legt, wenn es in der Niere parasitiert, werden bei durchgängigem Ureter unembryoniert über den Urin des Endwirtes ausgeschieden. Es schließt sich der Lebenszyklus des Parasiten, indem die Eier embryonieren, mit der L1 vom Wenigborster aufgenommen werden und sich in ihm zur infektiösen L3 weiterentwickeln.
Die Präpatenz beträgt durchschnittlich 6 Monaten, in Einzelfällen auch mal bis zu zwei Jahre [8].

Verbreitung
Die Erkrankung ist sowohl für Hunde als auch für Menschen vornehmlich in Nord- und Südamerika, seltener in Asien, Europa und kaum in Afrika beschrieben [4].
Aus Europa gibt es einzelne Fallbeschreibungen für den Hund und Wildsäugetiere aus Griechenland, den Niederlanden, Frankreich, Bulgarien, Rumänien, Italien, Polen und Spanien [9, 10, 11].
Diagnose
Der erste Schritt zur Diagnose ist die Anamnese. Hier sollte auf einen entsprechenden Auslandsaufenthalt oder eine Auslandsherkunft geachtet werden. Der Patientenbesitzer berichtet womöglich über eine Dysurie, Hämaturie, Polyurie/Polydipsie oder Abdominalschmerz. Unspezifische Symptome sind unter anderem Tachypnoe, Tachykardie, Lethargie, Schwäche und Gewichtsverlust [4,9,12,13,14].
Mögliche Symptome einer Dictophymiasis
- Dysurie
- Hämaturie
- PU/PD
- Abdominalschmerz
- Tachypnoe
- Tachykardie
- Lethargie
- Schwäche
- Gewichtsverlust
In der klinischen Untersuchung können eine Renomegalie oder Druckdolenz im Bereich der Nieren auffallen.
Als eine der einfachsten Untersuchungsmethoden folgt die Urinuntersuchung. Im Urinsediment können Eier des Parasiten nachgewiesen werden, sofern adulte Weibchen in der Niere vorhanden sind, was in bis zu 40% der Fälle vorkommt [15]. Die Eier von Dioctophyma renale messen 73-83μm in der Länge und 45-47μm in der Breite und sind damit verhältnismäßig groß im Vergleich zu anderen Nematodeneiern [4]. Charakteristisch ist die dicke Schale, die an den Längsseiten rau und an den Polen glatt und hell erscheint (Abb. 4 und 5). Damit gelingt eine gute Abgrenzung zu den Eiern von Capillaria plica, die als Begleitparasitose ebenfalls im Urin zu finden sein können (Abb. 6). Zusätzlich können im Urinsediment Entzündungsanzeichen wie Erythrozyten und Leukozyten vorhanden sein [11,15]. Aufgrund möglicher bakterieller Begleitinfektionen, sollte zudem eine bakteriologische Harnuntersuchung mit Antibiogramm erfolgen.

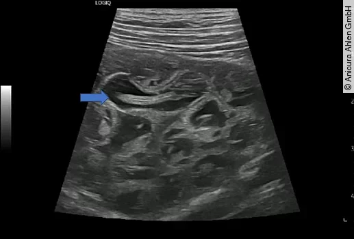
Eine weitere Methode zum Nachweis von Dioctophyma renale ist die Bildgebung. In der Röntgenuntersuchung kann unspezifisch eine Renomegalie der rechten Niere auffallen [11]. Die Sonographie ist spezifischer oder sogar, wie im hier vorliegenden Praxisfall diagnostisch (Abb. 7 und 8). Die rechte Niere stellt sich insgesamt vergrößert und durch sichtbaren Wurmbefall deformiert dar. Das Nierenparenchym verliert durch zunehmende Druckatrophie seine normale Architektur und wird ersetzt durch den/die wachsenden Parasiten und entzündliches Exsudat. Dies stellt sich sonographisch als multiple anechogene Rundherde mit hyperechogener Kapsel und darin doppellineare, tubuläre, mobile Strukturen dar [4,11,12,13].

Hat man die Diagnose mittels Urin- und/oder Ultraschalluntersuchung gestellt, so sollte zur Planung des weiteren Vorgehens zudem eine Blutuntersuchung erfolgen. Dabei ist insbesondere auf die Nierenparameter Harnstoff, Kreatinin, SDMA, Phosphat und Kalium zu achten. Des Weiteren können eine Leukozytose mit Neutrophilie und Linksverschiebung, sowie eine Eosinophilie und Monozytose auffallen [9,12,13,14].
