Wie verändern Varroamilben die Übertragbarkeit und Virulenz verschiedener Viren? Dieser Frage sind Forschende aus Europa und den USA in einer neuen Studie nachgegangen.
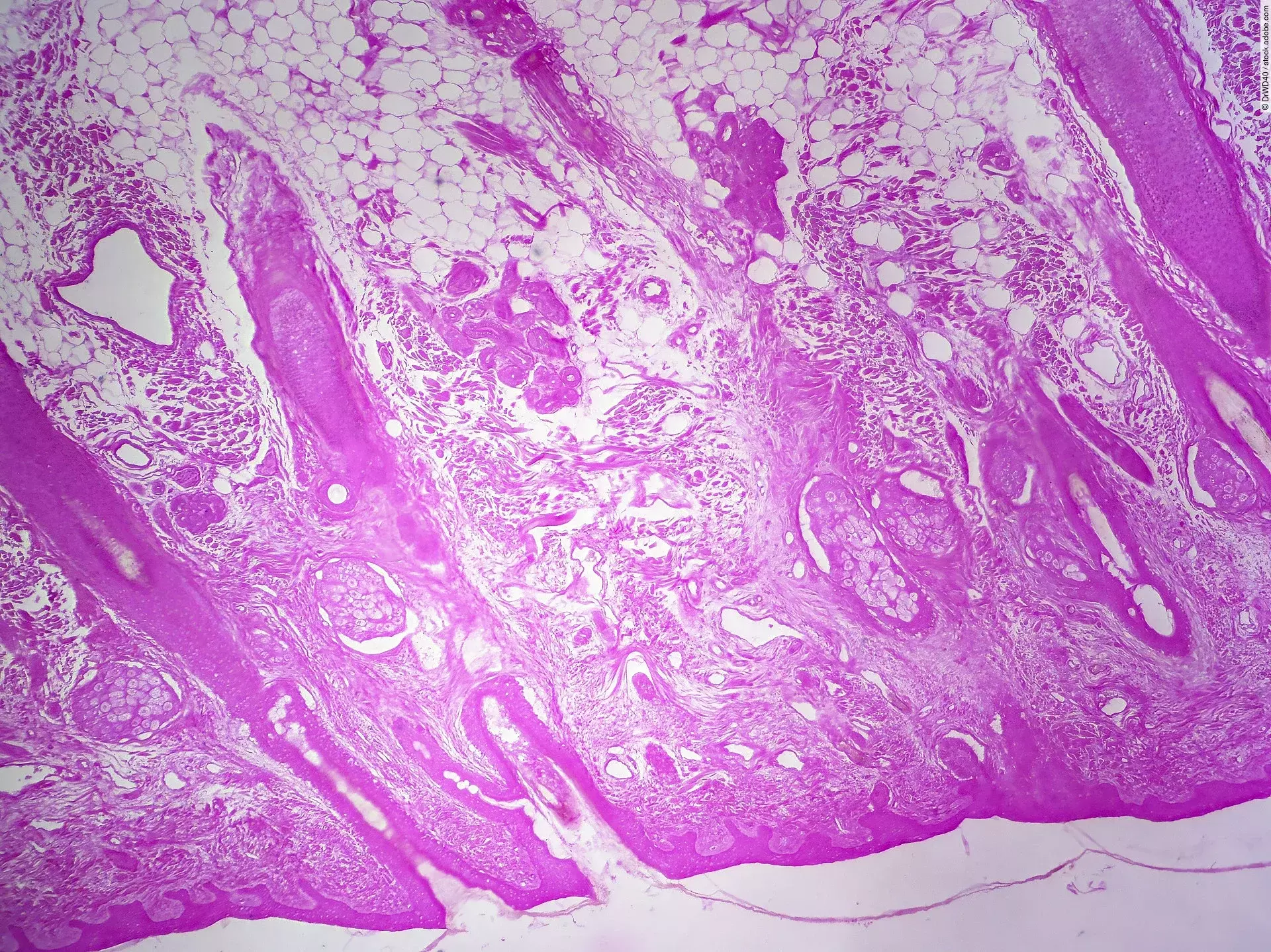
Forschenden des Frauenhofer-Instituts ist es gelungen, eine reproduzierbare In-vitro-Hundehaut im Labor herzustellen. Verträglichkeits- und Wirkungstests können nun ganz ohne Tierversuche durchgeführt werden.
Regional, frisch, leistbar und immer verfügbar – unsere Ansprüche an Nahrungsmittel sind hoch. Doch wie kann die Versorgungssicherheit durch Landwirtschaft und Veterinärmedizin gewährleistet werden?
Wie kann man ehemals bewirtschaftete Moore nutzen, um Futter für Hunde und Katzen herzustellen? Dieser Frage widmen sich Forschende der TiHo und des DIL in ihrem neuen Projekt.
Wie wirken sich Stammzellen auf die Gewebefunktion mit zunehmendem Alter aus? Forschende haben durch die hohe Lebenserwartung von Nacktmullen neue Erkenntnisse, die auch für die Krebsforschung relevant sein könnten.
Von Schildkröten und Geckos über Eulen und Falken bis hin zu Wellensittichen und Papageien – im Interview mit der Vogel- und Reptilienspezialistin Dr. Mandy Carnarius aus Berlin.