Der UFI-Code ist für alle als gefährlich eingestuften Haushaltsprodukte Pflicht. Mit dem Code können Rezepturen von Produkten eindeutig zugeordnet werden.
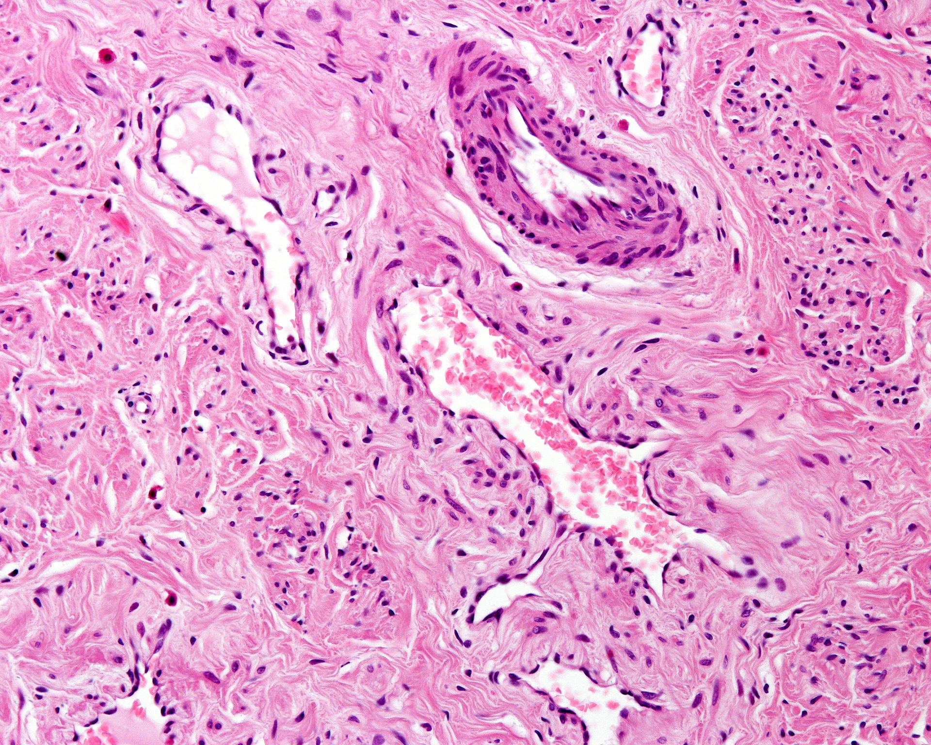
Lassen sich noch echte Histologiebilder von KI-generierten unterscheiden? Eine Arbeitsgruppe am Universitätsklinikum Jena führte dazu ein aufschlussreiches Experiment durch.
Angesichts der Tötungen von Straßenhunden in der Türkei rät der Deutsche Tierschutzbund, das Land bei der Urlaubsplanung außen vor zu lassen, um Protest auszudrücken.
Mit Trackern der Talos GmbH sollen bedrohte Arten besser überwacht und Umweltkatastrophen vorhergesagt werden können. Weiteres Ziel ist die optimale Betreuung von Nutztieren und Früherkennung von Krankheiten.
Welche Rufarten gibt es während der Balz bei Mäusen und haben sie einen Einfluss auf den Paarungserfolg? Diese und noch mehr Fragen stellten sich Forscher*innen in einer neuen Studie.
Die Ergebnisse einer Studie liefern Hinweise darauf, dass die Blauwale des Nordpazifiks und des Nordatlantiks seit der Eiszeit möglicherweise unterschiedliche evolutionäre Wege eingeschlagen haben.
Eine neue Studie mit Blaukehlaras beweist die bemerkenswerte motorische Imitationsfähigkeit der Papageien, da diese ziellose Bewegungen unwillkürlich kopieren.
Durch die geringe Körpergröße und versteckte Lebensweise blieb der Gaidropsarus mauritanicus vermutlich bisher unentdeckt, doch Forschende konnten den Fisch aus der Familie der Seequappen nun beschreiben.