Behandlung – unilaterale Nephrektomie als Therapie der Wahl
In der Humanmedizin existiert eine Einzelfallbeschreibung der erfolgreichen medikamentösen Therapie eines beidseitigen renalen Befalls durch Dioctophyma renale mit Ivermectin [16]. Dieser Erfolg konnten in der Veterinärmedizin bisher nicht reproduziert werden [4,7]. Daher ist die chirurgische Entfernung der Würmer mittels Nephrektomie bei unilateralem Befall der rechten Niere ohne erkennbares Restparenchym und mit intakter kontralateraler Niere die bevorzugte Behandlungsoption in der Veterinärmedizin [4,7].
Hierzu erfolgt eine diagnostische Exploration der Abdominalhöhle hinsichtlich freier Flüssigkeit, Adhäsionen, etwaiger makroskopisch erkennbarer parasitärer Zysten oder adulter Stadien. Die betroffene rechte Niere hatte in dem hier vorgestellten Fall im fortgeschrittenen Krankheitsstadium trotz weitgehend konsumierten Verbrauchs des Parenchyms eine nahezu unveränderte Größe. Auffällig war eine ausgeprägt vermehrte kollaterale Gefäßversorgung retroperitonealen Ursprungs, welche als Folge einer beginnenden verminösen Perinephritis beziehungsweise als Kompensation einer auffällig obliterierten A. renalis gewertet wird. Neben der bipolaren Koagulation im Retroperitoneum erfolgt die Nephrektomie in typischer Weise mit Herauslösen der rechten Niere aus dem Nierenlager, Präparation des Nierenhilus mit Darstellung der A. und V. renalis, Ligatur derselben und Absetzen der Niere unter Mitnahme des Ureters.
Bei seltenem beidseitigem Nierenbefall ist eine Wurmextraktion mittels Pyelotomie oder Nephrotomie denkbar, jedoch existieren hierzu bislang keine veterinärmedizinischen Fallberichte.
Prognose
Ein wesentlicher Einflussfaktor für die Prognose ist die Nierenfunktion zum Zeitpunkt der Diagnosestellung. Bei unilateralem Nierenbefall, normaler Nierenfunktion der kontralateralen Seite und komplikationsloser Nephrektomie ist die Prognose als günstig anzusehen. Eine Heilung steht in Aussicht. Ist die Nierenfunktion bereits eingeschränkt, ist die Prognose entsprechend der vorhandenen Nierenrestfunktion in der Regel schlecht.
Im selteneren Fall eines beidseitigen Nierenbefalls mit Dioctophyma renale, ist es denkbar die Nematoden mittels Pyelotomie oder Nephrotomie unter Erhalt der Nieren zu entfernen. Aufgrund fehlender veterinärmedizinischer Fallberichte kann die Prognose nicht abgeschätzt werden und der Eingriff sollte kritisch mit den Tierbesitzern diskutiert werden.
Zoonotische Bedeutung
Da es zur Infektion des Menschen eines Zwischenwirts bedarf, stellt der eigene Hund kein direktes Infektionsrisiko für seine Halter dar.
Prophylaxe
Da es keine erfolgreich beschriebene medikamentöse Parasitenprophylaxe oder Behandlung für Dioctophyma renale gibt, sollte vermieden werden mit seinem Hund in Endemiegebiete zu reisen. Ist dies unabdingbar, so muss darauf geachtet werden, dass der Hund nicht aus potenziell kontaminierten Wasserquellen trinkt oder unzureichend gekochter Fisch oder Frosch aus der Region aufgenommen oder verfüttert wird.
Fallbericht
Ein drei Jahre alter männlich-kastrierter Mischlingsrüde wird aufgrund einer Dysurie vorgestellt. Der Hund stammt ursprünglich aus Kasachstan und wurde über Russland nach Deutschland eingeführt. Die klinische Untersuchung verläuft unauffällig, doch können mittels Urinuntersuchung sowohl Eier von Capillaria plica als auch Dioctophyma renale nachgewiesen werden. Während die Capillariainfektion medikamentös mit Fenbendazol behandelt wird, erfolgt aufgrund der Dioctophymiasis eine abdominale Sonographie und identifiziert einen Wurmbefall der rechten Niere (Abb. 3). Nachdem eine Blutuntersuchung eine unauffällige Nierenfunktion zeigt, folgt die unilaterale Nephrektomie. Der Patient übersteht den Eingriff komplikationslos und wird einen Tag post operationem in die haustierärztliche Nachsorge entlassen.
Fazit
Bei Hunden mit Auslandsanamnese und urologischen Symptomen sollte eine Untersuchung des Urinsediments hinsichtlich Eiern von Dioctophyma renale erfolgen. In der Regel nisten sich die Würmer in der rechten Niere ihres Wirts ein. Die abdominale Sonographie mit Darstellung der Nematoden in der rechten Niere ist als pathognomonisch anzusehen. Aber auch bilaterale Niereninfektionen und ektope Befälle sind beschrieben. Bestätigt sich die Infektion der rechten Niere, sollte die Nierenfunktion überprüft werden. Sofern diese nicht eingeschränkt ist, erfolgt die unilaterale Nephrektomie bzw. die chirurgische Entfernung ektop vorkommender Würmer. Ein beidseitiger Nierenbefall ist selten, Fallberichte einer erfolgreichen Behandlung fehlen in der Veterinärmedizin. Eine langfristige klinische, labordiagnostische und ultrasonographische Nachsorge hinsichtlich weiterer Parasitenstadien in der kontralateralen Niere oder ektop ist wichtig, da die Präpatenz Monate bis Jahre betragen kann.
Der Originalartikel zum Nachlesen:
Buschow M, Pantke P. Dioctophyma renale – Ein weitgehend unbekannter Nematode aus dem Ausland. kleintier konkret 2023; 26(06): 8 - 14. doi:10.1055/a-2096-9898
(JD)
- Goeze JAE, Versuch einer Naturgeschichte der Eingeweidewürmer tierischer Körper, Blankenburg, Pape 1782
- Depazes P, Joachim A, Mathis A, Strube C, Taubert A, von Samson-Himmelstjerna G, Zahner H, Parasitologie für die Tiermedizin, 4. Auflage, Stuttgart; Thieme 2020
- Depazes P, Eckert J, von Samson-Himmelstjerna G, Zahner H, Lehrbuch der Parasitologie der Parasitologie für die Tiermedizin, 3. Auflage, Stuttgart; Thieme 2012
- Carra Perera S, Silveira Mascarenhas C, Brum Cleff M, Müller G, da Silva Rappeti JC, Dioctophimosis: A Parasitic Zoonosis of Publich Health Importance. Adv Exp Med Biol.2021;1306:129-142
- Low DG, Parasites of the upper and lower urinary tract of dogs and cats. In: Osborne CA, Finco DR (eds): Canine and feline nephrology and urology. Philadelphia, PA:Williams and Wilkins, 1995;917-921
- Ribeiro CT, Verocai GG, Tavares LER, Dioctophyme renale (Nematoda, Dioctophymatidae) Infection in the Crab-eating Fox (Cerdocyon thous) from Brazil. Journal of Wildlife Diseases. 45, 2009, 248-250.
- Goldan de Freitas Tancredi M et al., Occurrence of ectopic Dioctophyma renale in a Bolivian dog. Veterinary Parasitology 25, 2021
- Anderson RC, Nematode Parasites of Vertebrates: Their Development and Transmission. 2. Aufl. CAB Publishing, London 2000.
- Angelou A, Tsakou K, Mpranditsas K, Sioutas G, Moores DA, Papadopoulos E, Giant Kidney Worm: Novel Report of Dioctophyma Renale in the Kidney of a Dog in Greece. Helminthologia. 2020 Jan 25;57(1):43-48
- Smits GM, Misdorp W, Rijpstra AC, Swellengrebel NH, Dioctophyma renale in a dog in the Netherlands. Trop Geogr Med. 1965 Jun;17(2):162-168.
- Soler M, Cardoso L, Teixeira M, Agut A, Imaging Diagnosis – Dioctophyma renale in a dog. Vet Radiol Ultrasound. 2008 May-Jun;49(3):307-8.
- Lindmayer Ferreira V, Pestana Medairos F, July JR, Freitas Raso T, Dioctophyma renale in a dog: Clinical diagnosis and surgical treatment. Veterinary Parasitology 168 (2010) 151-155
- Zolhaverieh SM, Norian A, Yavari M, Dioctophyma renale (Goeze, 1782) Infection in a Domestic Dog from Hamedan, Western Iran. Iran J Parasitol: Vol. 11, No. 1, Jan-Mar 2016, pp.131-135
- Mesquita LR, Rahal SC, Faria LG, Takahira RK, Rocha NS, Mamprim MJ, Oliveiraa HS, Pre- and post-operative evaluations of eight dogs following right nephrectomy due to Dioctophyma renale. Veterinary Quarterly 2014, Vol. 34, No.3, 167-171
- Brown SA, Prestwood AK. Parasites of the urinary tract. In: Kirk RW (ed): Current veterinary therapy IX small animal practice. Philadelphia, PA: WB Sounders Co., 1986;1153-1155
- Ignjatovic I, Stojkovic I, Kutlesic C, Tasic S, Infestation of the human kidney with Dioctophyma renale. Urol Int. 2003, Vol. 70, No. 1, 70-73



